Zub
Zubi (lat. dens, dentis, grč. δόντι) su kalcificirani organi (nisu kosti), koji se nalaze na početku probavnog trakta, u usnoj šupljini. Usađeni su u alveolarne nastavke gornje i donje vilice i smješteni u zubne čašice (alveole) .[1] Čovjek obično ima 32 stalna i 20 mliječnih zuba.
Anatomski dijelovi
Na svakom zubu se razlikuju tri osnovna dijela: kruna, vrat i korijen.[2]
Kruna zuba (lat. corona dentis) se označava s dva termina: anatomska i klinička kruna. Anatomska kruna je dio zuba prekriven caklinom. Ona se kod intaktnog zubnog niza ne vidi cijela, jer joj je vratni dio prekriven desnima. Klinička kruna je vidljivi dio zuba i može, ali ne mora, odgovarati anatomskoj kruni. Ona se obično mijenja tijekom života uslijed resorpcije okolnog koštanog tkiva, povlačenja gingive i sl.
Vrat zuba (lat. collum s. cervix dentis) je suženje na granici cakline i cementa, u obliku plitkog žlijeba (cervikalna linija ili cxaklinsko-cementni spoj) i u fiziološkim uslovima je prekriven sluznicom usta. Između zuba i sluznice nalazi se uzak prostor dubine do 1,5-{mm}- koji se naziva fiziološki džep.
Korijen zuba (lat. radix dentis) također je označen sa dva termina, a služi učvršćivanju zuba. Anatomski korijen je dio zuba prekriven cementom i usađen je u zubnu jamicu (alveolu). Klinički korijen je onaj dio zuba koji se ne vidi pri inspekciji u ustima i može, ali ne mora, odgovarati anatomskom korijenu. Broj i veličina korjenova varira od zuba do zuba.
- Jednokorjeni zubi su sjekutići, očnjaci i pretkutnjaci (sa izuzetkom gornjeg prvog premolara).
- Dvokorjeni zubi su gornji prvi pretkutnjak i svi donji kutnjaci,
- Trokorjeni zubi su gornji kutnjaci (prvi i drugi).
Struktura (građa) zuba
Svaki ljudski zub je izgrađen od tri kalcificirana tkiva: cakline, dentina i cementa, te posebnog vezivnog tkiva — zubne pulpe.[1]
Caklina
A: zub
B: desni (gingiva)
C: alveolarna kost
D: periodoncijum
B) dentin
Zubna caklina (lat. substantia adamantina s. enamelum) je čvrsto mineralno tkivo koje prekriva dentin u predjelu anatomske krune zuba. Sadrži 4-6% organskih i 94-96% neorganskih tvari, a najbolje je razvijena na griznoj površini.[2] To je najtvrđi dio zuba (i najtvrđe tkivo u organizmu uopće), ali je veoma krta. Sastoji se od šesterokutnih caklinskih prizmi promjera 3-6μm, tj. velikih i veoma zbijenih kristala kalcij-hidroksiapatita za koji su vezani ioni karbonata, Mg, Na, K itd.[3] Ovi kristali su ugrađeni u finu mrežu veoma čvrstih i gotovo potpuno netopivih proteinskih vlakana, a vanjska površina cakline je prekrivena caklinskom košuljicom (lat. cuticula dentis). Zbog svog sastava caklina je veoma otporna na djelovanje enzima, kiselina i ostalih korozivnih tvari, te predstavlja prvu i glavnu liniju obrane zuba od karijesa.[4]
Caklina je djelomično prozirna, tako da boja zuba (koja varira od žućkaste do svjetlosive i bjeličastoplave) ovisi o boji dentina i prozirnosti cakline. Što je caklina manje prozirna, to su zubi bjelji, a na prozirnost utječu debljina, gustoća, stupanj kalcifikacije i homogenost cakline.
Dentin
Dentin (lat. substantia eburnea) ili zubna kost je čvrsto tkivo koje izgrađuje najveći dio zuba. Ne vidi se pri inspekciji zuba in situ u ustima, jer je pokriven caklinom (u području krune) i cementom (u području korijena). Ima približan oblik zuba, a u središnjem dijelu formira zubnu šupljinu.[1]
Po sastavu je sličan kostima, te sadrži 28% organskih i 72% neorganskih materija. Sastoji se uglavnom od kristala hidroksiapatita, koji su ugrađeni u čvrstu mrežu kolagenih vlakana, a soli kalcija čine ga veoma otpornim na pritisak. Kroz dentin prolaze mnogobrojni Haversovi kanalići promjera 2-5μm, kroz koje se protežu Tomasova vlakna (ogranci krvnih žila i živaca) i fibra-vlakna (periferni produžeci stanica odontoblasta koje grade dentin). Dentin se stvara kontinuirano tokom cijelog života (sekundarni i tercijarni dentin), a boja mu varira od žućkaste do bijelosive.
Cement
Cement (lat. substantia ossea s. crusta petrosa) je mineralizirano vezivno tkivo koje prekriva dentin u predjelu anatomskog korijena zuba. Po građi je sličan kostima i sadrži 32% organskih i 68% neorganskih materija. Najdeblji je u području vrha (1-2-{mm}-) i račvanja korjenova.[1] Prožet je sustavom kanalića i lakuna, kroz koji prolaze tanke fibrile (koje odgovaraju Šarpejevim vlaknima kostiju), a koje fiksiraju zub za okolnu alveolu. Cement se, slično dentinu, stvara tijekom cijelog života a ima i veliki reparatorni potencijal.
Pulpa
Zubna pulpa (lat. pulpa dentis) ispunjava unutrašnjost zuba, a sastoji se od rastresitog vezivnog tkiva. Osnovni strukturni elementi pulpe su vezivno-tkivne stanice, vlakna i osnovna supstanca. U osnovnoj supstanci (koja potječe iz krvne plazme) nalaze se kolagena i elastična vlakna, krvne i limfne žile, živčana vlakna, te relativno mali broj stanica (odontoblasta, fibroblasta, fibrocita, mezenhimalnih stanica, histiocita, limfocita, mastocita i sl).
Kod starijih osoba se pulpa postupno smanjuje zbog slabije prokrvljenosti, ali se zbog stvaranja novih slojeva dentina smanjuje i zubna šupljina. Pulpa ima više funkcija:
- formativnu u produkciji kolagenih vlakana i stvaranju dentina,
- nutritivnu jer regulira metabolizam osnovnih elemenata svih dijelova zuba,
- neurosenzornu jer sadrži osjećajna živčana vlakna, i
- obrambenu ulogu koja se ogleda u stvaranju sekundarnog i tercijarnog dentina.[5]
Grana stomatologije koja se bavi terapijom oboljele pulpe naziva se endodoncija.
Zubna šupljina
Pulpna komora (lat. cavum dentis) je analogna vanjskoj konturi zuba i u njezin sastav ulaze sljedeći dijelovi: komora pulpe (koja se nalazi u predjelu anatomske krune zuba), rogovi pulpe (okluzalni produžeci komore), pulpni kanal (lokaliziran u predjelu korena), apikalni otvor (šupljina u predjelu vrha korijena kroz koji prolaze živčani i nutritivni elementi), lateralni ili akcesorni kanali, pomoćni ili suplementarni kanali i anastamoze (koje povezuju pulpne kanale).[1]
Teorije o postanku zuba
Postoji nekoliko teorija koje objašnjavaju nastanak zuba, a sve se zasnivaju na analizama fosilnih ostataka. Nijedna od njih nije u potpunosti potvrđena.[1]
Trituberkularna teorija ili teorija diferencijacije kaže da je čovječje zubalo nastalo od jednokvržičnih zuba reptila. Ovu teoriju je objavio Osborne 1888. godine. On smatra da su se na postojećoj kvržici prvo pojavile dvije oštre elevacije, od kojih su daljom evolucijom nastale još dvije kvržice. U periodu Jure pojavile su se i dodatne kvržice, te su tako formirane okluzalne površine današnjih kutnjaka.
Konkrescentna teorija smatra da su današnji zubi sisavaca nastali spajanjem pojedinačnih zuba reptila, i da broj kvržica odgovara broju spojenih primarnih zuba.
Koncentracijska ili dimer teorija, koju je predložio Bolk 1916. godine, kaže da su složeni zubi sisavaca nastali nepotpunim cijepanjem jednostavne dentalne osnove reptila.
Formiranje zuba
Formiranje denticije (odontogeneza) obuhvaća tri faze:
- fazu rasta i razvoja zuba,
- fazu erupcije i
- fazu okluzalne adaptacije.
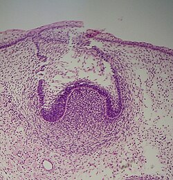
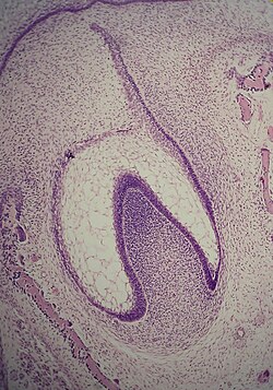
Faza rasta i razvoja


Rast i razvoj zuba prolazi kroz četiri stadij: stadij zametka, stadij kape, stadij zvona i stadij formiranja korijena.[1]
Stadij zametka počinje u šestom tjednu intrauterinog života ploda. Ektodermalni epitel zadebljava i formira epitelnu gredicu, koja se razvija i spušta u dubinu mezoderma. Ona se dijeli na vanjski i unutrašnji segment (primarna dentalna lamina) na kojem se u osmom tjednu počinju formirati zameci prvih mliječnih zuba (koji su ujedno i caklinski organ).
U stadiju kape započinje kalcifikacija caklinskog organa, proliferacija epitelnih stanica zametka u okolni mezoderm i invaginacija bazalnog dijela caklinskog organa.
U stadiju zvona se nastavlja proliferacija epitela i produbljivanje invaginacije u bazalnom području caklinskog organa. U udubljenje urasta mezoderm i formira dentalnu papilu, od koje će nastati zubna pulpa. Od mezenhimnih stanica razvija se folikularna vrećica, koja sa dentalnom papilom i caklinskim organom čini zubnu klicu.
Zubna pulpa sa periferno raspoređenim odontoblastima započinje stvaranje dentina (dentinogeneza), a caklinski organ pomoću ameloblasta stvaranje cakline (amelogeneza). Folikularna vrećica formira fibrovaskularnu kapsulu oko zuba u razvoju, koja je odgovorna za nutriciju, a ima i druge važne uloge. Na kraju stadija zvona počinje stvaranje kosti u mezodermu, folikul se transformira u periodontalno tkivo, a od caklinskog organa nastaje sekundarna dentalna lamina (za supstituentne zube). Također caklina i dentin formiraju zonu koja će postati caklinsko-dentinski spoj.
Stadij formiranja korijena se karakterizira stvaranjem strukture korjenova od Hertvigove epitelne ovojnice, koja nastaje u stadiju zvona od unutrašnjeg sloja caklinskog organa.
Dakle, caklina zuba je ektodermalnog, a ostale strukture (pulpa, dentin i cement) mezodermalnog porijekla.
Faza erupcije
Erupcija zuba predstavlja proces nicanja zuba i može se podijeliti na fazu aktivne i fazu pasivne erupcije (okluzalne adaptacije). Smatra se da je proces nicanja završen kada zub uspostavi kontakt sa antagonistom iz suprotne vilice.
Faza aktivne erupcije obuhvaća tri etape: intraosealnu, transgingivalnu i supragingivalnu etapu.
Faza okluzalne adaptacije
Okluzalna adaptacija predstavlja pasivnu erupciju zuba, u čijoj se osnovi nalazi proces abrazije. Dalje nicanje zuba je onemogućeno okluzalnim kontaktima antagonista, osim u slučaju gubitka zuba kada se javlja ekstruzija njegovog oponenta iz suprotne vilice. U tijeku ove faze se završava rast i razvoj korjenova, uspostavljaju stabilni okluzalni odnosi i dr.
Faktori koji utječu na razvoj zuba
Na razvoj i brzinu nicanja zuba mogu djelovati hormoni štitnjače i hormon rasta. Osim toga, na deponiranje soli u zubima u ranom stadiju njihovog razvoja djeluju količina kalcija i fosfata u hrani, vitamin D, paratireoidni hormon i sl. Kada su svi ovi faktori normalni strukture zuba se pravilno razvijaju, a u suprotnom razvoj i struktura zubnih organa mogu biti ozbiljno poremećeni.[4]
Morfogeneza
Fiziološki procesi u tijeku morfogeneze su podijeljeni u nekoliko faza: faza inicijacije (u kojoj nastaju zameci zuba), faza proliferacije (koja utječe na njihovu veličinu i proporcije), faza histodiferencijacije (kada nastaju caklina i stanice koje stvaraju dentin — odontoblasti), faza morfodiferencijacije (kada se određuje oblik i veličina zuba) i faza apozicije (koja obuhvata deponiranje cakline i dentina).
Uzgajanje u laboratorijima
Grupa znanstvenika sa Univerziteta za nauku u Tokiju je početkom 2007. godine uspješno izvela eksperiment "uzgajanja" i presađivanja zubnih organa u vilicu miša. Oni su injektirali mezenhimalne i epitelijalne stanice u strukturu kolagena i 14 dana pratili kako rastu i diferenciraju se svi strukturni elementi zuba. Potom si ih presadili u kavitet prethodno izvađenog zuba i ovi su normalno izrasli i razvili se.
Metoda koju su koristili japanski znanstvenici je prvi put pokazala, da je moguće od nekoliko stanica razviti cijeli organ.[6]
Kronologija nicanja
| MLIJEČNI ZUBI | STALNI ZUBI | |||||||
| donji | gornji | donji | gornji | |||||
| vrijeme (mj.) | redoslijed | vrijeme (mj.) | redoslijed | vrijeme (god.) | redoslijed | vrijeme (god.) | redoslijed | |
| središnji sjekutić | 6 | 1 | 7,5 | 1 | 6 - 7 | 2 | 7 - 8 | 2 |
| lateralni sjekutić | 7 | 2 | 9 | 2 | 7 - 8 | 3 | 8 - 9 | 3 |
| očnjak | 16 | 4 | 19 | 4 | 9 - 10 | 4 | 11 - 12 | 6 |
| prvi pretkutnjak | - | - | - | - | 10 - 11 | 5 | 10 - 11 | 4 |
| drugi pretkutnjak | - | - | - | - | 11 - 12 | 6 | 11 - 12 | 5 |
| prvi kutnjak | 12 | 3 | 14 | 3 | 6 - 7 | 1 | 6 - 7 | 1 |
| drugi kutnjak | 20 | 5 | 24 | 5 | 11 - 13 | 7 | 12 - 13 | 7 |
| treći kutnjak | - | - | - | - | 17 - 21 | 8 | 17 - 21 | 8 |
Klasifikacija
Zubi se mogu podijeliti po:
- periodu nicanja,
- morfološkom obliku i
- lokalizaciji u dentalnom luku.
Čovjek ima dva perioda nicanja zuba (difiodoncija), pa razlikujemo primarnu (mliječnu) i stalnu denticiju. Mliječna denticija se sastoji od 20 zuba (lat. dentes decidui), čije nicanje počinje u šestom mjesecu života. Veoma rijetko, beba odmah po rođenju ima iznikle zube, koji se označavaju kao prenatalni. Stalna denticija se obično sastoji od 32 zuba (lat. dentes permanentes s. adulti), a počinju nicati od šeste godine života. Postoji i period tzv. mješovite denticije (kada su prisutni i stalni i mliječni zubi u ustima) i traje od 6. do 12. godine života.
Prema morfološkim karakteristikama zubi se dijele na klase:
- sjekutiće (lat. dentes incisivi),
- očnjake (lat. dentes canini),
- pretkutnjake ili premolari (lat. dentes praemolares) i
- kutnjake ili molari (lat. dentes molares).
U primarnoj denticiji ne postoje pretkutnjaci, a zbog različitih oblika zuba možemo reći da je čovječje zubalo heterodont (što naglašava njihovu različitu ulogu u procesu ingestije).
Zubi obrazuju tzv. dentalne lukove. Gornji dentalni luk (lat. arcus dentalis superior) ima oblik poluelipse, a donji (lat. arcus dentalis inferior) oblik parabole. Zajedno oni čine zubalo (lat. dentura).
Prema mjestu u zubnom luku zubi se dijele na:
- gornje i donje zube (lat. dentes superiores et inferiores);
- desne i lijeve zube (lat. dentes lateri dextri et sinistri);
- prednje i bočne zube (lat. dentes anteriores s. intercanini, s. frontales et dentes posteriores s. postcanini, s. transcanini).
Prednji zubi su:
Bočni zubi su:
- pretkutnjaci (premolari) ili mali kutnjaci, koji gnječe i melju hranu i
- kutnjaci (molari), koji imaju istu funkciju kao i pretkutnjaci.
Dentalna formula
Dvije zamišljene linije: vodoravna (okluzalna) i okomita (sagitalna) medijalna linija dijele zubalo na četiri simetrična kvadranta. Dentalna formula prikazuje broj zuba, po klasama, u odgovarajućem kvadrantu. Pošto se kod ljudi u svakom kvadrantu nalazi isti broj i identične klase zuba, konvencijom je utvrđeno da se njihova dentalna formula odnosi na gornji lijevi kvadrant (2-1-2-3). U njemu, dakle, imamo dva sjekutića, jedan očnjak, dva pretkutnjaka i tri kutnjaka. Dentalna formula mliječne denticije glasi 2-1-2 (dva sjekutića, jedan očnjak i dva kutnjaka).[1]
Obilježavanje zuba
Postoji više načina (sustava) obilježavanja zuba: univerzalni numerički sustav ((eng. ADA-system), Palmerova metoda, sustav znakova plus (+) i minus (−), binarni sustav (eng. FDI) itd.[2]
Danas se u svijetu najčešće koristi binarni brojčani sustav, ustanovljen u Bukureštu 1970. godine na zasjedanju Međunarodne stomatološke federacije. Zubni lukovi su podijeljeni na četiri kvadranta koji su obilježeni brojevima 1—4 za stalnu denticiju (pri čemu 1 označava gornji desni, 2 gornji lijevi, 3 donji lijevi i 4 donji desni kvadrant). Četiri kvadranta mliječne denticije su obilježena brojevima 5—8. Drugi broj u sustavu označava položaj zuba u kvadrantu, polazeći od medijalne linije. Tako npr. gornji desni očnjak se označava sa 13 (jedan-tri); donji lijevi lateralni sjekutić sa 32 (tri-dva) itd.
Potporne strukture
Glavni članak: Potporne strukture zuba Tkiva koja pružaju potporu zubima nazivaju se jednim imenom parodoncij. Tu spadaju gingiva, cement, periodoncij i koštana alveola.
Gingiva (desni) je mastikatorna sluznica koja prekriva alveolarne nastavke gornje i donje vilice. Dijeli se na slobodnu (marginalnu) i pripojnu gingivu. Slobodna gingiva oblaže vrat zuba, obično je svjetloljubičaste boje, valovita je i visoka oko 0,5-2-{mm}-. Prostor između gingive i zuba naziva se gingivalni sulkus. U apikalnom smjeru slobodna prelazi u pripojnu gingivu, koja je čvrsto pripojena za podlogu i nešto crvenija u odnosu na slobodnu gingivu.
Periodoncij je tkivo koje okružuje korijen zuba i pričvršćuje ga za fascikularnu kost. Prostor između kosti i zuba naziva se periodontalni prostor. U njemu se nalaze ćelije, krvni i limfni sudovi, nervi i Šarpejeva vlakna. To su kolagena, neelastična, valovita vlakna koja su razapeta između zuba i alveole i koja ograničavaju pokrete zuba samo u fiziološkim granicama. Grupirana su u snopove i dele se na gingivalnu i alveolarnu grupu.
Alveole su zubne čašice, smeštene u alveolarnim nastavcima gornje i donje vilice, a međusobno su odeljene pregradama. Pregrade između alveola susednih zuba se nazivaju septa interalveolarija (lat. septa interalveolaria), a između korenova jednog zuba septa interradikularija (lat. septa interradicularia).[7] Zid alveole se naziva i prava alveolarna ili vlaknasta kost, pošto su u nju ugrađeni krajevi periodontalnih vlakana.
Fiziološke uloge pripojnog sistema su: potporna (preko njega se ostaruje biološka i mehanička veza zuba sa alveolom), formativna (koju obavljaju stanice osteoblasti, fibroblasti i cementoblasti omogućavajući visok reparatorni potencijal potpornih struktura), nutritivna (koju obavljaju arterijske krvne žile), neurosenzorna i zaštitna uloga (jer prihvaća i amortizuje različite sile koje djeluju na zub).
Vaskularizacija i inervacija
Zubna pulpa je bogato prokrvljena, što se dovodi u vezu sa njenim mnogobrojnim i značajnim funkcijama. Krvne žile za zube gornje vilice potječu iz a. alveolaris superior posterior i aa. alveolares superiores anteriores (grana vilične i infraorbitalne arterije), dok su donji zubi vaskularizirani od strane a. alveolaris inferior (bočne grane vilične arterije).[7] Ove krvne žile se potom dijele i daju ogranke za zubnu pulpu i okolne potporne strukture. Cirkulaciju krvi reguliraju vlakna autonomnog živčanog sustava.[5]
Gornji zubi su inervirani preko gornjeg dentalnog spleta u čiji sastav ulaze n. maxillaris i n.infraorbitalis, a donji zubi dobijaju živce od donjeg dentalnog spleta koji izgrađuju n. alveolaris inferior i n.incisivus.
Anomalije
Dentalne anomalije nastaju kao posljedica djelovanja različitih faktora, odnosno razvojnih metaboličkih smetnji. Mogu se podijeliti na urođene i stečene.[1]
Urođene anomalije su anomalije vezane za broj, veličinu, oblik, položaj zuba i abnormalne kalcifikacije i apozicije. Neke od njih su:
- Makrodoncija i mikrodoncija su poremećaji u veličini zuba. U prvom slučaju radi se o uvećanju, a u drugom o smanjenju veličine zubnog organa.
- Anodoncija, hiperdoncija ili hipodoncija su poremećaji vezani za broj zuba. Anodoncija predstavlja totalno odsustvo mliječnih i stalnih zuba, a hiperdoncija bi bila razvoj prekobrojnih zuba. Hipodoncija je pojava abnormalnog odsustva nekih zuba. Također treba spomenuti oligodontciju, izraz koji označava odsustvo 6 ili više zuba.
- Geminacija i fuzija su anomalije oblika zuba. Germinacija je pojava kada se zub podijeli na dva dijela, a fuzija se odnosi na spajanje više zuba u jedan.
Stečene anomalije predstavljaju osnovnu patologiju stomatognatog sustava i ovdje se ubrajaju: malokluzije, prijelomi, erozije i patološka abrazija.
- Malokluzija je najčešće nasljedni poremećaj u kome gornji i donji zubi ne pristaju svojim kvržicama točno jedni na druge, jer zubi pri rastu zauzimaju abnormalan položaj i ne mogu nesmetano obavljati svoju funkciju. Korekcija se vrši pomoću tzv. ortodontskih aparata, koji dovode zub u normalan položaj.[4]
- Prijelomi su posljedica traumatske povrede i primjenom adekvatne terapije ovakvi zubi se mogu sačuvati.
- Erozije ili klinasti defekti se najčešće javljaju na labijalnim površinama prednjih zuba i pretkutnjaka, u predjelu caklinsko-dentinskog spoja. To su polumjesečasta udubljenja žute ili sive boje, otporna na karijes. Ipak, ponekad mogu izazvati sporadičnu bol, pa zahtijevaju liječničku intervenciju.
- Patološka abrazija nastaje usred prekomjernog trošenja zuba i može javiti u svim pravcima. Takvo stanje dovodi do narušavanja zubala i poremećaja u međuviličnim odnosima, i obično se sanira u okviru stomatološke protetike.
Bolesti
Bolesti zuba spadaju među najčešća oboljenja ljudskog roda. Grubo se mogu podijeliti u dvije grupe: karijes i njegove komplikacije, i oboljenja potpornog aparata zuba (parodontopatije).[2]
Karijes
Karijes je kronična bolest tvrdih zubnih tkiva koje dovodi do razaranja zuba. Njegova etiologija je multikauzalna, a velika učestalost ga ubraja među najčešće bolesti suvremenog čovjeka. Karijes počinje na površini zuba i to razgradnjom cakline (demineralizacijom) i progresivno prodire u dubinu i širinu zahvaćajući ostale strukture zubnog tkiva. Osnovni uzročnik ove bolesti je bakterija "Streptococcus mutans". Kad se karijes približi pulpi, nastaje upalna reakcija poznata kao pulpitis. Osim toga, ova infekcija može preći granice zuba, te napasti okolna tkiva i strukture. Tada nastaju akutne i kronične komplikacije karijesa (periodontitis, apsces, granulom, gangrena pulpe, ciste i dr).
Istraživanja pokazuju da dodatak male količine fluora u vodu za piće, čini dječje zube dva puta otpornijim prema karijesu. Ipak, velike količine fluora mogu izazvati poremećaj koji se naziva fluoroza.[8]
Parodontopatije
Parodontopatije su bolesti potpornog aparata zuba i mogu biti: zapaljenske (parodontitis), atrofične (parodontoza) i mješovite.
One mogu nastati kao posljedica općih poremećaja u organizmu (avitaminoza, hormonalni poremećaji, alergije, trovanje teškim metalima) ili kao posljedica lokalnih nadražaja (zubni kamenac, plak, unilateralno žvakanje, škripanje zubima, poremećaj okluzije, dentalne anomalije i dr).[2]
Početna faza bolesti se naziva gingivitis (upala desni). Odlikuje se bolom, crvenilom, otokom i eventualnim krvarenjem.[9] To je relativno često oboljenje, prisutno kod više od 80% ljudske populacije, ali nije naročito opasno. Ukoliko se ne liječi, bolest se može proširiti i na okolne koštane strukture i ligament zuba. Nakon toga, u poodmakloj fazi javljaju se razgradnja kosti, gnojne upale, neprijatan zadah, rasklimavanje zuba itd.
U terapiji parodontopatije vrši se uklanjanje uzroka iritacije, saniranje zuba, ponekad protetsko i ortopedsko zbrinjavanje i održavanje oralne higijene.
Povrede
Od svih povreda kostiju glave, povrede zuba su najučestalije. Kako se nalaze na naijistaknutijemm dijelu lica, zubi su često izloženi oštećenjima u toku rada, u prometnim nesrećama, pri padovima, tučama i sl. Prelomi čeljusti su obično praćeni oštećenjem jednog ili većeg broja zuba u vidu rasklaćenja, iščašenja, pa sve do najrazličitijih oblika prijeloma. Na traumu su naročito neotporni zubi djece s mliječnom denticijom, zubi oslabljeni velikom plombom ili devitalizacijom i oni sa duževremenskom umjetnom nadogradnjom kruničnog dijela. Na djelovanje traume utječu životno doba pojedinca, razvijenost zuba, završetak rasta korijena i stanje otvora na njemu. Povrede zuba mogu se podijeliti u dvije osnovne skupine: iščašenja (lat. luxatio dentis traumatica) i prelome (lat. fractura dentis traumatica).
Iščašenja obuhvaćaju nasilne dislokacije, luksacije i ekstrakcije zuba. Dislokacija predstavlja nasilno pomicanje zuba, čiji korijen ostaje u alveoli (čašici) jer nisu pokidana sva periodontalna vlakna. Kod luksacije postoji (u manjem ili većem stupnju) gubitak kontakta korijena i alveole i teško oštećenje potpornog aparata zuba, ali se on i dalje djelomično zadržava u čeljusti. Ekstrakcija označava potpuni nasilni gubitak zuba koji se može naći slobodan u usnoj šupljini ili utisnut u meka tkiva (jezik, obraze, sinus, mišićne strukture i sl).
Prelomi zuba nastaju pod djelovanjem jake izravne ili neizravne sile. Ovim povredama su znatno podložniji prednji zubi, pogotovi oni u gornjoj čeljusti. Najučestalije su u dobu između 8. i 12. godine života. Prijelomi se dijele na ekstraalveolarne (krunične), intraalveolarne (korijenske) i kompletne prijelome. Isto tako postoji podjela na nepotpune i potpune prelome u odnosu na pulpu.
Povrede zuba imaju svojstvenu kliničku sliku, koja se odlikuje prisustvom otoka i povreda mekog tkiva gingive, obraza ili sluznice. Zub je obično pomjeren ili oštećen i odstupa od normalnog dentalnog niza. Bol je stalan pratitelj ovih povreda, a pojačava se ne samo pri pokušaju žvakanja, već su zbog njega ponekad i pokreti jezika svedeni na minimum. Osim toga javlja se i jako lučenje pljuvačke (salivacija).[10]
Njega i higijena zuba

Higijena zuba i usne šupljine je važna zbog prevencije različitih oboljenja kao što su karijes, gingivitis, parodontopatija i sl. Postoje dva vida oralne higijene: profesionalna i osobna. Redovna čišćenja koja obično rade stomatolozi ili stomatološki tehničari, služe za uklanjanje zubnog kamenca (mineraliziran plak), koji se pojavljuje i pored pažljivog i redovnog održavanja higijene.
Profesionalno čišćenje se obavlja uz pomoć raznih stomatoloških instrumenata koji pomažu uklanjanje naslaga zubnog kamenca sa zuba. Osobna higijena sastoji se od pravilnog i svakodnevnog pranja zuba i korištenja zubnog konca.[11] Svrha oralne higijene je smanjenje količine patoloških agenasa u ustima, a osnovni cilj je uklanjanje i sprječavanje formiranja zubnog plaka, koji se uglavnom sastoji od bakterija.[12] S porastom količine dentalnog plaka, raste i podložnost zuba karijesu, lošem zadahu i sl.
Četkica za zube može ukloniti plak na skoro svim površinama zuba, izuzev u interdentalnim prostorima. Za uklanjanje ostataka hrane i dentalnog plaka iz ovih prostora, koristi se zubni konac, interdentalne i sulkularne četkice, ispirači i vodice za usta. Električne četkice za zube nisu efikasnije od manualnih[13], osim što pomažu ljudima sa oštećenjem, kao npr. osobama sa reumatskim artritisom.
Fluoroterapija se također preporučuje kao prevencija karijesa. Fluor pomaže u sprečavanju ili usporavanju demineralizacije i propadanja zuba.[14][15] Mnogi stomatolozi uključuju površinsku fluorizaciju u redovna čišćenja zuba.
Komparativna analiza
Većina današnjih kralježnjaka ima zube. Čovjek je razvio najsloženiji dentalni sustav prilagođen raznovrsnoj prehrani, i on se nalazi na vrhu evolucione ljestvice.
Kod životinja su zubi veoma raznoliki, a njihova morfologija odgovara funkciji odnosno načinu prehrane životinje. Zbog toga je kod biljojeda prisutan veći broj bočnih zuba, čija velika grizna površina omogućava dobro žvakanje i pripremu hrane za dalje probavljanje. I ostali dio sustava za probavu je specifičan i prilagođen biljnoj prehrani. S druge strane, mesožderi imaju razvijene prednje zube (posebno očnjake) prilagođene za hvatanje plijena i kidanje mesa.
Kod nekih vrsta zubi rastu samo jednom tijekom života (monodonti), dok se kod drugih oni neprekidno obnavljaju (polidonti). Neke životinje (poput kornjača) su bezube, a druge (poput morskih pasa) imaju ogroman broj zuba koji se mogu pomjerati[16] i koji rastu svaka dva tjedna. Kod morskog konja očnjaci rastu tijekom cijelog života[17], a kod glodavaca rastu sjekutići koji se troše kroz glodanje i stalno imaju istu dužinu. Nekim vrstama glodavaca, kao što je gvinejsko prase, pored sjekutića konstantno rastu i kutnjaci.[18][19] Pojedine vrste imaju veoma specifičan oblik zuba (uvjetovan funkcijom) kao npr. šuplji očnjak kod zmija otrovnica. Uvjerljivo nasloženiji i najbolje razvijen zubalo u životinjskom svijetu imaju primati, a najsličniju denticiju čovjeku imaju čimpanze.
Zanimljivosti
Paleontolozi koriste zube za analizu i identifikaciju fosilnih ostataka. Osim toga, oni se koriste i za identifikaciju žrtava različitih nesreća, kada nije moguće izvesti DNK analizu. Tvrda zubna tkiva su jedan od najdugovječnijih fizičkih pokazatelja postojanja nekog pojedinca nakon njegove smrti. Na ljudskom zubalu je evidentirano više od 100 različitih morfoloških detalja, a od toga je 30-40 detaljno proučeno, definirano i standardizirano za dentoantropološku analizu.
Bilježenje morfoloških detalja, varijacija i anomalija zuba ima veliki značaj u proučavanju ljudske evolucije, skeletne biologije izumrlih naroda, a također i u paleostomatologiji i forenzičnoj stomatologiji.[20]
U nekim kulturama zubima su pripisivana magična svojstva, radi njihove dugotrajnosti. Osim toga oni su se koristili kao nakit u vidu ogrlica, naušnica i sl. Primitivni narodi su ih stavljali na vrhove strijela ili su koristili zube životinja kao oštrice, sjekire itd.
Vidi još
- Topografsko-anatomska obilježja zuba
- Posebne morfološke karakteristike zuba
- Dentalna nomenklatura
- Karijes
Vanjske poveznice
- Kompletan stomatološki leksikon (nje.)
- Anatomija zuba (eng.)
- Saveti za bolje zdravlje zuba (eng.)
- Tablica rasta zuba (eng.)
- Priče ljudi kojima je izrastao treći set zuba (eng.)
- Nova tehnologija podsticanja ponovnog rasta zuba (eng.)
- Članak o zubima, kao ukrasu čoveka kamenog doba. (eng.)
Izvori
- ↑ 1,0 1,1 1,2 1,3 1,4 1,5 1,6 1,7 1,8 Željko Martinović: Osnovi dentalne morfologije, II izdanje ("Službeni glasnik" Beograd, 2000.) ISBN 86-7549-175-1
- ↑ 2,0 2,1 2,2 2,3 2,4 Olga Janković, Verica Vunjak: Morfologija zuba, VII izdanje ("Zavod za udžbenike i nastavna sredstva" Beograd, 2001.) ISBN 86-17-08912-1
- ↑ Z. Anđelković, Lj. Somer, M. Perović, V. Avramović, Lj. Milenkova, N. Kostovska, A. Petrović: "Histološka građa organa" ("Bonafides" Niš 2001) ISBN 86-7434-003-2
- ↑ 4,0 4,1 4,2 Arthur C. Guyton M.D, John E. Hall Ph.D: Medicinska fiziologija, IX izdanje ("Savremena administracija" Beograd, 1999.)
- ↑ 5,0 5,1 Olga Karadžov, Dušan Kezele, Dragan Kuburović, Dušan Marković: "Preparacija Kaviteta" ("Akademska misao" Beograd 2001.) ISBN 86-7466-039-8
- ↑ A method to regrow teeth Tekst sa sitea www.researchsea.com
- ↑ 7,0 7,1 Dr Slavoljub V. Jovanović, dr Nadežda A. Jeličić: "Anatomija čoveka — glava i vrat" ("Savremena administracija", Beograd, 2000.) ISBN 86-387-0604-9
- ↑ S.Stefanović i saradnici: Specijalna klinička fiziologija, III izdanje ("Medicinska knjiga" Beograd-zagreb, 1980.)
- ↑ Periodontal disease Pristup 5. kolovoza 2007.
- ↑ Povrede zuba i alveolarnog dela donje vilice Pristup 6. kolovoza 2007.
- ↑ Oral Health Topics: Cleaning your teeth and gums. Tekst sa mrežnih stranica Američke stomatološke asocijacije (eng. American Dental Association - ADA). Pristup 15. kolovoza 2006.
- ↑ Introduction to Dental Plaque. Službena str. Stomatološkog instituta u Leedsu, Pristup 14. kolovoza 2006.
- ↑ Thumbs down for electric toothbrush, hosted on the BBC News website, posted January 21, 2003. Page accessed January 23, 2007.
- ↑ Cate, A.R. Ten. "Oral Histology: development, structure, and function." 5th edition, 1998, p. 223. ISBN 0-8151-2952-1.
- ↑ Ross, Michael H., Gordon I. Kaye, and Wojciech Pawlina, 2003. "Histology: a text and atlas." 4th edition, p. 453. ISBN 0-683-30242-6.
- ↑ Zubi ajkule Tekst sa sajta www.znanje.org. Pristup 1. kolovoza 2007.
- ↑ The Permanent Canine Teeth Stranica Sveučilišta u Chicagu. Pristup 5. veljače 2007.
- ↑ Tummers M and Thesleff I. Root or crown: a developmental choice orchestrated by the differential regulation of the epithelial stem cell niche in the tooth of two rodent species. Development (2003). 130(6):1049-57.
- ↑ AM Hunt. A description of the molar teeth and investing tissues of normal guinea pigs. J Dent Res. (1959) 38(2):216-31.
- ↑ Humano zubalo u forenzičnim i arheološkim istraživanjima Pristup 10.08.2007.
| |||||||||||||||||