Lactobacillaceae

Izvor: Hrvatska internetska enciklopedija
Prijeđi na navigaciju Prijeđi na pretraživanje
Lactobacillaceae
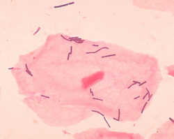
Lactobacillus blizu stanice pločastog epitela
Lactobacillus blizu stanice pločastog epitela
Sistematika
Domena: Bacteria
Koljeno: Firmicutes
Razred: Bacilli
Red: Lactobacillales
Porodica: Lactobacillaceae
Rodovi
Lactobacillus


Paralactobacillus
Pediococcus

Lactobacillaceae je porodica Gram-pozitivnih bakterija koje se nalaze u redu Lactobacillales.


Nedovršeni članak Lactobacillaceae koji govori o biologiji treba dopuniti. Dopunite ga prema pravilima uređivanja Hrvatske internetske enciklopedije.