Kvasac
Prijeđi na navigaciju
Prijeđi na pretraživanje

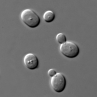
Kvasci su eukariotski mikroorganizmi koji su svrstani u carstvo gljiva, s oko 1500 vrsta koje su trenutačno opisane; oni dominiraju u gljivičnoj različitosti oceana. Većina ih se razmnožava aseksualno, tj. pupanjem, iako postoji i nekolicina koji se razmnožavanju binarnom diobom. Kvasci su jednostanični organizmi, iako neke vrste skupa s kvascima mogu postati višestaničnim organizmima stvaranjem niza povezanih pupnih stanica. Veličina kvasaca može uvelike varirati, jer njihova veličina ovisi o vrsti, no u prosječnim mjerenjima bili su veliki od 3 do 4 µm u promjeru, iako neki kvasci mogu doseći preko 40 µm.
Podjela
Kvasci se dijele na sljedeće rodove:
- Saccharomyces (Pivski kvasac ili pekarski kvasac - Saccharomyces cerevisiae)
- Rhodotorula
- Pichia
- Candida
- Zygosaccharomyces
Vanjske poveznice
- kvasac.Hrvatska tehnička enciklopedija - portal hrvatske tehničke baštine