Toggle menu
244 tis.
68
18
625 tis.
Hrvatska internetska enciklopedija
Toggle preferences menu
Toggle personal menu
Niste prijavljeni
Your IP address will be publicly visible if you make any edits.

Hematoksilin-eozin bojilo

Izvor: Hrvatska internetska enciklopedija
Mrežnica (dio oka) obojena hematoksilinom i eozinom, stanične jezgre obojene plavo-ljubičastom, a izvanstanični materijal ružičastim.

Hematoksilin-eozin bojilo ili HE bojilo je najčešće primjenjivana metoda bojenja u histologiji. Hematoksilin je bazično bojilo koja daje plavoljubičasto obojenje kiselim komponentama stanice, dok je eozin kiselo bojilo koja daje crveno-ružičasto obojenje bazičnim komponentama. Razlog zbog čega je baš ova metoda vodeća metoda bojenja već dugi niz godina je taj što se kombinacijom ovih bojila može obojiti cijela stanica i svi njezini dijelovi. Također, hematoksilin i eozin će dati takva obojenja koja se mogu lako razlikovati jedna od drugih što može uvelike pomoći u analizi i dijagnostici (McCann, 2015.). [1]

Hematoksilin

Podrobniji članak o temi: Hematoksilin

Hematoksilin je organsko prirodno bojilo koje u biologiji i medicini ima osobitu važnost za bojenje preparata jer boji samo određene dijelove stanica. [2] Hematoksilin se nalazi u plavom drvetu kampečevini (lat. Lignum campechianum, L. haematoxyli). Upotrebljava se za bojenje i tiskanje pamuka, svile, poliamida, vune, krzna i kože. Dobiva se vrlo postojana plavocrna boja, te kao pigment za izradu crne tinte, tiskarskih i slikarskih uljenih boja. Hematoksilinski preparati mogu se upotrebljavati kao antioksidacijska sredstva za nezasićene masne kiseline, kao reagens za dokazivanje truljenja hrane, te za bojenje histoloških preparata. Oksidacijom hematoksilina na zraku nastaje hematein. Hematein je prirodno bojilo, C16H1206 (C.I. 75290), tvori crvene iglice koje se raspadaju na temperaturi višoj od 200 °C. Malo je topljiv u etanolu i eteru (žuta boja), te u vodi (crvena boja). Dobro je topljiv u alkalijama (modroljubičasta boja) i mineralnim kiselinama (crvena boja). Hematein čini sa solima teških metala složene spojeve, i to od modroljubičastih s bakrenim i kositrenim solima do crnih sa željeznim solima. [3]

Eozin

Podrobniji članak o temi: Eozin

Eozin (prema grč. ἕως: zora, jutarnja rumen) je sjajnocrveno ksantensko bojilo, prvi put pripravljeno 1874. Eozin je kalijeva ili natrijeva sol tetrabromfluoresceina koji se dobiva adiranjem (dodavanjem) broma na fluorescein suspendiran u alkoholu. Mnogo se upotrebljavao u tekstilnoj industriji za bojenje svile i vune, a danas se koristi u fotografiji i kozmetici, za bojenje mikroskopskih preparata (zajedno s hematoksilinom), pripravu crvene tinte i drugo. [4] Eozin je ustvari naziv nekoliko fluorescentnih kiselih kemijskih spojeva koji se vežu i tvore soli s osnovnim, odnosno eozinofilnim spojevima poput bjelančevina koji sadrže aminokiselinske ostatke poput arginina i lizina, a boji ih tamnocrvenom ili ružičastom bojom kao rezultat djelovanja broma na fluorescein. Uz bojenje bjelančevina u citoplazmi, može se koristiti za bojenje kolagena i mišićnih vlakana za ispitivanje pod mikroskopom. Strukture koje se lako boje eozinom nazivaju se eozinofilnima. U području histologije, eozin Y je oblik eozina koji se najčešće koristi kao histološko bojilo. [5] [6]

Slike

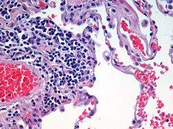
Hrskavica: stanične jezgre (plavoljubičaste), izvanstanični materijal (ružičast). Neinvanzivni tumor u tkivu dojke manji od 1 mm, stanične jezgre (plavoljubičaste), izvanstanični materijal (ružičast). Plućno tkivo uzeto bolesniku s emfizemom (kronična opstruktivna plućna bolest). Jezgre stanica (plavoljubičasto), crvene krvne stanice (jarko crvene), ostala stanična tijela i izvanstanični materijal (ružičasti) i zračni prostori (bijeli). Mišićno tkivo: stanične jezgre (plavoljubičasto), citoplazma i izvanstanični materijal (ružičasto).

Izvori

  1. "Upotreba digitalnih mikroskopskih slika u histološkim i histokemijskim procesima", [1], seminarski rad, Prirodoslovno - matematički fakultet Zagreb, www.repozitorij.pmf.unizg.hr, pristupljeno 30. 11. 2020.
  2. mikroskopija, [2] "Hrvatska enciklopedija", mrežno izdanje, Leksikografski zavod Miroslav Krleža, www.enciklopedija.hr, pristupljeno 17. 8. 2020.
  3. "Tehnička enciklopedija" (Prirodna bojila), glavni urednik Hrvoje Požar, Grafički zavod Hrvatske, 1987.
  4. eozin, [3] "Hrvatska enciklopedija", Leksikografski zavod Miroslav Krleža, www.enciklopedija.hr, 2015., pristupljeno 28. 11. 2020
  5. Lua error in Modul:Citation/CS1 at line 4096: data for mw.loadData contains unsupported data type 'function'.
  6. Lua error in Modul:Citation/CS1 at line 4096: data for mw.loadData contains unsupported data type 'function'.

Vanjske poveznice

Logotip Zajedničkog poslužitelja
Logotip Zajedničkog poslužitelja
Na Zajedničkom poslužitelju postoje datoteke na temu: Hematoksilin-eozin bojilo.