Toggle menu
244,2 tis.
69
18
630,8 tis.
Hrvatska internetska enciklopedija
Toggle preferences menu
Toggle personal menu
Niste prijavljeni
Your IP address will be publicly visible if you make any edits.

Enterococcaceae

Izvor: Hrvatska internetska enciklopedija
Enterococcaceae
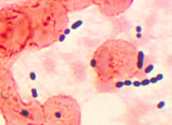
Enterococcus sp. u plućnom tkivu.
Enterococcus sp. u plućnom tkivu.
Sistematika
Domena: Bacteria
Koljeno: Firmicutes
Razred: Bacilli
Red: Lactobacillales
Porodica: Enterococcaceae
Rodovi
Atopobacter

Enterococcus
Melissococcus
Pilibacter
Tetragenococcus
Vagococcus

Enterococcaceae je porodica Gram-pozitivnih bakterija koje se nalaze u redu Lactobacillales.


Nedovršeni članak Enterococcaceae koji govori o biologiji treba dopuniti. Dopunite ga prema pravilima uređivanja Hrvatske internetske enciklopedije.