| Klasifikacija i vanjske poveznice | |
| MKB-10 | Script error: The function "getExternalValue" does not exist. |
| MKB-10 | Script error: The function "getExternalValue" does not exist. |
| NSK | Script error: The function "getExternalValue" does not exist. |
| PubMed | Script error: The function "getExternalValue" does not exist. (eng.) |
| MeSH | Script error: The function "getExternalValue" does not exist. (eng.) |
| Medscape | Script error: The function "getExternalValue" does not exist. (eng.) |

Ascites (gr. el. ασκίτης askites, mješina) izraz je za nakupljanje tekućine u peritonealnoj šupljini. Zdravstveno stanje je također poznato kao hidroperitoneum. Iako najčešće nastaje zbog ciroze i teške bolesti jetre, njegova prisutnost može značiti i druge značajne zdravstvene probleme.
Znakovi i simptomi
Blaži ascites se teško zamijeti, dok značajni ascites dovodi do trbušne distenzije. Pacijent se žali na težinu i tlak u trbuhu, te kratak dah zbog podizanja ošita (dijafragme).
Na fizikalnom pregledu ascites se utvrđuje ako se bočni dijelovi stijenke trbuha izboče kod pacijenta koji leži na leđima. Muklina se također pomiče sa bokova ako pacijent promijeni položaj jer će muklina uvijek biti u donjim dijelovima abdomena bez obzira na položaj pacijenta. Kod veće količine ascitesa ako na jednoj strani trbuha vršimo tlak primijetit ćemo da se val prenosi na suprotnu stranu trbuha.
Ostali znaci ascitesa su u vezi s etiologijom. Kod ciroze i portalne hipertenzije može postojati oticanje nogu, ginekomastija, promjene mentalnog statusa kod encefalopatija, povraćanje krvi. Kod karcinoma je prisutan gubitak težine i opća slabost, kronični umor i malaksalost. Kod srčane slabosti javlja se nedostatak daha i netoleriranje napora.
Etiologija
Patofiziološki mehanizam je sličan onome kod nastanka edema.
Uzroci ascitesa sa visokim gradijentom serum-ascites albumina (engl.Serum-ascities albumin gradient SAAG) mogu biti sljedeći:[1]
- Ciroza: 81% (alkoholna 65%, viralna 10%, kriptogena (nepoznatog ili skrivenog uzroka) 6%)
- Srčana insuficijencija: 3%
- Okluzija (začepljenje) jetrenih vena: Budd-Chiarijev sindrom ili vensko-okluzivna bolest
- Konstriktivni perikarditis
- Kwashiorkor (proteinska dječja neuhranjenost)
Uzroci ascitesa ("eksudat") s niskim gradijentom serum-ascites albumina (engl. Serum-ascities albumin gradient SAAG) mogu biti sljedeći:[1]
- rak (primarna peritonealna karcinomatoza i metastaze) - 10%
- Infekcija: Tuberkuloza - 2% ili Spontani bakterijski peritonitis
- Pankreatitis - 1%
- Nefrotski sindrom[2]
- Serozitis
- Hereditarni angioedem[3]
Drugi rijetki uzroci su:
- Meigsov sindrom
- Vaskulitis
- Hipotiroidizam
- Bubrežna dijaliza
- Peritonealni mezoteliom


Dijagnoza
Dijagnoza uzroka počinje pretragama krvi, ultrazvukom abdomena i izravnim uklanjanjem tekućine iglom ili paracentezom (koja također može biti terapeutska). Algoritam dijagnostike bi izgledao kao što je navedeno:
- Fizikalni pregled
- Otok trbuha
- Fenomen undulacije
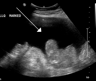
- Ultrazvuk: Manja količina se ovim pregledom može vidjeti ispod jetre ili u Douglasu. G
- CT
- Punkcija trbušne šupljine (može biti ultrazvučno navođeno) za uzimanje uzorka tekućine za analizu
- Pregled tekućine obzirom na boju i miris
- Analiza tekućine (Laboratorija)
Liječenje
Liječenje može biti lijekovima (diuretici), paracentezom ili drugim tretmanima usmjerenima na uzrok.
- Blaži slučajevi ascitesa mogu biti tretirani ograničenjem unosa natrija. Kod portalnog ascitesa daje se spironolakton (antagonist aldosterona). Elektroliti i tjelesna masa moraju biti redovito kontrolirani.
- Umjereni slučajevi se tretiraju furosemidom. Potrebna je pažnja i potrebno je da gubitak tjelesne mase ne prelazi 0,5 kg dnevno, kako ne bi nastao hepatorenalni sindrom.
- Refraktarni slučajevi se tretiraju punkcijom abdomena (paracenteza), davanjem albumina i pažljivom administracijom diuretika.
- Druga mogućnost liječenja u pacijenata sa cirozom je transplantacija jetre.
- Za maligni ascites primjenjuje se paracenteza. U obzir dolaze dolaze i shuntovi, kemoterapija koja se daje izravno u trbušnu šupljinu (IP), te posebno za liječenja protutijelima kod malignog ascitesa.
Prognoza
Prognoza ovisi o osnovnoj bolesti. Kod zloćudne bolesti prognoza je povezana sa prognozom te bolesti. Kod ciroze jetre poduzete procedure utječu direktno na prognozu. Shuntovi mogu spriječiti nastanak fatalnog krvarenja kod ciroze jetre.
Izvori
- ↑ 1,0 1,1 Warrell DA, Cox TN, Firth JD, Benz ED. Oxford textbook of medicine. Oxford: Oxford University Press, 2003. ISBN 0-19-262922-0.
- ↑ Patient UK (10. lipnja 2009.). "Ascites Tapping". http://www.patient.co.uk/showdoc/40002410 Pristupljeno 8. prosinca 2011
- ↑ Branco-Ferreira M, Pedro E, Barbosa MA, Carlos AG (1998). "Ascites in hereditary angioedema". Allergy 53 (5): 543–5. doi:10.1111/j.1398-9995.1998.tb04098.x. PMID 9636820
Nedovršeni članak Ascites koji govori o bolesti ili poremećaju treba dopuniti. Dopunite ga prema pravilima uređivanja Hrvatske internetske enciklopedije.
| Molimo pročitajte upozorenje o korištenju medicinskih informacija. Ne provodite liječenje bez konzultiranja liječnika! |