Hematoksilin-eozin bojilo

Izvor: Hrvatska internetska enciklopedija
Inačica 386834 od 11. prosinac 2021. u 04:26 koju je unio WikiSysop (razgovor | doprinosi) (Bot: Automatski unos stranica)
(razl) ←Starija inačica | vidi trenutačnu inačicu (razl) | Novija inačica→ (razl)
Prijeđi na navigaciju Prijeđi na pretraživanje
Datoteka:Retina -- high mag.jpg
Mrežnica (dio oka) obojena hematoksilinom i eozinom, stanične jezgre obojene plavo-ljubičastom, a izvanstanični materijal ružičastim.

Hematoksilin-eozin bojilo ili HE bojilo je najčešće primjenjivana metoda bojenja u histologiji. Hematoksilin je bazično bojilo koja daje plavoljubičasto obojenje kiselim komponentama stanice, dok je eozin kiselo bojilo koja daje crveno-ružičasto obojenje bazičnim komponentama. Razlog zbog čega je baš ova metoda vodeća metoda bojenja već dugi niz godina je taj što se kombinacijom ovih bojila može obojiti cijela stanica i svi njezini dijelovi. Također, hematoksilin i eozin će dati takva obojenja koja se mogu lako razlikovati jedna od drugih što može uvelike pomoći u analizi i dijagnostici (McCann, 2015.). [1]

Hematoksilin

Datoteka:Vista-xmag.pngPodrobniji članak o temi: Hematoksilin

Hematoksilin je organsko prirodno bojilo koje u biologiji i medicini ima osobitu važnost za bojenje preparata jer boji samo određene dijelove stanica. [2] Hematoksilin se nalazi u plavom drvetu kampečevini (lat. Lignum campechianum, L. haematoxyli). Upotrebljava se za bojenje i tiskanje pamuka, svile, poliamida, vune, krzna i kože. Dobiva se vrlo postojana plavocrna boja, te kao pigment za izradu crne tinte, tiskarskih i slikarskih uljenih boja. Hematoksilinski preparati mogu se upotrebljavati kao antioksidacijska sredstva za nezasićene masne kiseline, kao reagens za dokazivanje truljenja hrane, te za bojenje histoloških preparata. Oksidacijom hematoksilina na zraku nastaje hematein. Hematein je prirodno bojilo, C16H1206 (C.I. 75290), tvori crvene iglice koje se raspadaju na temperaturi višoj od 200 °C. Malo je topljiv u etanolu i eteru (žuta boja), te u vodi (crvena boja). Dobro je topljiv u alkalijama (modroljubičasta boja) i mineralnim kiselinama (crvena boja). Hematein čini sa solima teških metala složene spojeve, i to od modroljubičastih s bakrenim i kositrenim solima do crnih sa željeznim solima. [3]

Eozin

Datoteka:Vista-xmag.pngPodrobniji članak o temi: Eozin

Eozin (prema grč. ἕως: zora, jutarnja rumen) je sjajnocrveno ksantensko bojilo, prvi put pripravljeno 1874. Eozin je kalijeva ili natrijeva sol tetrabromfluoresceina koji se dobiva adiranjem (dodavanjem) broma na fluorescein suspendiran u alkoholu. Mnogo se upotrebljavao u tekstilnoj industriji za bojenje svile i vune, a danas se koristi u fotografiji i kozmetici, za bojenje mikroskopskih preparata (zajedno s hematoksilinom), pripravu crvene tinte i drugo. [4] Eozin je ustvari naziv nekoliko fluorescentnih kiselih kemijskih spojeva koji se vežu i tvore soli s osnovnim, odnosno eozinofilnim spojevima poput bjelančevina koji sadrže aminokiselinske ostatke poput arginina i lizina, a boji ih tamnocrvenom ili ružičastom bojom kao rezultat djelovanja broma na fluorescein. Uz bojenje bjelančevina u citoplazmi, može se koristiti za bojenje kolagena i mišićnih vlakana za ispitivanje pod mikroskopom. Strukture koje se lako boje eozinom nazivaju se eozinofilnima. U području histologije, eozin Y je oblik eozina koji se najčešće koristi kao histološko bojilo. [5] [6]

Slike

Datoteka:Cartilage.jpg Datoteka:Breast DCIS histopathology (1).jpg
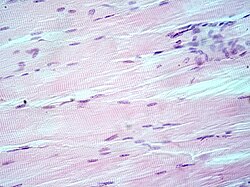
Hrskavica: stanične jezgre (plavoljubičaste), izvanstanični materijal (ružičast). Neinvanzivni tumor u tkivu dojke manji od 1 mm, stanične jezgre (plavoljubičaste), izvanstanični materijal (ružičast). Plućno tkivo uzeto bolesniku s emfizemom (kronična opstruktivna plućna bolest). Jezgre stanica (plavoljubičasto), crvene krvne stanice (jarko crvene), ostala stanična tijela i izvanstanični materijal (ružičasti) i zračni prostori (bijeli). Mišićno tkivo: stanične jezgre (plavoljubičasto), citoplazma i izvanstanični materijal (ružičasto).

Izvori

  1. "Upotreba digitalnih mikroskopskih slika u histološkim i histokemijskim procesima", [1], seminarski rad, Prirodoslovno - matematički fakultet Zagreb, www.repozitorij.pmf.unizg.hr, pristupljeno 30. 11. 2020.
  2. mikroskopija, [2] "Hrvatska enciklopedija", mrežno izdanje, Leksikografski zavod Miroslav Krleža, www.enciklopedija.hr, pristupljeno 17. 8. 2020.
  3. "Tehnička enciklopedija" (Prirodna bojila), glavni urednik Hrvoje Požar, Grafički zavod Hrvatske, 1987.
  4. eozin, [3] "Hrvatska enciklopedija", Leksikografski zavod Miroslav Krleža, www.enciklopedija.hr, 2015., pristupljeno 28. 11. 2020
  5. • Nepoznat parametar: editor2-first
    • Nepoznat parametar: editor1-last
    • Nepoznat parametar: editor2-last
    • Nepoznat parametar: editor1-first
  6. • Nepoznat parametar: last1
    • Nepoznat parametar: first1

Vanjske poveznice

Logotip Zajedničkog poslužitelja
Logotip Zajedničkog poslužitelja
Na Zajedničkom poslužitelju postoje datoteke na temu: Hematoksilin-eozin bojilo.