Artroza
| Klasifikacija i vanjske poveznice | |
| MKB-10 | Script error: The function "getExternalValue" does not exist. |
| MKB-10 | Script error: The function "getExternalValue" does not exist. |
| NSK | Script error: The function "getExternalValue" does not exist. |
| PubMed | Script error: The function "getExternalValue" does not exist. (eng.) |
| MeSH | Script error: The function "getExternalValue" does not exist. (eng.) |
| Medscape | Script error: The function "getExternalValue" does not exist. (eng.) |
Artroza ili osteoartroza je degenerativna bolest perifernih zglobova. Bolest nastaje kao posljedica degenerativnih promjena u zglobnoj hrskavici, što dovodi do subkondralne skleroze kosti i hipertrofičnih promjena na rubnim dijelovima kosti (osteofiti)[1] Ako bolest zahvati veći broj zglobova tada govorimo o poliartrozi. Artroza je neizlječiva bolest i najčešće se s vremenom pogoršava. Jakost simptoma se međutim može kontrolirati pravilnim i kontinuiranim liječenjem [2] [3].
Degenerativne bolesti zglobova su vrlo rasprostranjene bolesti, od kojih uglavnom oboljevaju starije osobe, iako su vrlo česte i među mlađim osobama. Ova bolest podjednako pogađa muškarce i žene, nešto više žene poslije 55. godine. [4][5]
Artrotične promjene su rendgenološki prisutne kod 80% ispitanika starijih od 55 godina, dok je kliničke manifestacije imalo samo 15-20% ispitanika. U razvijenim zemljama degenerativna oboljenja zglobova su na prvom mjestu kao uzrok izostanka s posla, što govori o njihovoj izuzetnoj epidemiološkoj važnosti[6].
Prognoza degenerativnih oboljenja zglobova je relativno dobra osim kod koksartroze i gonartroze. Sama bolest nema utjecaja na opće stanje organizma i životni vijek pacijenta[1].
Podrijetlo naziva
Tijekom vremena za ovu su bolest upotrebljavani mnogi nazivi kao što su; artritis, starački artritis, deformirajući artritis (lat. arthritis deformans), hipertrofični osteoartritis, artroza, osteoartroza. S obzirom da je dokazano da je artroza degenerativna bolest izazvana degeneracijom hrskavice, a ne upalni proces, polako se napušta primjena dometka "-itis" na završetku dijagnoze [7][1]. U slučaju da bolest zahvati veći broj zglobova koristi se naziv poliartroza. U posljednje vrijeme sve se češće koristi i pojam "degenerativna bolest zglobova i kralježnice«.
Etiologija
Uzrok artroze još nije poznat, ali je za njezin nastanak odgovoran veći broj faktora koje možemo podijeliti na: mehaničke, genetske, metaboličke i endokrine, okolišne i ostale faktore. [8] [9][10][7]
| Mehanički | Genetski | Metabolički i endokrini | Okolišni faktori | Ostali faktori |
|---|---|---|---|---|
|
|
Podjela
Povijesno gledano, prema etiološkim faktorima artroze se mogu podijeliti na primarni (idiopatski) i sekundarni oblik, iako je ova podjela u biti medicinska konvencija[18][19][20][21][22][23][24][25][26] [27][28][29].
Sekundarna artroza
Sekundarnu je artrozu konceptualno lakše razumjeti. Njome se nazivaju sva degenerativna oboljenja sinovijalnih membrana zgloba koja proizilaze iz nekih predisponirajućih stanja, obično akutna ili kronična mehanička oštećenja, koja oštećuju i mijenjaju zglobnu hrskavicu i/ili subkondralni dio kosti što posljedično mijenja i odnose u zglobu. Stoga se sekundarna artroza često javlja u relativno mladih ljudi, poslije mehaničke traume koja se pojavljuje kod displazije, subluksacije ili luksacije (iščašenja) zgloba.
Sekundarne se artroze mogu javiti i nakon artritisa, (reumatoidnog, infektivnog itd.), nakon djelovanja kemijskih faktora (uratni artritis, kondrokalcinoza, alkaptonurija) i nešto rjeđe zbog slabosti potpornog tkiva oko zgloba.
Primarna artroza
Definicija primarne artroze je "maglovita" i najčešće se smatra posljedicom procesa starenja i zato bi prema ovoj definiciji trebala biti učestalija kod starijih osoba. Najčešće upotrebljavan pojam starenja, koji se u artrozi odnosi na proces degeneracije zglobne hrskavice je u biti pogrješan [30].
Istraživanja su dokazala da ove promjene nisu uvijek vezane za starije osobe, niti se može naći bilo kakva veza između stupnja oštećenja hrskavice (npr. glave bedrene kosti) i starosti pacijenta. Na iznenađenje mnogih ortopeda dokazano je da u dijelovima zgloba čija hrskavica podnosi manji pritisak, degenerativne su promjene naglašenije, što znači da su degenerativne promjene najizraženije u sustavu „bez pritiska“ na glavu zgloba (npr. bedrene kosti)[30]. Isto tako, svakodnevno opterećenje zgloba čuva zglobnu hrskavicu, a nepravilno je opterećenje najčešći uzrok degeneracije zglobne hrskavice [31]
U širem smislu se stoga primarna artroza može smatrati idiopatskim fenomenom, koji se javlja u prethodno netaknutim (neoštećenim) zglobovima, bez očiglednog i jasnog razloga nastanka degenerativnih promjena [30] [7][32][33][34]. U literaturi se kao etiološki faktori primarne artroze navode; starija životna dob, pretilost, genetski faktori, fizička aktivnost, hormonalno stanje, upalne bolesti kuka (kao npr. reumatoidni artritis, ankilozirajući spondilitis, Ritterov sindrom, ili lupus), kalcij pirofosfatna bolest, difuzna idiopatska koštana hiperostoza, giht, hemokromatoza, osteonekroza i prijelom oko zgloba, uključujući i prijelome acetabuluma, femoralne glave i vrata bedrene kosti, oštećenja hrskavice uslijed infekcije ili penetracije osteofiksacijskog materijala u prostor zgloba, pri čemu nije dokazano da i jedan od njih ima presudnu ulogu [10][30]
Danas više podataka navodi na zaključak da u etiologiji primarne artroze sudjeluju i imunološki mehanizmi.
Epidemiologija

Artroza (osteoartritis) je najčešća bolest zglobova u svijetu, ne samo među ljudima nego i među životinjama (lumbalni dio kralježnice konja, kuk gorile itd.). Degenerativne promjene nađene su na ostatcima kostura pretpovijesnih životinja i ljudi (mezozoički dinosaur, neandertalski pračovjek, Krapinski čovjek 40.000 pr.Kr.). Učestalost artroza je danas veća od reumatoidnog artritisa i gihta zajedno. Procjene broja oboljelih razlikuju se između različitih populacija. Učestalost artroze različita je među različitim etničkim skupinama [36]. Ovaj je poremećaj učestaliji u Sjevernoameričih Indijanaca a znatno manje u Kineza iz Hong Konga u odnosu na istu starosnu grupu bijelaca [37]. Kod osoba starijih od 65 godina, artroza je češća u bijelaca nego u crnaca. Artroza koljena (gonartroza) je češća kod žena crne rase u odnosu na žene drugih rasa [36]. Artroza pogađa više od 20 milijuna ljudi u Sjedinjenim Američkim Državama, iako se statistički podatci razlikuju ovisno o primjeni epidemiološke metode (npr. primjene radiografskih kriterija) ili kliničkih kriterija (npr. istovremena uporaba radiografskih nalaza i kliničkih simptoma)[36]. Na temelju radiografskih kriterija na hrskavici izoliranih zglobova, degenerativne (artrotične) promjene pojavljuju se kod više od polovine odraslih osoba starijih od 65 godina pod utjecajem ove bolesti [36].
Anatomija
Jedan od kriterija anatomske podjele zglobova je razlikovanje sinovijalnih, fibroznih ili složenih zglobova, na temelju prisutnosti ili odsutnosti sinovijalne membrane i obujma kretanja samih zglobova. Normalni-zdravi sinovijalni zglobovi omogućuju znatnu slobodu kretanja duž izuzetno glatke zglobne površine i imaju veliku ulogu u pokretima tijela. Ovi su zglobovi sastavljeni od sljedećih struktura :

- zglobne hrskavice
- subkondralne kosti
- sinovijalne membrane
- sinovijalne tekućine
- zglobne čahure
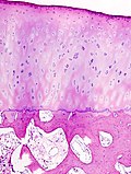
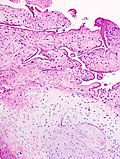
Kod zdravih sinovijalnih zglobova, krajevi kostiju koje formiraju zglob prekriveni su glatkim hrskavičnim tkivom, sastavljenim od kondrocita okruženim vanstaničnim matriksom koji sadrži različite makromolekule, od kojih su najvažnije proteoglikani i kolagen. Hrskavica je tkivo koje ne samo da pokriva površinu kosti unutar zgloba nego i štiti temelj subkondralnog dijela kosti, preraspodjelom velikih opterećenja u zglobu, održavanjem niskog dodirnog opterećenja i smanjenjenjem trenja zglobnih površina. Ona omogućuje kostima da glatko „kližu“ jedna preko druge što omogućuje olakšano kretanje u zglobu i djeluje kao "jastuk" koji apsorbira energiju fizičkih pokreta. Zglobna je čahura obložena sinovijalnom membranom i ispunjena sinovijalnom tekućinom koja štiti i podmazuje zglob. Sinovijalna tekućina se formira ultrafiltracijom plazme, procesom koji se odvija u stanicama sinovijalne membrane (sinoviocitima). Sinovijalne stanice proizvode glavne bjelančevine sinovijalne tekućine, hijaluronsku kiselinu (hialuronat). Sinovijalna tekućina ne samo da sadrži hranljive tvari koje hrane avaskularnu zglobnu hrskavicu, nego svojom viskoznošću apsorbira "udarce sporih pokreta", i daje zglobnoj hrskavici potrebnu elastičnost da može apsorbirati "udare brzih pokreta".
Patološka anatomija
Artroza je bolest koštano-mišićno-zglobnog sustava nastala uslijed trošenja hrskavice zbog prirodnog starenja, prethodnih oštećenja zglobova, te brojnih drugih etioloških faktora. Artroza predstavlja kroničnu degenerativnu promjenu jednog ili više zglobova, okarakteriziranu oštećenjem hrskavice koja prekriva zglobne površine i sekundarnim promjenama kosti koja leži ispod nje. Za razliku od drugih oblika artritisa (postoji oko 100 različitih vrsta), artroza nema utjecaja na unutarnje organe.
| Pogreška pri izradbi sličice: | Datoteka:Primary osteoarthrosis (3) at knee joint.jpg | Datoteka:Primary osteoarthrosis (5) at knee joint.jpg |
Kod artroze se hrskavica troši, povećavajući tako uzajamno trenje kostiju koje tvore zglob. To uzrokuje bol i oticanje, kao i gubitak pokretljivosti zgloba. Tijekom vremena, započinje prekomjerno izrastanje kosti duž zglobnog ruba kojeg nazivamo koštanim izraslinama ili osteofitima. Oni mogu pridonijeti gubitku pokreta u zglobu i povećanju osjećaja boli. Ove se izrasline mogu čak i slomiti i zaglaviti u zglobnom prostoru, što prouzrokuje još jače bolove i oštećenja.
Klinička slika
- Bol, je glavni simptom u osteoartrozi, koji nastaje kombinacijom brojnih mehanizama, koji uključuju sljedeće anatomske strukture i patofiziološke procese. Bol u zglobovima može se manifestirati u obliku pečenja ili u obliku oštre ubodne boli. Kod nekih osoba, bol može "dolaziti i odlaziti": karakteristična je pojava boli ujutro nakon ustajanja, pa smanjenje jakosti boli tijekom dana, te ponovo pojačanje boli tijekom večeri. Stalna bol ili bol koja se javlja tijekom spavanja česti je znak pogoršanja kliničke slike artroze.
- Uzroci bola u artrozi (osteoartrozi-osteoartritisu) [38]
ANATOMSKA STRUKTURA PATOFIZIOLOŠKI PROCES - sinovijalna membrana
- subkondralna kost
- osteofiti
- zglobna čahura i ligamenti
- mišići
- upala, strano tijelo (komadi hrskavice)
- mikrofrakture, promijenjena unutarkoštana dinamika
- rastezanje periostalnih živčanih završetaka (zbog smanjenog dotoka krvi u subkondralnoj kosti, koja dovode do povećanja unutarkoštanog pritiska)
- rastezanje (zglobne čahure, zajedničkim djelovanjem istezanja i nakupljanja izljeva)
- spazam (izazvan periartikularnim-okolozglobnim grčevima zbog zamora mišića i vazospazma krvnih žila)
- Ukočenost: zgloba koja se najčešće manifestira otežanim pokretima nakon jutarnjeg ustajanja iz kreveta ili duljeg ležanja jedan je od čestih simptoma. U zglobovima se nakon mirovanja javlja osjećaj krutosti i škripanja, neposredno nakon ponovnog pokušaja uspostave kretanja. Ukočenost se također može javiti u oboljelom zglobu nakon kraćeg ili duljeg sjedenja.
- Slabost mišića: i slabljenje njihove funkcije oko zajedničkog zgloba. Vrlo je česta kod artroze koljena.
- Nateknuće: zglobova je veoma čest simptom kojeg pacijent doživljava kao osjećaj napetosti i boli.
- Deformacija zglobova: manifestira se izmjenjenim oblikom zgloba, pogotovo u fazi pogoršanja bolesti.
- Smanjena širina pokreta i gubitak funkcije zgloba: s pogoršanjem bolesti, pacijent sve više gubi mogućnost slobodnih pokreta (u fleksiji, ekstenziji ili rotaciji u zglobu) a u završnoj fazi bolesti gubi se funkcija zgloba.
- Škripa i pucketanje: kao zvučni fenomen mogu se javiti u oboljelom zglobu tijekom pokreta.
Dijagnoza
Dijagnoza osteoartroze postavlja se na temelju; pravilno izvedene anamneze, fizikalnog pregleda, laboratorijskih i rendgenoloških nalaza (prema potrebi i kompjuterizirane tomografije ili magnetne rezonancije zglobova)[39]
Anamneza
Pravilno izvedena bolesnikova anamneza je vjerojatno najbolji način dijagnoze artroze. Potrebno je nizom pitanja odrediti prirodu boli, njene karakteristike, trajanje i lokalizaciju, kao i utjecaj patologije na pokretljivost zgloba i njegovu funkcionalnost. Potrebno je odrediti prisutnost drugih simptoma osim boli i ukočenosti kako bi se isključile druge vrste bolesti.Važno je i obiteljskom anamnezom odrediti pojavu artroze među roditeljima i braćom i sestrama.
Fizikalni pregled
Pri fizikalnomm pregledu pacijenta s artrozom klinički je nalaz ograničen je na oboljeli zglob. Prisutna je bol kod manipulacije zglobom, smanjen je obujam pokreta i prisutno je pucketanje (krepitacija) pri mobilizaciji samog zgloba. [40][41][42]
U težim slučajevima okolni su ligamenti i zglobna čahura deformirani koštanim proširenjima koji se javljaju u kasnijim fazama bolesti. U slučajevima artroze nisu prisutni crvenilo ili osjećaj topline u zahvaćenim zglobovima, međutim, mogu biti prisutni izljevi tekućine u zglobu i nateknuće. Česti fizički znakovi artroze su ograničena pokretljivost i atrofija mišića oko oboljelog zgloba. Heberdenovi čvorići, koji predstavljaju opipljive i vidljive osteofite kod artroze, mogu se uočiti na distalnim zglobovima prstiju ruku ili nogu, i izraženiji su kod žena, ali mogu biti prisutni i kod muškaraca. Upalne promjene obično su odsutne ili su vrlo malo izražene.
Magnetska rezonancija
Tradicionalni način postavljanja dijagnoze artroze predviđa pojavu trajne i uporne boli i ukočenosti i otkrivanje oštećenja hrskavice u zglobovima na rendgenskoj slici. Prisutnost boli sugerira da je od početka bolesti prošlo dosta vremena, pa su oštećenja u zglobu obično teška. Liječenje se u tom trenutku usmjerava samo na ublažavanje simptoma. U težim je slučajevima za potpuno oslobađanje tegoba potrebna i potpuna zamjena oboljelog zgloba umjetnim zglobom.
Uvođenjem magnetske rezonancije (MR) i primjenom novih metoda snimanja tom tehnikom ostvaren je izuzetan napredak u ranom otkrivanju i prevenciji artroze. Kod artroze se primjenjuje nova metoda snimanja magnetskom rezonancijom kojom se određuje koncentracija molekule glikozaminoglikana (GAGS) u hrskavici zgloba. Glikozaminoglikani daju mnoga mehanička svojstva hrskavičnom tkivu, uključujući i njegovu čvrstoću i elastičnost. Jedna od činjenica koja se danas primjenjuje u dijagnostici je ta da se koncentracija GAGS smanjuje u hrskavici zahvaćenoj artrozom. Razlozi smanjenja su nepoznati.[43]
Diferencijalna dijagnoza
S obzirom na to da su kod artroze znakovi upale minimalno izraženi ili odsutni i da nema sistemskih manifestacija bolesti, artroza se lako razlikuje od ostalih upalnih bolesti zglobova (artritisa). Charcot–Marie–Toothova bolest se lako diferencira neurološkim pregledom i rendgenskom snimkom. U diferencijalnoj dijagnostici isto tako ne treba isključiti i mogućnost da artroza može biti istovremeno prisutna s bilo kojom drugom reumatskom i nereumatskom bolešću zglobova. Valja biti vrlo oprezan i ne pripisivati sve tegobe u zglobovima, pogotovo kod kralježnice, degenerativnim promjenama zglobova (artrozi), jer one mogu biti i posljedica metastaza malignih tumora, multiplog mijeloma, osteoporoze i mnogih drugih bolesti. U tablici niže navedene su neke bolesti koje mogu dati slične simptome artrozi;
Osnovna Moguća - Aneurizma trbušne aorte [44]
- Ankilozirajući spondilitis[45][46]
- Avaskularna nekroza [47][48] [49]
- Avaskularna nekroza glave bedrene kosti [50]
- Bolest taloženja kalcija i pirofosfata
- Neuropatske artropatije
- Lymeova bolest [51][52]
- Patelofemoralni artritis
- Patelofemoralni sindrom
- Prepatelarni bursitis
- Psorijatični artritis
- Reumatoidni artritis
- Rinosporidioza (lat. Rhinosporidiosis)
- Bolesti izazvane taloženjem kristala
- Pseudogiht
- Upalni artritis
- Seronegativne spondiloartropatije
- Inficirani zajednički artritis
- Bol izazvana mehaničkim nadražajem
- Reaktivni artritis
Terapija
Nepoznata i nedovoljno razjašnjena uloga uzročnih faktora artroze ograničava terapiju na;
Ublažavanje i suzbijanje simptoma
Korištenje lijekova ima prvenstveno cilj otklanjanja boli i poboljšanje funkcionalnog stanja oboljelog zgloba[53]. Lijekovi koje se koriste u terapiji artroze jesu:
• Nesteroidni protuupalni lijekovi
• Kortikosteroidi [54]
• Acetaminofen
•Miorelaksansi (za opuštanje spazma mišića)
• Glukokortikoidi [55]
• Natrij hijaluronat - tvar koji se prirodno nalazi u zglobu, ima zaštitnu ulogu za hrskavicu zgloba i održava viskozitet zglobne tekućine .
Održavanje i poboljšavanje funkcija oboljelog zgloba
Može se postići primjenom jedne od sljedećih metoda:
- Fizikalna terapija koja u složenom liječenju artroze ima važnu ulogu. Ona ima za cilj da smanji upalu zgloba, ojača okolne mišiće i poveća slobodu pokreta samog zgloba.
- Korektivna osteotomija goljenične ili berene kosti je kirurški zahvat koji se koristi u slučajevima ograničenog razvoja osteoartroze, koju prati deformacija udova u predjelu koljena (varus ili valgus položaj) i može biti učinkovita alternativa liječenja artroze koljena kod mlađih pacijenta.
Smanjenje fizičke ograničenosti

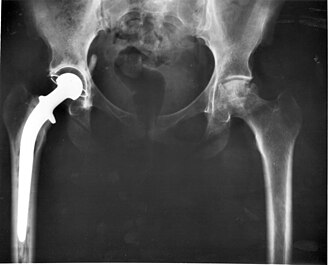
Operativnim (kirurškim) liječenjem osteoartroze može se ublažiti bol i poboljšati funkcija oboljelog zgloba/zglobova. U kirurške metode liječenja spadaju;
- Artroskopija je metoda tijekom koje se uz pomoć fleksibilnih cijevi i mikrokamera na njihovom kraju (endoskopa) promatra unutarašnjost zgloba, nakon čega se prema indikacijama donosi odluka o artroplastici ili drugim kirurškim zahvatima.
- Artroplastika je metoda u ortopedskoj kirurgiji kojom se morfološki i funkcionalno mijenjaju, zamjenjuju ili oblikuju zajedničke površine zgloba primjenom umjetnih materijala, obično metala ili plastike.
- Osteotomija, metoda rezanja i uklanjanja oštećenih dijelova kostiju.
- Kondroplastika je kirurška metoda obnavljanja oštećene hrskavice.
- Artrodeza je kirurška metoda spajanja zajedničkih koštanih krajeva zgloba u cilju sprječavanja pokretnosti zgloba. Ona se primjenjuje nakon dugogodišnje bolesti ili teških ozljeda ili teških oblika artroze. Postupak se izvodi u cilju suzbijanja bolova tako što se sprječava dalje pokrete zgloba.
- Zamjena zgloba je kirurška metoda uklanjanja oboljelih ili oštećenih kostiju i drugih struktura zgloba i njihova zamjena ručno ili strojno izrađenim protezama od metala i/ili plastike). Najčešće se primjenjuje kod zamjene zgloba koljena i kuka. U zadnje vrijeme, zahvaljujući suvremenim materijalima može se obavljati zamjena nekih drugih zglobova, kao npr. oboljelih kralježaka.
Uklanjanje faktora rizika
- Smanjenje tjelesne težine. Gubitak težine kod pretilih pacijenata je preduvjet učinkovitog liječenja. Kliničke su studije pokazale da i minimalan gubitak tjelesne težine od samo 5% -10%, može drastično smanjiti bolove u zglobovima i poboljšati toleranciju na fizičku aktivnost.
- Promjena aktivnosti ili promjena profesije.Ima za cilj prijelaz iz aktivnog života na nižu razinu fizičke aktivnosti s ciljem rasterećenja oboljelih zglobova i time smanjenja bolova i usporavanja pogoršanja artroze.
- Korištenje dodatne podrške. U obliku ortoza i drugih ortopedskih pomagala kojima se može rasteretiti zglob i time smanjiti bolove i druge tegobe.
Edukacija
- Edukacija bolesnika o prirodi bolesti jedna je od osnovnih terapijskih postupaka u liječenju artroze. Znanstvena istraživanja Američke zaklade za artritis su dokazala da edukacija o artrozi ima veliki učinak na zdravlje pacijenata. Kroz edukaciju, pacijenti mogu izgraditi pravilan stav o načinu života i rada s artrozom, umanjiti bol i povećati funkcionalnost zgloba. Edukaciju naravno treba provoditi uz stalne posjete i praćenja rezultata njene primjene od strane liječnika [56].
- Lečenje artroze-osteoartroze (ostoartritisa) [38]
| PRVA FAZA Početno liječenje |
DRUGA FAZA <smallStalna bol ili progresivna bol ili pogoršanje ograničenja pokreta |
TREĆA FAZA Izražene tegobe i pored mjera iz druge faze |
|---|---|---|
|
|
|
Prognoza
Prognoza degenerativnog oboljenja zglobne hrskavice je relativno dobra i u mnogome ovisi od vrste oboljelog zgloba, aktivnosti pacijenta i težine kliničke slike. Godine starosti, indeks tjelesne težine, varus deformiteti, i više uključenih zglobova u bolest, povećava vjerojatnost pogoršanja artroze [57]. Stoga je prognoza artroze kuka (coxartroze) i artroze koljena (gonartroze) znatno lošija, jer dolazi do teških posljedica po funkcionalnost i invalidnosti koje zahtijevaju njegu i pomoć drugih osoba ili kirurško liječenje [1]. Budući da je uzrok bolesti nepoznat, primjena lijekova kod artroze je uglavnom usmjerena na ublažavanje simptoma i tegoba, ali ne i na liječenje degenerativnih promjena. Artroza nema utjecaja na opće stanje organizma i duljinu života bolesnika [1].
Prognoza kod bolesnika s artrozom kod kojih je uspješno izvedena kirurška zamjena zgloba kuka i koljena protezom (artroplastika), je povoljna u više od 90% slučajeva [1] Ugrađena se proteza ipak mora zamijeniti 10 do 15 godina nakon ugradnje, ovisno o starosti pacijenta i bavljenju fizičkom aktivnosti. Kod mlađih i aktivnijih pacijenata češća je potreba za zamjenom proteze, dok kod većine starijih pacijenata zamjena nije potrebna.
Artroza kao društveni problem
Visoka i sve veća učestalost artroze podrazumijeva i bitno veće troškove za društvo, koji mogu biti;[58]
- Izravni, uključuju troškove bolničkog liječenja i liječenja u toplicama, te troškove posjeta liječniku, korištenje farmakoloških sredstava i moguće kirurške zahvate.
- Indirektni, uključuju izgubljene radne sate, smanjenje zarade i druge dobiti, troškove njege i pomoći.
Troškovi liječenja artroze mogu biti jako veliki kod starijih osoba, koji se suočavaju s potencijalnim gubitkom ne samo materijalnih sredstava nego i "neovisnosti" što zahtijeva pomoć njegovatelja kod svakodnevnih aktivnosti.[59]
Budući da se u mnogim razvijenim zemaljama očekuje produljenje trajanja života stanovništva u budućnosti, potreba za liječenjem sve većeg broja osoba s artrozom ne samo da će povećati financijski trošak, nego se nameće i potreba za pronalaženjem boljih terapeutskih i alternativnih metoda [60] prevencije i liječenja.
Izvori
- ↑ 1,0 1,1 1,2 1,3 1,4 1,5 Popović M, i sar. Reumatične i srodne bolesti (dijagnoza i terapija) Vojnoizdavački zavod, Beograd 2000, str.306-312
- ↑ Hunter DJ. In the clinic: Osteoarthritis. Ann Intern Med. 2007. ;147(3):ITC8-1-ITC8-16.
- ↑ engl. {{{1}}}Osteoarthritis, MedlinePlus
- ↑ Burkitt HG, Stevens A, Lowe JS. Skeletal system. In: Basic Histopathology. 3. izdanje. New York, NY: Churchill Livingstone; 1996.:260.
- ↑ Hamerman D. The biology of osteoarthritis. N Engl J Med. 18. svibnja 1989.;320(20):str. 1322.-1330.
- ↑ Wood P H N,Rheumatic complaints, Br.Med. Bull 1971.;27:str. 82.-89.
- ↑ 7,0 7,1 7,2 Murray RO. The etiology of primary osteoarthritis of the hip. Br J Radiol. studeni 1965.;38(455):str. 810.-824. Medline
- ↑ engl. {{{1}}} Lee P, Rooney PJ, Sturrock RD. The etiology and pathogenesis of osteoarthrosis: a review. Semin Arthritis Rheum. Spring 1974.;3(3): str. 189.-218. Medline
- ↑ Sharma L. Epidemiology of osteoarthritis. In: Moskowitz RW, Howell DS, Altman, RD, et al, eds. Osteoarthritis. 3. izdanje 2001.:str. 3.-27.
- ↑ 10,0 10,1 10,2 Loughlin J. The genetic epidemiology of human primary osteoarthritis: current status. Expert Rev Mol Med.24. svibnja 2005.;7(9):str. 1.-12. Medline
- ↑ Bullough PG. The geometry of diarthrodial joints, its physiologic maintenance, and the possible significance of age-related changes in geometry-to-load distribution and the development of osteoarthritis. Clin Orthop Relat Res. svibanj 1981.;61.-66. [Medline].
- ↑ Aigner T, Rose J, Martin J, Buckwalter J. Aging theories of primary osteoarthritis: from epidemiology to molecular biology. Rejuvenation Res. ljeto 2004.;7(2):str. 134.-145. [Medline].
- ↑ OUTERBRIDGE RE. The etiology of chondromalacia patellae. J Bone Joint Surg Br. studeni 1961.;43-B: str. 752.-757. [Medline].
- ↑ 14,0 14,1 14,2 Roberts J, Burch TA. Osteoarthritis prevalence in adults by age, sex, race, and geographic area. Vital Health Stat 11. lipnja 1966.; str. 1.-27. [Medline].
- ↑ Felson DT, Anderson JJ, Naimark A, Walker AM, Meenan RF. Obesity and knee osteoarthritis. The Framingham Study. Ann Intern Med. 01. srpnja 1988.;109 (1):str. 18.-24. [Medline].
- ↑ Goulston LM, Kiran A, Javaid MK, et al. Does obesity predict knee pain over fourteen years in women, independently of radiographic changes?. Arthritis Care Res (Hoboken). rujan 2011.;63(10):str. 1398.-1406. [Medline].
- ↑ Zgoda M, Paczek L, Bartlomiejczyk I, Sieminska J, Chmielewski D, Górecki A. Age-related decrease in the activity of collagenase in the femoral head in patients with hip osteoarthritis. Clin Rheumatol. veljača 2007.;26(2):str. 240.-241. [Medline].
- ↑ [Guideline] Altman R, Asch E, Bloch D, Bole G, Borenstein D, Brandt K, et al. Development of criteria for the classification and reporting of osteoarthritis. Classification of osteoarthritis of the knee. Diagnostic and Therapeutic Criteria Committee of the American Rheumatism Association. Arthritis Rheum. kolovz 1986.;29(8):str. 1039.-1049. [Medline].
- ↑ Buckland-Wright C, Verbruggen G, Haraoui PB. Imaging: radiological assessment of hand osteoarthritis. In: Osteoarthritis Cartilage. 2000.: str- 55.-56.
- ↑ Jewell FM, Watt I, Doherty M. Plain radiographic features of osteoarthritis. In: Brandt KD, Doherty M, Lohmander LS, eds. Osteoarthritis. New York, NY: Oxford University Press;. 1998.: str. 217.-237.
- ↑ Recht MP, Kramer J, Marcelis S. Abnormalities of articular cartilage in the knee: analysis of available MR techniques. Radiology. svibanj 1993.;187(2):str. 473.-478.
- ↑ Hunter DJ. Advanced imaging in osteoarthritis. Bull NYU Hosp Jt Dis. 2008.;66(3):str. 251.-260.
- ↑ Kellgren JH. Osteoarthritis in patients and populations. Br Med J. 1961.;2:str. 1.-6.
- ↑ Kirkley A, Birmingham tB, Litchfield RB, et al. A Randomized Trial of Arthroscopic Surgery for Osteoarthritis of the Knee. New England Journal of Medicine. Available at [1]. Accessed September 11, 2008.
- ↑ Cheung EV, Adams R, Morrey BF. Primary osteoarthritis of the elbow: current treatment options. J Am Acad Orthop Surg. Feb 2008;16(2):77-87. Medline.
- ↑ Dagenais S, Garbedian S, Wai EK. Systematic Review of the Prevalence of Radiographic Primary Hip Osteoarthritis. Clin Orthop Relat Res. 27. studenog 2008.; Medline.
- ↑ Radin ER, Paul IL, Rose RM. Pathogenesis of primary osteoarthritis. Lancet. 24. lipnja 1972.;1 (7765):str. 1395.-1396. Medline.
- ↑ Veys E, Verbruggen G. Evolution and prognosis of osteoarthritis. In: Reginster JY, Pelletier JP, Martel-Pelletier J, et al, eds. Osteoarthritis. 1999.: str. 312.-313.
- ↑ Valderrabano V, Horisberger M, Russell I, Dougall H, Hintermann B. Etiology of Ankle Osteoarthritis. Clin Orthop Relat Res. 02. rujna 2008.; Medline.
- ↑ 30,0 30,1 30,2 30,3 Zoran Anđelković, M. Kačarević, M. Veličković, A. Rangelov, S. Nikolić, Z. Todorović, I. Dimitrijević KONCEPT FEMORO-ACETABULARNOG IMPINGEMENTA KAO MEHANIZMA U RAZVOJU COXARTHROSA, str. 27.-33. u knjizi sažetaka APOLLINEM MEDICUM ET AESCULAPIUM, srpanj-rujan/2010. svezak.8-Broj 3
- ↑ NIchols, E. H., and Richardson, F. L. (1909.) : Arthritis de formans. Journal of Medical Research, 21, str. 149.
- ↑ ADAM, A., and SPENCE, A. J. (1958.): Intertrochanteric Osteotomy for Osteoarthritis of the Hip. Journalof Bone atidJoint Surgery, 40-B, str. 219.
- ↑ GADE, H. G. (1947.): A Contribution to the Surgical Treatment of Osteoarthritis of the Hipjoint: a ClinicalStudy. Acta Chfrurgica Scandinavica, 95, Supplementum 120.
- ↑ LLOYD-ROBERTS, G. C. (1955.): Osteoarthritis of the Hip. A Study of the Clinical Pathology. Journal of Bonen and Joint Surgery, 37-B, str. 8.
- ↑ • Parametar
accessdatenije dopušten u klasiweb - ↑ 36,0 36,1 36,2 36,3 engl. {{{1}}} Carlos J Lozada, MD; Chief Editor: Herbert S. Diamond, MD Osteoarthritis.
- ↑ Hoaglund FT, Yau AC, Wong WL. Osteoarthritis of the hip and other joints in southern Chinese in Hong Kong. J Bone Joint Surg Am. Apr 1973.;55(3):str. 545.-557. Medline.
- ↑ 38,0 38,1 Popović M, i sar. Podsetnik-vodič iz reumatologije, Vojnoizdavački zavod, Beograd 2000., str.168
- ↑ engl. {{{1}}} Joern W.-P. Michael, PD Dr. med., Klaus U Schlüter-Brust, Dr. med., and Peer Eysel, Prof. Dr. med. The Epidemiology, Etiology, Diagnosis, and Treatment of Osteoarthritis of the Knee, Dtsch Arztebl Int. ožujak 2010.; 107(9): str. 152.–162.PubMed
- ↑ [Guideline] Altman R, Alarcón G, Appelrouth D, Bloch D, Borenstein D, Brandt K, et al. The American College of Rheumatology criteria for the classification and reporting of osteoarthritis of the hand. Arthritis Rheum. studeni 1990.;33(11):str. 1601.-1610. Medline.
- ↑ [Guideline] Altman R, Alarcón G, Appelrouth D, Bloch D, Borenstein D, Brandt K, et al. The American College of Rheumatology criteria for the classification and reporting of osteoarthritis of the hip. Arthritis Rheum. svibanj 1991.;34(5):str. 505.-514. Medline.
- ↑ [Guideline] Altman R, Asch E, Bloch D, Bole G, Borenstein D, Brandt K, et al. Development of criteria for the classification and reporting of osteoarthritis. Classification of osteoarthritis of the knee. Diagnostic and Therapeutic Criteria Committee of the American Rheumatism Association. Arthritis Rheum. kolovoz 1986.;29(8):str. 1039.-1049. Medline.
- ↑ New Technology May Enable Early Osteoarthritis Diagnosis, 2008., Arthritis Foundation A new type of MRI gives doctors a better view.
- ↑ Upchurch GR Jr, Schaub TA. Abdominal aortic aneurysm. Am Fam Physician. 01. travnja 2006.;73(7):str. 1198.-1204. [Medline].
- ↑ Bennett DL, Ohashi K, El-Khoury GY. Spondyloarthropathies: ankylosing spondylitis and psoriatic arthritis. Radiol Clin North Am. siječanj 2004.;42(1):str. 121.-134. [Medline].
- ↑ El-Khoury GY, Kathol MH, Brandser EA. Seronegative spondyloarthropathies. Radiol Clin North Am. ožujak 1996.;34(2):str. 343.-357. xi. [Medline].
- ↑ Woo SB, Hellstein JW, Kalmar JR. Narrative [corrected] review: bisphosphonates and osteonecrosis of the jaws. Ann Intern Med. 16 svibnja 2006.;144(10):str. 753.-761. [Medline]
- ↑ Kawai K, Tamaki A, Hirohata K. Steroid-induced accumulation of lipid in the osteocytes of the rabbit femoral head. A histochemical and electron microscopic study. J Bone Joint Surg Am. siječanj 1985.;67(5):str. 755.-763. [Medline].
- ↑ Bagan JV, Murillo J, Jimenez Y, et al.Avascular jaw osteonecrosis in association with cancer chemotherapy: series of 10 cases. J Oral Pathol Med. veljača 2005.;34(2):str. 120.-123. [Medline].
- ↑ Wang GJ, Sweet DE, Reger SI, et al. Fat-cell changes as a mechanism of avascular necrosis of the femoral head in cortisone-treated rabbits. J Bone Joint Surg Am. rujan 1977.;59(6):str. 729.-735. [Medline].
- ↑ Feder HM Jr. Lyme disease in children. Infect Dis Clin North Am. siječanj 2008.;22(2):str. 315.-326., vii. [Medline].
- ↑ Wormser GP, Nowakowski J, Nadelman RB, Visintainer P, Levin A, Aguero-Rosenfeld ME. Impact of clinical variables on Borrelia burgdorferi-specific antibody seropositivity in acute-phase sera from patients in North America with culture-confirmed early Lyme disease. Clin Vaccine Immunol. rujan 2008.;15(10):str. 1519.-1522. [Medline]. [Full Text].
- ↑ [Guideline] Zhang W, Moskowitz RW, Nuki G, Abramson S, Altman RD, Arden N, et al. OARSI recommendations for the management of hip and knee osteoarthritis, Part II: OARSI evidence-based, expert consensus guidelines. Osteoarthritis Cartilage. veljača 2008.;16(2):str. 137.-162. Medline.
- ↑ Lambert RG, Hutchings EJ, Grace MG, Jhangri GS, Conner-Spady B, Maksymowych WP. Steroid injection for osteoarthritis of the hip: a randomized, double-blind, placebo-controlled trial. Arthritis Rheum. Jul 2007;56(7):2278-87. Medline.
- ↑ Hathcock JN, Shao A. Risk assessment for glucosamine and chondroitin sulfate. Regul Toxicol Pharmacol. Feb 2007;47(1):78-83. Medline.
- ↑ engl. {{{1}}} Todd P Stitik, Denise I Campagnolo, Rehabilitation for Osteoarthritis Overview of Osteoarthritis Rehabilitation Emedicine.medscape
- ↑ Chapple CM, Nicholson H, Baxter GD, Abbott JH. Patient characteristics that predict progression of knee osteoarthritis: A systematic review of prognostic studies. Arthritis Care Res (Hoboken). kolovoz 2011.;63(8):str. 1115.-1125.
- ↑ Perrot S, Poiraudeau S, Kabir M, Bertin P, Sichere P, Serrie A, et al. Active or passive pain coping strategies in hip and knee osteoarthritis? Results of a national survey of 4,719 patients in a primary care setting. Arthritis Rheum. Nov 15 2008;59(11):1555-62. [Medline].
- ↑ Arokoski JP. Physical therapy and rehabilitation programs in the management of hip osteoarthritis. Eura Medicophys. lipanj 2005.;41(2):str. 155.-161. [Medline].
- ↑ Selfe TK, Taylor AG. Acupuncture and osteoarthritis of the knee: a review of randomized, controlled trials. Fam Community Health. Jul-Sep 2008;31(3):247-54. [Medline]. [Full Text].