Teški akutni respiratorni sindrom
| Klasifikacija i vanjske poveznice | |
| MKB-10 | Script error: The function "getExternalValue" does not exist. |
| MKB-10 | Script error: The function "getExternalValue" does not exist. |
| NSK | Script error: The function "getExternalValue" does not exist. |
| PubMed | Script error: The function "getExternalValue" does not exist. (eng.) |
| MeSH | Script error: The function "getExternalValue" does not exist. (eng.) |
| Medscape | Script error: The function "getExternalValue" does not exist. (eng.) |
Teški akutni respiratorni sindrom (engl. SARS - Severe acute respiratory syndrome) bolest je dišnih putova u ljudi koju uzrokuje SARS koronavirus (SARS - CoV)[1]. Virus je zamalo uzrokovao pandemiju između studenog 2002. i srpnja 2003., s 8096 poznatih slučajeva i 12 potvrđenih smrtnih ishoda, prema izvještaju Svjetske zdravstvene organizacije iz 21. srpnja 2004. godine[2]. U nekoliko tjedana SARS se proširio iz Guangdong provinicije u Kini na 37 zemalja diljem svijeta.
Smrtnost kroz dobne skupine do 8. svibnja 2003. iznosila je manje od 1 % za mlađe od 24 godine, 6 % za one od 25 do 44 godine, 15 % za one od 45 do 64 godine i više od 50 % za one starije od 60 godina[3]. Za usporedbu, smrtnost gripe je obično oko 0.6 % (među starijima) ali može porasti do 33 % kada dođe do novih mutacija virusa. Stopa smrtnosti za virusnu upalu pluća može dosegnuti i 70 %.
Od svibnja 2006., širenje SARS-a je u potpunosti zaustavljeno, sa zadnjim slučajem primjećenim u lipnju 2003. godine (iako je zadnji slučaj bio zaraza u laboratoriju 2004.). Ipak, SARS se ne smatra istrijebljenim jer još uvijek može biti prisutan među životinjskim vrstama i može se vratiti u ljudsku populaciju u budućnosti (primjer SARS-CoV-2).
Simptomi

Vrijeme inkubacije iznosi dva do sedam dana, a simptomi su prema Svjetskoj zdravstvenoj organizaciji:
- iznenadna i brzo rastuća, visoka temperatura (preko 38 °C)
- upala sluznice ždrijela s kašljem i promuklošću
- otežano disanje
- bolovi u mišićima
- glavobolja
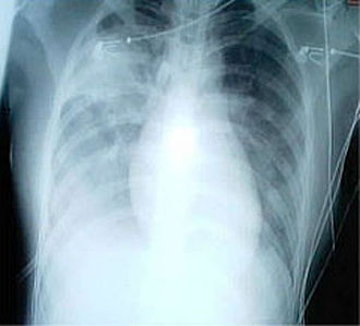
- atipična upala oba plućna krila, rendgenska snimka pluća na početku bolesti pokazuje infiltrate kod gotovo 80 % bolesnika
- u hematološko-biokemijskim nalazima kod većine bolesnika nema odstupanja od normale. Leukopenija (<3.5X10 /L) se nalazi kod 33,9 % bolesnika, limfopenija (<1.0x109/L) u 69,6 % te trombocitopenija u 44,8 %.[4]
Uzročnik

Corona virusi su RNA virusi, uzročnici bolesti u sisavaca i ptica. Ova grupa virusa uzrokuje probavne ili dišne infekcije u velikog broja životinja, uključujući i ljude. Prvotna skeniranja elektronskim mikroskopom u Hong Kongu i Njemačkoj pokazala su virusne čestice koje su nalikovale na paramyxovirus u sekretu pacijenata koji su oboljeli od SARS-a. Kasnije, pregled elektronskim mikroskopom u Kanadi pokazao je strukture koje su nalikovale na metapneumovirus (podtip paramyxovirusa) u sekretu. Pasteurov Institut u Parizu identificirao je coronavirus u uzorcima šest pacijenata, kao i laboratori Malika Peirisa na hongkoškom sveučilištu, koje je i prvo i objavilo da bi taj virus mogao biti uzročnik, nakon što su ga uzgojili iz uzoraka tkiva te su bili među prvima koji su razvili test kojim se dokazuje prisutnost virusa. Centar za kontrolu bolesti američkog javnog zdravstva (CDC) primijetio je virusne čestice u pogođenom tkivu (nalaz u tkivu znači da je virus patogen, a ne slučajno otkriće u sekretu). Nakon elektronskog mikroskopiranja, primijetili su da se radi o coronavirusu, provjera genoma i usporedba s postojećim bazama podataka pokazala je da je riječ o neprepoznatom coronavirusu.
Sekvenciranje genoma - koje je dovršeno u Vancouveru u 4 ujutro 12. travnja 2003. bilo je prvi korak u razvijanju dijagnostičkog testa za virus, i mogućeg cjepiva[5]. Razvijen je i test za antitijela za virus. 16. travnja 2003. WHO je izdala priopćenje u kojem je potvrdila da je coronavirus uzročnik SARS-a[6]. Znanstvenici na Erasmus University u Rotterdamu u Nizozemskoj dokazali su da coronavirus ispunjava Kochove postulate i dolazali da je baš on uzročnik virusa. U ekperimentu su životinje zaražene virusom razvile iste simptome kao i ljudi prilikom zaraze SARS-om[7].
Krajem svibnja 2003. godine, studije na primjerima divljih životinja koje su se prodavale na lokalnim tržnicama u Guangdongu u Kini otkrile su da je SARS coronavirus pronađen kod divljih cibetki, ali životinje nisu uvijek pokazivale kliničke simptome. Prvi zaključci su bili da je virus preskočio barijeru između vrsta i više od 10 tisuća cibetki je ubijeno. Virs je kasnije pronađen i kod rakunastih pasa i domaćih mačaka. 2005. godine, dvije su studije utvrdile pristunost SARS-sličnih coronavirusa i kod Kineskih šišmiša.[8][9] Filogenetsko istraživanje ovih virusa pokazalo je visoku vjerojatnost da je coronavirus potekao od šišmiša do do ljudi ili direktno, ili preko divljih životinja na kineskim tržnicama. Šišmiši nisu pokazivali vidljive znakove bolesti, ali su vjerojatni rezervari SARS-sličnih coronavirusa.
Dijagnoza
Može se sumnjati na SARS u pacijenata koji imaju:
- Bilo koje simptome, uključujući i temperaturu iznad 38°C ili viši i
- bili su :
- U kontaktu s ljudima zaraženim od SARS-a u zadnjih 10 dana
- Putovali su u regije koje je WHO prepoznao kao područja u kojima je SARS prisutan (to su do 11. svibnja 2003. bili dijelovi Kine, Hong Kong, Singaput i Ontario u Kanadi).
Vjerojatni slučaj SARS-a ima, uz gore navedeno i rengenski nalaz atipične pneumonije ili akutno zatajanje pluća. Sam snimak ne potvrđuje SARS, ali abnormalni infiltrati u plućima se uzimaju kao dokaz. Početni snimak pluća može biti normalan.
Trenutni laboratorijski testovi za SARS su ELISA, imunofluorescencija i lančana reakcija polimeraze. ELISA test dokazuje antitijela na SARS ali tek 21 dan nakon početnih simptoma. Drugi, test imunofluorescencije može detektirati antitijela nakon 10 dana, ali je riječ o iscrpnom testu koji zahtijeva imunosfluorescentni mikroskop i iskusnog tehničara. PCR detektira genetski materijal virusa u krvi, sluzi, uzorcima tkiva i stolici. PCR se pokazao izrazito precizan ali ne osjetljiv. To znači da pozitivan test znači infekciju SARS-om, dok negativan ne znači da pacijent nema SARS.
Bijela krvna zrnca su često povišena. Rani izvještaji su prijavili neutrofiliju i limfopeniju - ali relativnu, jer je ukupan broj bio snižen.
Liječenje
Antibiotici ne djeluju s obzirom da je SARS virusna bolest. Liječenje se uglavnom temelji na olakšavanju simptoma, snižavanju temperature i raspiratornoj podršci ukoliko je potrebna. Sumnjivi slučaju koji podsjećaju na SARS trebaju biti izolirani, po mogućnosti u sobama s negativnim tlakom, a pristup ovim pacijentima treba biti moguć samo uz potpunu zaštitu. U početku se liječenje sastojalo od steroida i antivirusnog lijeka ravirin, iako nema dokaza da je ovo djelovalo. Znanstvenici trenutno testiraju sve antivirusne lijekove, uključujući i one za AIDS, hepatitis i gripu na coronavirus. Postoje i neki dokazi da se kod pacijenata razvija bolest kao posljedica imunosustava tijela na virus - tkz. citokinska oluja. Daljnje istraživanje je potrebno. U prosincu 2004. godine kineski su znanstvenici prijavili da su proizveli cjepivo za SARS.[10] Testirano je na grupi od 36 dobrovoljaca, od čega su kod 24 pronađena antitijela.
Revizija svih studija iz 2006. pokazala je da nikakvi lijekovi, antivirotici, steroidi ili druga terapija pomaže pacijentu. Neke su utvrdile da su štetne[11]. Kliničko tretiranje SARS-a je bilo neefikasno, a većina visokorizičnih pacijenata trebala je raspirator. Trenutno, kortikosteroidi i Ribavirin su najčešća kombinacija lijekova za SARS (Wu et al, 2004.). Studije in vitro su pokazale da je Ribavirin u kliničkim dokazana neefikasan protiv SARS-a. Bolje kombinacije lijekova, ukoliko se upotrijebe rano, su Kaletra, Ribavirin i kortikosteroidi. Uporaba kortikosteroida je kontroverzna. Limfopenija može biti i nuspojava uporabe kortikosteroida, što može dodatno smanjiti odgovor tijela na infekciju. Ipak, njihovo protuupalno djelovanje je nužno i liječnici moraju balansirati (Murphy 2008). Rezultati su ostvareni i uporabom interferona i glicirrizina. Lijekovi koji djeluju inhibitorski na virus nisu postigli uspjeh. Inhibitori HIV proteaze Ritonavir i Saquinavir nisu djelovali u neotrovnim dozama.
Epidemiologija
SARS se smatra relativno rijetkom bolešću s 8,273 slučaja do 2003.[12]
Kronologija
Studeni 2002.
16. studenoga 2002. godine došlo je do izbijanja bolesti za koju se smatra da je bio teški akutni respiratorni sindrom (SARS), tada poznata i kao Žuta pneumonija u Guangdong provinciji u Kini, na granici s Hong Kongom. Slučaj farmera u Foshan okrugu smatra se prvim slučajem. Kina je obavijestila svjetsku zdravstvenu organizaciju (WHO) o ovoj epdemiji 10. veljače 2003., te su prijavili 305 slučajeva (uključujući i 105 zaposlenih u zdravstvu) i 5 smrtnih slučajeva[13]. Kasnije je prijavljeno kako je epidemija uzela maha sredinom veljače, ali je broj slučajeva bio umanjen, jer je kasnije prijavljeno 806 zaraženih i 34 smrtnih ishoda.
Veljača 2003.
| Mogući slučajevi SARS-a po državama, period: 1. studenoga 2002. – 31. srpnja 2003. godine | ||||
| 5328 | 349 | 19 | 6.6 | |
| 1755 | 299 | 5 | 17 | |
| 432 | 44 | 0 | 18 | |
| 346** | 37 | 36 | 11 | |
| 238 | 33 | 0 | 14 | |
| 63 | 5 | 0 | 8 | |
| 27 | 0 | 0 | 0 | |
| 14 | 2 | 0 | 14 | |
| 9 | 0 | 0 | 0 | |
| 1 | 0 | 0 | 0 | |
| 1 | 0 | 0 | 0 | |
| 1 | 0 | 0 | 0 | |
| 1 | 0 | 0 | 0 | |
| 1 | 0 | 0 | 0 | |
| 1 | 0 | 0 | 0 | |
| 1 | 0 | 0 | 0 | |
| 1 | 0 | 0 | 0 | |
| Ukupno | 8273 | 775 | 60 | 9.6 |
| (*) Statistike za Kinu su bez područja Macau i Hong Kong | ||||
| (**) Od 11. lipnja 2003. 325 tajvanskih slučajeva je odbačeno. Laboratorijski podaci su bili nedovoljni za 135 odbačenih slučajeva; 101 od tih pacijenata je preminulo. | ||||
| Izvor:WHO.[14] | ||||
21. veljače, 64-godišnji kineski doktor koji je radio u Guangdongu otišao je u Hong Kong na vjenčanje. Prijavio se u Metropole Hotel (na 9. kat - soba 911.) Iako su se kod njega simptomi javili 15. veljače, osjećao se dovoljno dobro da bi mogao putovati, kupovati i razgledavati grad. 22. veljače potražio je hitnu medicinsku pomoć u Kwong Wah bolnici i primljen je na odjel intezivne njege. Preminuo je 4. ožujka.[15] Oko 80 % slučajeva u Hong Kongu povezano je s ovim doktorom. 23. veljače[16], 47-godišnji američko-kineski poslovni čovjek Johnny Chen, koji je ostao na 9. katu. istog hotela[17]. Razbolio se nakon što je otputovao u Vijetnam i primljen je u bolnicu u Hanoiju 26. veljače. Nakon 7 dana prebačen je u Hong Kong, ali je tada 7 zaposlenih liječnika iz Vijetnama koji su se skrbili za njega razvilo simptome SARS-a. Preminuo je 13. ožujka. Barem 38 medicinskih radnika u Hanoiju bilo je zaraženo.
Doktor svjetske zdravstvene organizacije Carlo Urbani, specijalist za infektivne bolesti koji je radio u Hanoiju i skrbio se za Johnyja Chena primijetio je širenje bolesti među bolničkim radnicima i prvi je prepoznao SARS kao novu bolest. Prvotno je sumnjao da je riječ o ptičjoj gripi. 25. veljače, 53-godišnji šurjak doktora iz Guangdonga osjetio se bolesnim i posjetio Kwong Wah bolnicu u Hong Kongu. Nije primljen taj dan, ali kada se njegovo stanje pogoršalo i primljen je 1. ožujka. Preminuo je 18 dana kasnije.
25. veljače, poslovni čovjek koji je putovao u Hong Kong i provinciju Guangdong vratio se u Taipei, započevši epidemiju na Tajwanu. Također, još jedna osoba koja je bila u Metropole hotelu vratila se u Singapur.
Skoro svi zaraženi do tada su bili ili medicinsko osoblje ili članovi obitelji koji su se razboljeli. Vjeruje se da zaraženo osoblje nije primjenjivalo osnovne mjere zaštite. Razni slučajevi diljem svijeta su direktno ili indirektno povezani s posjetom Aziji.
Ožujak 2003.
4. ožujka, 27-godišnji muškarac iz Hong Konga koji je posjetio gosta u Metropole Hotelu na 9. katu primljen je u bolnicu "Prince of Wales". Barem 99 medicinskih radnika (uključujući i 19 studenata) bili su zaraženi dok su ga liječili.[18] 11. ožujka Carlo urbani je putovao u Bangkok na medicinsku konferenciju. Za vrijeme leta osjetio se loše te je pri dolasku obavijestio prijatelja da pozove hitnu pomoć i da ga odvedu u bolnicu. Stavljen je u izolaciju i u jedinicu za intezivnu njegu. Epidemija bolesti sa sličnim simptomima počela se javljati među medicinskim radnicima u Hong Kongu. 12. ožujka WHO je izdala globalnu uzbunu o novoj infektivnoj bolesti u Vijetnamu i Hong Kongu. 15. užujka WHO je povećala razinu uzbune nakon što su se slični slučajevi identificirani u Hong Kongu i Kanadi, uz posebnu napomenu za putnike, zaposlene u zdravstvu i ministarstva zdravstva.
Američki centar za kontrolu bolesti (CDC) je izdao upozorenje za ljude koji putuju u pogođena područja u Aziji (Hong Kong, Singapur, Vijetnam i Kinu). 17. ožujka uspostavila se mreža labolatorija diljem svijeta kako bi odredili uzročnika SARS-a i razvili potencijalne lijekove. CDC je održao prvu konferenciju u vezi SARS-a te su iznijeli informaciju da se prvih 14 slučajeva istražuje u SAD-u. 20. ožujka WHO je izvijestila da nekoliko bolnica u Vijetnamu i Hong Kongu rade na pola snage jer su mnogi radnici ostajali kod kuće zbog straha od zaraze. WHO je izrazila zabrinutost da će polovična briga za pacijente dovesti do širenja zaraze. 25. ožujka zdravstvene vlasti u Hong Kongu su izvijestile da se devet turista razbolilo kada su se susreli s Kinezom iz unutrašnjosti Kine na letu u Peking 15. ožujka. Singapurska je vlada proglasila prisilnu karantenu za sve zaražene. 27. ožujka Arthur K. C. Li, voditelj Biroa za edukaciju i ljudstvo, proglasio je prekid nastave u Hong Kongu. Ministarstvo obrazovanja u Singapuru proglasilo je da će sve osnovne, srednje i više škole biti ugašene. 29. ožujka, dr. Urbani je preminuo od srčanog udara u Bangoku. 30. ožujka zdravstveni autoriteti u Hong Kongu stavili su pod karantenu jednu zgradu u Amony Gardens četvrti zbog brojnosti epidemije. Svi su balkoni zatvoreni a izlaze je čuvala policija. Kasnije su stanovnici prebačeni u karantenu a zgrada proglašena biološkom opasnošću. Većina zaraženih iz tog bloka pripadali su sjeverozapadnom dijelu zgrade, sa zajedničkom kanalizacijom. Prema vladinim služenicima, virus je došao u zgradu kada je bubrežni bolesnik koji je bio u bolnici Prince of Wales došao posjetiti svog brata i zarazio ga. Smatralo se da se virus prenosi kanalizacijom, iako je jedna teorija navodila da je vjetar ubacio virus u ventilaciju. Potvrđeno je da se virus prenosi kapljičnim putem, iako su zbog epidemije zdravstveni autoriteti doveli u pitanje i mogući prijenos zrakom.
Travanj 2003.
1. travnja vlada SAD-a je povukla svo osoblje koje nije bilo nužno iz svojih konzulata u Hong Kongu i Guangzhou. Također su savjetovali svojim građanima da ne putuju u pogođenu regiju.
2. travnja kineski su medicinski službenici počeli prijavljivati slučajeve SARS-a. Prijavljeno je 361 novih slučaeja i 9 smrti, što je povećalo ukupan broj zaraženih u Kini. WHO je savjetovao da se izbjegava putovanje u Hong Kong i Guangdong[1].
Dječak u Hong Kongu je uhićen zbog plasiranja lažnih informacija na Internetu kako je Hong Kong proglašen zonom zaraze.
3. travnja međunarodni tim znanstvenika iz WHO-a došao je u Guangzhou iz Pekinga kako bi pomogli kineskim vlastima, ali još nisu istraživali porijetlo virusa ili medicinske ustanove. 15 ljudi iz karantene iz Amoy Gardensa su premješteni zbog sukoba oko dijeljenja sanitarnih prostra. Prvi zdravstveni radnik u Hong Kongu umire zbog SARS-a. Prekid nastave je produljen još 2 tjedna.
4. travnja, tim WHO-a je pronašao prvi slučaj zaraze u okrugu Foshan. Muškarac je zarazio četvero ljudi ali ne i svoju obitelj. Kineski službenik je na konferenciji za novinare priznao da Kina nije dovoljno brzo informirala o izbivanju bolesti. Ministar zdravstva je također izjavio da je bolest pod kontrolom u unutrašnjosti Kine, te dao listu od 7 lijekova za koje je tvrdio da su uspješni protiv SARS-a. Vlada SAD-a je proglasila prisilnu karantenu za zaražene.
5. travnja singapurska je vlada proglasila da će škole ostati zatvorene.
6. travnja pojavio se slučaj SARS-a u Manili, glavnom gradu Filipina, kod osoba koja se vratila iz Hong Konga.
9. travnja James Earl Salisbury je umro od SARS-a u bolnici u Hong Kongu. Američki mormon[19] koji je radio kao profesor na politehničkom sveučilištu[20] bio je bolestan oko mjesec dana prije svoje smrti[21], ali mu je prvotno dijagnosticirana upala pluća[22]. Njegov sin Micheal Salisbury je bio s njim u Kini te se također zarazio, ali je preživio. Smrt Jamesa Salisburyja natjerala je kinesku vladu da otvorenije govori o širenju SARS-a.[23]
10. travnja dr. Jim Hughes, šef odjela infektivnih bolesti pri CDC-u potvrdio je da se bolest više ne može iskorijeniti, ali da se može zaustaviti njen napredak u Sjevernoj Americi.
11. travnja WHO je proglasila globalnu uzbunu jer je postalo jasno da se bolest širi globalnim zračnim prometom.
12. travnja dr. Marco Marra, diretkor Micheal Smith Genome Science cetra, proglasio je da su znanstvenici probili genetsku kod virusa koji uzrokuje SARS. U Torontu je troje ljudi umrlo od SARS-a, čime je broj mrtvih u Kanadi porastao na 13.
16. travnja WHO je iznio službeno priopćenje da SARS uzrokuje coronavirus. Virus je službeno nazvan SARS virus.
19. travnja kineski premijer je najavio je stroge sankcije za lokalne dužnosnike koji ne prijave slučajeve SARS-a brzo i precizno, što je značilo i drastična promjena tadašnje politike. Do kraja travnja, SARS je postao vijest u Kini, s dnevnim izvještajima iz svih provincija o novim slučajevima i mjerama.
20. travnja, gradonačelnik Pekinga Meng Xuenong i kineski ministar zdravstva Zhang Wenkang su smjenjeni. To su bili prvi dužnosnici koji su bili smijenjeni zbog spore reakcije u vezi epidemije. Na konferenciji za novinare, novi ministar zdravstva Gao Qiang je priznao da je više od 300 slučajeva u Pekingu, a ne 37, kako je ranije rečeno. Dan kasnije ovaj se broj povećao na 407.
22. travnja ponovno se počinju otvarati škole u Hong Kongu.
23. travnja Peking je najavio zatvaranje svih osnovnih i srednjih škola na 2 tjedna. Nekoliko dana prije, neki fakulteti u Pekingu također su se zatvorili zbog pojave bolesti među studentima. WHO je preporučio da se ne putuje u Peking, Toronto i provinciju Shanxi.
26. i 27. travnja kineske su vlasti zatvorile kazališta, disko klubove i ostale zabavne sadržaje u Pekingu jer je broj mrtvih nastavio rasti. Dolazi do pada gospodarstva jer trgovine, restorani, banke i tržnice kao i škole ostaju zatvorene, dok su velike državne banke i ministarstva imala manjak ljudi.
28. travnja WHO je proglasila prestanak epidemije u Vijetnamu jer novih slučajeva nije bilo 20 dana.
30. travnja WHO je ukinula preporuku da se u Toronto ne putuje.
Svibanj 2003.
4. svibnja broj novozaraženih u Hong Kongu postao je jednoznamekast. 19. svibnja WHO održava godišnji sastanak u Ženevi. Hong Kong zahtijeva da se upozorenje o SARS-u za turiste ukine. 20. svibnja WHo odbija ukinuti upozorenja. 23. svibnja, nakon prebrojavanja broja oboljelih od SARS-a u bolnicama, WHO ukida upozorenje turistima za Hong Kong i Guangdong. 24. svibnja, po prvi put od početka epidemije u Hong Kongu, broj novooboljelih je nula. 24. svibnja, nova skupina od 20 pacijenata je prijavljena u Torontu. Do 29. svibnja, više od 5 tisuća ljudi je pod karantenom u Kanadu dok kanadske vlasti pokušavaju spriječiti širenje SARS-a. 31. Svibnja, Singapur je izbrisan s liste Svjetske zdravstvene organizacije "zaraženih područja" (eng. infected areas).
Lipanj 2003.
23. lipnja Hong Kong je izbrisan s liste zaraženih područja. Na listi ostaju Toronto, Peking i Tajvan. 27. lipnja WHO iznosi pretpostavku da će se virus povući u idućih nekoliko tjedana, ali bi bolest mogla ponovno izbiti u Kini sljedeće godine.
Srpanj 2003.
5. srpnja, WHO je proglasio da je epidemija SARS-a ukroćena na Tajvanu, te je izbrisan s liste zaraženih područja. Nije bilo novih slučajeva 20 dana iako je 200 ljudi još uvijek hospitalizirano zbog bolesti.
Rujan 2003.
8. rujna, Singapur je proglasio da je istraživač koji je radio na Nacionalnom sveučilištu u Singapuru zaražen dok je radio na virusu Zapadnog Nila, ali se oporavio. Sumnjalo se da su se dva virusa izmiješala dok je istraživao.
Prosinac 2003.
10. prosinca, još jedan istraživač s Tajvana dobio je SARS nakon što se vratio iz Singapura s medicinske konferencije. 74 osobe su stavljene u karantenu, ali nitko se nije razbolio. 27. prosinca, Kina je prijavila prvi slučaj kod kojega se sumnjalo na SARS nakon 6 mjeseci u Guangdongu, iz mjesta gdje je virus potekao. Osoba nije bila istraživač.
Siječanj 2004.
5. siječnja Kina je potvrdila da je slučaj SARS-a kod čovjeka iz Guangdonga potekao iz prirode. Filipini su proglasili da imaju mogući slučaj u čovjeka koji se vratio u Hong Kong (7. siječnja se ustanovilo da je riječ o običnoj upali pluća). 10. siječnja je potvrđen 2. slučaj SARS-a kod radnika u restoranu u Guangzhou. 17. siječnja Kina je potvrdila treći slučaj SARS-a u Guangzhou. WHO je naglasio važnost povezivanja slučajeva i proglasio da je SARS virus pronađen u kavezima cibetki u restoranu gdje je radio drugi zaraženi i u kavezima cibetki na tržištu. 31. siječnja Kina je proglasila četvrti slučaj SARS u 40-godišnjeg doktora.
Travanj 2004.
23. travnja je proglasila prvu smrt uzrokovanu SARS-om od lipnja. 53-godišnja žena preminula je 19. travnja. Još dva slučaja su otkrivena, oba kod zdravstvenih radnika, od kojih je jedna bila kćer preminule. Sumnjalo se da je još jedan radnik zaražen. Ovo izbijanje povezano je s istraživačem koji je radio na virusu SARS-a u laboratoriju pri Institutu virologije u Pekingu, koji je bolest prenio na medicinsku sestru koja se brinula za njega.
Svibanj 2004.
1. svibnja potvrđena su još dva slučaja i na još tri sumnjiva u Pekingu, svi povezani s jednim laboratorijem. Ukupan broj slučajeva bio je 6, 4 u Pekingu i 2 u provinciji Anhui. Kina je 2. svibnja potvrdila da su 3 sumnjiva slučaja potvrđena, čime je ukupan broj zaraženih skočio na 9. 189 ljudi je pušteno iz karantene. Kako nijedan novi slučaj nije prijavljen u periodu od 3 tjedna, WHO je 19. svibnja proglasio Kinu slobodnom od daljnih slučajeva SARS-a.
COVID-19 je virusna bolest uzrokovana novim koronavirusom SARS-CoV-2. Bolest se prvi put pojavila u kineskom gradu Wuhanu. Povodom brzog širenja ove bolesti Svjetska zdravstvena organizacija proglasila je pandemiju. Zabilježene su zaraze diljem zapadnog svijeta i Azijsko-pacifičkog oceana, uglavnom ljudi iz Kine, a kasnije se bolest širi diljem Europe.
Oni inficirani mogu biti asimptomatski ili razviti simptome poput vrućice, kašlja, umora, nedostatka daha ili bolova u mišićima. Pregled 55.924 laboratorijski potvrđenih slučajeva u Kini, pokazao je sljedeće tipične znakove i simptome: vrućica (87,9 % slučajeva), suh kašalj (67,7 %), umor (38,1 %), stvaranje ispljuvaka (33,4 %), kratkoća daha (18,6 %), grlobolja (13,9 %), glavobolja (13,6 %), bolovi u mišićima ili bol u zglobovima (14,8 %), zimica (11,4 %), mučnina ili povraćanje (5,0 %), nazalna kongestija (4,8 %), proljev (3,7 %), hemoptiza (0,9 %) i zagušenje konjunktiva (0,8 %).
Izvori
- ↑ Thiel V (editor). (2007) Coronaviruses: Molecular and Cellular Biology. http://www.horizonpress.com/cor.
- ↑ • Parametar
accessdatenije dopušten u klasiweb - ↑ Update 49 - SARS case fatality ratio, incubation period, World Health Organization, 7 May 2003. URL Accessed 17 May 2008.
- ↑ Klinika za infektivne bolesti “Dr Fran Mihaljević”, prof.dr sc Bruno Baršić, dr Dragan Lepur, dr Igor Klinar
- ↑ • Nepoznat parametar:
issue
• Parametarpmidnije dopušten u klasijournal
• Parametartypenije dopušten u klasijournal
• Parametarurlnije dopušten u klasijournal - ↑ Coronavirus never before seen in humans is the cause of SARS, New York: United Nations World Health Organization, 16 April 2006. URL Accessed 5 July 2006.
- ↑ • Nepoznat parametar:
issue
• Parametarpmidnije dopušten u klasijournal
• Parametartypenije dopušten u klasijournal - ↑ • Nepoznat parametar:
issue
• Parametarpmidnije dopušten u klasijournal
• Parametartypenije dopušten u klasijournal
• Parametarurlnije dopušten u klasijournal - ↑ • Nepoznat parametar:
pmc
• Nepoznat parametar:issue
• Parametarpmidnije dopušten u klasijournal
• Parametartypenije dopušten u klasijournal
• Parametarurlnije dopušten u klasijournal - ↑ First SARS vaccine trials a success China Daily 15 January 2005
- ↑ • Nepoznat parametar:
pmc
• Nepoznat parametar:issue
• Parametarpmidnije dopušten u klasijournal
• Parametartypenije dopušten u klasijournal
• Parametarurlnije dopušten u klasijournal - ↑ • Parametar
accessdatenije dopušten u klasiweb - ↑ World Health Organization. Severe Acute Respiratory Syndrome (SARS) - multi-country outbreak - Update 6. Available at http://www.who.int/csr/don/2003_03_21/en/index.html
- ↑ Epidemic and Pandemic Alert and Response (EPR), World Health Organization (WHO)
- ↑ World Health Organization. Update 95 - SARS: Chronology of a serial killer. Available at http://www.who.int/csr/don/2003_07_04/en/index.html
- ↑ CDC. Update: Outbreak of Severe Acute Respiratory Syndrome--worldwide, 2003. MMWR 2003;52(12):241-248
- ↑ WHO. Update 95 - SARS: Chronology of a serial killer. op cit
- ↑ CDC. Update: Outbreak of Severe Acute Respiratory Syndrome--worldwide, 2003. op cit
- ↑ Church Member Dies of SARS
- ↑ Panic as China's SARS toll rises
- ↑ Doctor accuses China of covering up SARS outbreak
- ↑ Reported on CBS's The Early Show American Family Affected By SARS
- ↑ CNN - SARS death leads " Salisbury was with him in China and also contracted the disease, but survived it.to China dispute
Vanjske poveznice
| Molimo pročitajte upozorenje o korištenju medicinskih informacija. Ne provodite liječenje bez konzultiranja liječnika! |