Toggle menu
243,9 tis.
110
18
641,3 tis.
Hrvatska internetska enciklopedija
Toggle preferences menu
Toggle personal menu
Niste prijavljeni
Your IP address will be publicly visible if you make any edits.

Plasmodium (Plasmodium) vivax

Izvor: Hrvatska internetska enciklopedija
Inačica 46344 od 21. kolovoz 2021. u 09:29 koju je unio WikiSysop (razgovor | doprinosi) (Bot: Automatski unos stranica)
(razl) ←Starija inačica | vidi trenutačnu inačicu (razl) | Novija inačica→ (razl)
Plasmodium vivax
Sistematika
Carstvo: Protista
Koljeno: Apicomplexa
Razred: Aconoidasida
Red: Haemosporida
Porodica: Plasmodiidae
Rod: Plasmodium
Vrsta: P. vivax
Dvojno ime
Plasmodium vivax
Grassi & Feletti 1890

Plasmodium vivax parazit je koji je jedan od najčešćih i najrasprostranjenijih uzročnika benigne, povratne malarije. Jedan je od četiri vrste parazita koji često uzrokuju malarijsku infekciju kod ljudi. Manje je virulentan od parazita Plasmodium falciparum, najopasnijeg od svih četiriju parazita, koji često zna biti nerijetko smrtonosan. P. vivax prenosi se preko ugriza ženskih komaraca roda Anopheles, iz razloga što samo ženke komaraca sišu krv.

Nespolni oblici:

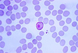
  • Nezreli trofozoiti (u obliku prstena ili žiga), 1/3 dijametra crvene krvne stanice
  • Zreli trofozoiti veoma nepravilni i osjetljiva oblika (opisani kao ameboidni); prisutni su mnogi pseudopodialni procesi. Prisutnost nježnih zrnaca smeđe pigmentacije (malarijski pigment) ili hematina vjerojatno dobivenog iz hemoglobina zaražene crvene krvne stanice.
  • Shizonti: Veličine normalne crvene krvne stanice; radi toga zaraženo tjelešce postaje prošireno i veće no inače.

Spolni oblici jesu gametociti. Okrugli su, a gametociti vrste P. vivax često se mogu pronaći u vanjskoj krvi negdje pri kraju prvog tjedna parazitemije.

Mikroskopski gledano, zaražene crvene krvne stanice dva su puta veće od normalne stanice i prisutne su nježne Schüffnerove točke na površini same stanice. Parazit koji se nalazi unutra često je veoma nepravilnog oblika (ameboidan oblik). Shizonti vrste P. vivax imaju do dvadeset merozoita unutar njih samih. Rijetko dolazi do pojave više parazita unutar jedne stanice. Merozoiti se vežu samo za nezrele krvne stanice (retikulociti) i radi toga je neobično vidjeti više od 3% zaraženih eritrocita koji cirkuliraju tijelom.

P. vivax i P. ovale koji se nalaze u etilendiamintetraoctenoj kiselini (EDTA) više od pola sata prije krvnog razmaza izgledati će veoma slični P. malariae, što je važan razlog za upozoravanje laboratorija čim je uzet uzorak krvi kako bi obradili uzorak što prije.

Inkubacijski period infekcije obično varira između deset do sedamnaest dana, a ponekad i godinu dana. Dugotrajni životni ciklusi unutar jetre dozvoljavaju povratak bolesti i do pet godina nakon eliminacije stadija u crvenim krvnim stanicama i kliničkog izlječenja.

Liječenje

Klorokin ostaje tretman za vivax malariju, izuzev u Indoneziji i Papui Novoj Gvineji, gdje je otpornost mikroorganizma na klorokin česta (i do 20%). Kada je otpornost na klorokin česta ili kada se klorokin koristi bez nadzora, koristi se artesunat; meflokin postaje dobra alternativa liječenju i dostupan je u većini zemalja. Kinin se može koristiti za liječenje vivax malarije, no povezan je sa lošijim ishodima.

    Molimo pročitajte upozorenje o korištenju medicinskih informacija.
Ne provodite liječenje bez konzultiranja liječnika!