Akutna mijeloična leukemija
Akutne mijeloične leukemije (AML) je skupina zloćudnih bolesti koštane srži koje karakterizira prekid u sazrijevanju krvotvornih stanica mijeloične (nelimfocitne) linije u ranom razvojnom obliku, te nakupljanje nezrelih oblika stanica. Drugu skupinu zloćudnih bolesti koštane srži čine akutne limfocitne (limfoblastične) leukemije.[1]
Etiologija
Uzrok bolesti je nepoznat, te se najčešće javlja bez poznatog faktora rizika. Uočena je veća učestalost AML kod osoba oboljelih od drugih hematoloških bolesti (npr. policitemija rubra vera, mijelodisplazija), obiteljskih sindroma (npr. Downov sindrom), izloženih virusima (npr. HTLV-1), zračenju i određenim kemijskim tvarima (npr. kemoterapija).[2][3]
Podjela
Klasifikacija AML, Svjetska zdravstvena organizacija
- Akutna mijeloična leukemija sa povratnim genetičkim poremećajima.[4][5][6]
- AML sa translokacijom između kromosoma 8 i 21 [t(8;21)] (ICD-O 9896/3);RUNX1/RUNX1T1
- AML sa inverzijom kromosoma 16 [inv(16)] (ICD-O 9871/3); CBFB/MYH11
- APL sa translokacijom između kromosoma 15 i 17 [t(15;17)] (ICD-O 9866/3); RARA;PML
- AML sa translokacijom kromosoma 9 i 11 [t(9;11)]; MLLT3-MLL
- Akutna mijeloična leukemija sa znakovima mijelodisplazije - sve AML koje se razviju iz sindroma mijeodisplazije ili mijeloproliferativnih bolesti
- Akutna mijeloična leukemija i mijeloproliferativni poremećaji nastali nakon terapije (kemoterapija ili radioterapija)
- Akutna mijeloična leukemija bez drugih osobitosti (nisu drugdje uvrštene)
- Akutne bifenotipske leukemije
FAB klasifikacija AML
- AML-M7 Akutna megakariocitna leukemija (akraćeno AMKL)
- AML-M6 Akutna eritroleukemija (skraćeno AEL)
- AML-M5 Akutna monocitna leukemija (skraćeno AMoL)
- AML-M4 Akutna mijelomonocitna leukemija (skraćeno AMMoL)
- AML-M3 Akutna promijelocitna leukemija (skraćeno APL)
- AML-M2 Akutna mijeloična leukemija sa sazrijevanjem
- AML-M1 Akutna mijeloična leukemija bez sazrijevanja
- AML-M0 Akutna mijeloična leukemija minimalno diferencirana
Klinička slika

Simptomi bolesti nastaju kao posljedica zakazivanja funkcije koštane srži i/ili infiltracije određenih organa uslijed širenja bolesti. Mogu se javiti simptomi anemije koja nastaje zbog nedovoljnog stvaranja eritrocita, sklonost infekcijama zbog oslabljenog stvaranja limfocita ili povećane sklonosti krvarenju zbog nedostatka trombocita.
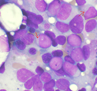
Utvrđivanje bolesti
Za utvrđivanje bolesti koriste se pregled krvi (citološki pregled razmaza periferne krvi) koji ukazuje na prisutnost nezrelih stanica, te pregled koštane srži (aspiracijska citodijagnostička pukncija koštane srž - sternalna punkcija ili biospija kosti) kojim se utvrđuje povećana količina leukemijskih stanica. Zbog utvrđivanja podtipa bolesti potrebno je učiniti citokemijska, imunološke (imunofenotipizacija), citogenetske i molekularne pretrage (FISH, PCR).
Terapija
Bolest se liječi kemoterapijama i presađivanjem koštane srži.[7]
Izvori
- ↑ Hoffman, Ronald (2005). Hematology: Basic Principles and Practice (4th ed.). St. Louis, Mo.: Elsevier Churchill Livingstone. pp. 1074–75. ISBN 0-443-06629-9.
- ↑ Larson RA, Wang Y, Banerjee M, Wiemels J, Hartford C, Le Beau MM, et al. Prevalence of the inactivating 609C-->T polymorphism in the NAD(P)H:quinone oxidoreductase (NQO1) gene in patients with primary and therapy-related myeloid leukemia. Blood. 1999 Jul 15. 94(2):803-7
- ↑ Allan JM, Wild CP, Rollinson S, Willett EV, Moorman AV, Dovey GJ, et al. Polymorphism in glutathione S-transferase P1 is associated with susceptibility to chemotherapy-induced leukemia. Proc Natl Acad Sci U S A. 2001 Sep 25. 98(20):11592-7.
- ↑ Smith ML, Cavenagh JD, Lister TA, Fitzgibbon J. Mutation of CEBPA in familial acute myeloid leukemia. N Engl J Med. 2004 Dec 2. 351(23):2403-7.
- ↑ Holme H, Hossain U, Kirwan M, Walne A, Vulliamy T, Dokal I. Marked genetic heterogeneity in familial myelodysplasia/acute myeloid leukaemia. Br J Haematol. 2012 Jul. 158(2):242-8.
- ↑ Gao J, Gentzler RD, Timms AE, Horwitz MS, Frankfurt O, Altman JK. Heritable GATA2 mutations associated with familial AML-MDS: a case report and review of literature. J Hematol Oncol. 2014 Apr 22. 7(1):36.
- ↑ Kayser S, Dohner K, Krauter J, et al. The impact of therapy-related acute myeloid leukemia (AML) on outcome in 2853 adult patients with newly diagnosed AML. Blood. 2011 Feb 17. 117(7):2137-45.
Vanjske poveznice
| Molimo pročitajte upozorenje o korištenju medicinskih informacija. Ne provodite liječenje bez konzultiranja liječnika! |