Hijatalna kila
| Klasifikacija i vanjske poveznice | |
| MKB-10 | Script error: The function "getExternalValue" does not exist. |
| MKB-10 | Script error: The function "getExternalValue" does not exist. |
| NSK | Script error: The function "getExternalValue" does not exist. |
| PubMed | Script error: The function "getExternalValue" does not exist. (eng.) |
| MeSH | Script error: The function "getExternalValue" does not exist. (eng.) |
| Medscape | Script error: The function "getExternalValue" does not exist. (eng.) |
Hijatalna kila (lat. hernia hiatalis je protruzija ili hernijacija gornjeg dijela želuca u prsni koš (thorax) kroz ošit (diaphragma). Naziva se i hijatalna hernija.
Simptomi

Uključuju gastroezofagelni refluks (vraćanje želudačnog sadržaja u jednjak), žgaravicu, bol iza prsne kosti i u žličici. Mnogi pacijenti nemaju tegoba.
Uzroci nastanka
Sljedeći faktori mogu biti odgovorni za nastanak hijatus hernije.
- Povišeni tlak u trbušnoj šupljini uzrokovan jednim od sljedećih čimbenika:
- dizanje teških tereta ili pregibanje
- često i snažno kašljanje
- snažno kihanje
- trudnoća i porod
- povraćanje
- napinjanje kod zatvora (constipatio)
- pretilost (dodatna težina pritišće trbuh i povećava tlak)
- sjedeći položaj kod defekacije [1] (v. Epidemiologija dolje)
- nasljeđe
- pušenje
- stres
- slabost dijafragme (ošita)
Dijagnoza
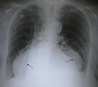
Dijagnosticira se gastroskopijom ili RTG pregledom želuca u Trendelembergovom položaju koji pokaže ulazi li želudac u grudni koš.
Tipovi
Postoje dva tipa ove kile:
- Najčešća (95%) jest klizeća hijatalna kila (sliding hiatus hernia) gdje se gastroezofagelno ušće pomiče zajedno sa želucem.
- Druga je vrsta je kotrljajuća ili paraezofagealna (rolling) hijatalna kila gdje dio želuca ulazi u grudni koš, ali gastroezofagealni prijelaz ostaje u trbušnoj duplji. Javlja se u pet posto slučajeva.[2]
Treći tip hijatalne kile opisuje se kao kombinacija prva dva tipa.
Terapija
U većini slučajeva terapija nije potrebna. Međutim, ako je kila velika ili je u pitanju paraezofagelni tip izazvat će tegobe i strikturu jednjaka. Pacijenti trebaju podignuti uzglavlje i izbjegavati ležanje nakon jela. Smanjenje tjelesne težine može pomoći. H2 blokatori ili inhibitori protonske pumpe smanjuju kiselost želuca i na taj način smanjuju tegobe. Kod težih slučajeva preporučuje se kirurška terapija. Kronični refluks može oštetiti sluzokožu jednjaka i dovesti do pojave raka.
Kirurška se procedura naziva Nissenova fundoplikacija.Dio se želuca omota oko jednjaka i na taj se način spriječava refluks.[3]
Komplikacije su teškoće s podrigivanjem, disfagija (teže gutanje), rijetko ahalazija.
Komplikacije
GERB (Gastroezofagealna refluksna bolest) nastaje zbog vraćanja kiselog sadržaja u jednjak koje je olakšano zbog nižeg pritiska u prsnom košu. Posljedice su - žgaravica, ezofagitis, Barrettov ezofagus i rak jednjaka. Posljedice nekada mogu biti ozbiljne. Paraezofagelna kila može se uklještiti i uzrokovati opstrukciju i nekrozu zida želuca.
Većina pacijenata nema simptome.
Epidemiologija
Učestalost raste sa starosti. Oko 60% osoba preko 50 godina ima hijatalnu kilu.[4] Samo 9 % njih ima simptome.
Prema Dr. Denisu Burkittu, Hijatalna kila ima maksimalnu prevalenciju u SAD-u i zapadnoeuropskim zemljama. Bolest je rijetka u seoskim afričkim društvima. [1] Burkitt smatra da hrana siromašna biljnim vlaknima dovodi do povećanog naprezanja kod defekacije.[5]
Izvori
- ↑ 1,0 1,1 • Nepoznat parametar:
issue
• Parametarpmidnije dopušten u klasijournal
• Parametartypenije dopušten u klasijournal
• Parametarurlnije dopušten u klasijournal - ↑ Lawrence, P.: Essentials of General Surgery, Baltimore, Williams & Wilkins, 1992. str. 178 ISBN 0-683-04869-4
- ↑ Lange CMDT 2006
- ↑ Goyal Raj K, "Chapter 286. Diseases of the Esophagus". Harrison's Principles of Internal Medicine, 17e.
- ↑ • Nepoznat parametar:
pmc
• Nepoznat parametar:issue
• Parametartypenije dopušten u klasijournal
| Molimo pročitajte upozorenje o korištenju medicinskih informacija. Ne provodite liječenje bez konzultiranja liječnika! |