Barrettova metaplazija
| Klasifikacija i vanjske poveznice | |
| MKB-10 | Script error: The function "getExternalValue" does not exist. |
| MKB-10 | Script error: The function "getExternalValue" does not exist. |
| NSK | Script error: The function "getExternalValue" does not exist. |
| PubMed | Script error: The function "getExternalValue" does not exist. (eng.) |
| MeSH | Script error: The function "getExternalValue" does not exist. (eng.) |
| Medscape | Script error: The function "getExternalValue" does not exist. (eng.) |
Barrettov jednjak (oesophagus) predstavlja područje cilindričnog epitela koji se nalazi u donjem dijelu jednjaka. Ovo se odnosi na metaplaziju u stanicama donjeg dijela jednjaka koje su nastale zbog izloženosti želučanoj kiselini zbog refluksa želučanog sadržaja.[1] Normalno je jednjak obložen višeslojnim pločastim epitelom. Ovaj epitel je zamijenjen cilindričnim epitelom ali se smatra da je ovo više kozmetička promjena jer proteini ovog epitela [2] su slični onim višeslojnog pločastog epitela. [3]
Barrettov jednjak nalazi se kod 5-15% pacijenata koji se žale na žgaravicu (gastroesofagealna refluksna bolest, GERB), iako postoje grupe pacijenata koji nemaju nikakvih simptoma.[4] Smatra se da je to premaligno stanje jer je povezano s povećanim rizikom nastanka raka jednjaka lat. carcinoma oesophagi (ili specifičnije, lat. adenocarcinoma) kod oko 0.5% pacijenata u tijeku jedne godine.[5][4] Dijagnoza Barrettovog jednjaka oslanja se na endoskopiju to jest postupak pri kojem se uvodi endoskop kroz usta u jednjak i pregleda se početni dio probavnog sustava do dvanaestnika. Ako postoji teži stupanj displazije epitela šansa za razvoj raka jednjaka je i do 10%.[4]
Postoji praksa u razvijenim zemljama da se prati razvoj bolesti na osnovu bioptičkih uzoraka i procjene stupnja displazije. Postoji malo dokaza da ova praksa pomaže. Preventivne operacije koje uključuju operativno uklanjanje jednjaka koji je zahvaćen procesom ili ablacija (uništavanje) promijenjenog epitela ne pokazuju da sprječavaju daljnji razvoj bolesti ili da sprječavaju nastanak raka želuca. [4]
Stanje je nazvano po Normanu Barrettu (1903.-1979.) koji je prvi opisao ovo stanje 1957. godine. [6]
Uzroci i simptomi
Barrettov jednjak uzrokuje gastroezofagelna refluksna bolest (GERB), britanski engleski termin je gastro-oesophageal reflux disease (GORD), odnosno termin GERD u SAD-u jer se oesophagus u SAD-u piše esophagus). Ovaj refluks omogućava da sadržaj želuca oštećuje stanice koje pokrivaju donji dio jednjaka. Ne može se odrediti kada će netko sa žgaravicom dobiti Barrettov jednjak. Nisu pronađene korelacije između jačine simptoma i ove bolesti. Nekada ljudi bez žgaravice imaju Barrettov jednjak. Može biti prouzročen i gutanjem nekih korozivnih tvari kao što su lužine. Obično je to natrijev hidroksid (živa soda), rjeđe kalijev hidroksid. Metaplazija može nastati i bez znatnijih simptoma i promjene intenziteta žgaravice. Međutim, postoje znaci upozorenja na koje treba obratiti pozornost i koje se ne smije ignorirati:
- česta i dugotrajna žgaravica
- teškoće gutanja (disfagija, lat. dysphagia)
- povraćanje krvi (hematemeza)
- bol iza prsne kosti i u žličici
- neželjeni gubitak težine prouzročen bolom pri gutanju
Patologija


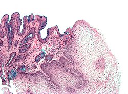
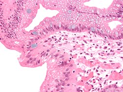
Barrettov jednjak označava prisutnost cilindričnog epitela u donjem dijelu jednjaka koji zamjenjuje normalni višeslojni pločasti epitel-tipičan je primjer za metaplaziju. Ovaj epitel koji nalikuje onome u želucu može bolje podnositi korozivno djelovanje želučane kiseline, međutim povećava opasnost od nastanka raka jednjaka.[7]
Imamo dva tipa metaplastičnih cilindričnih stanica: gastrične (želučane) koje su slične onima u želucu što se tehnički i ne smatra Barrettovim jednjakom i kolonične koje su nalik na epitel debelog crijeva. Obično se na biopsiji nađu oba tipa stanica. Metaplazija u kojoj stanice nalikuju onima iz debelog crijeva povezana je s genetski opterećenom populacijom.
Metaplazija je vidljiva na endoskopiji ali se uzorak mora pregledati mikroskopski da se utvrdi koji je tip stanica dominantan. Kolonička metaplazija je karakterizirana peharastim stanicama epitela i preduvjet je za postavljanje dijagnoze Barrettovog jednjaka.
Postoje bolesti koje oponašaju Barrettov jednjak. Stoga su potrebni iskusni patolozi za dijagnostiku ovog stanja. [8] .[9] S obzirom na teškoće pri postavljanju pravilne dijagnoze i stupnja displazije smatra se da je potrebno da najmanje dva patologa potvrde dijagnozu i procijene stupnja displazije prije nego što se pacijent podvrgne bilo kakvom tretmanu.
Tretman
Najveći rizik nastanka zloćudnih tumora je kod američkih bijelaca starijih od 50 godina čiji simptomi traju dulje od 5 godina. Crnci rijetko dobivaju adenokarcinom jednjaka povezan s Barrettovim jednjakom. Sada se preporučuje da pacijenti koji boluju od ovog stanja idu godišnje na endoskopske preglede s biopsijom jednjaka da se utvrdi stupanj displazije i rizik nastanka maligne bolesti. Ako kod dvije uzastopne biopsije ne nađemo metaplaziju period se može produljiti na tri godine uz kontrolu sekrecije kiseline inhibitorima protonske pumpe i drugim preventivnim mjerama. Kod pacijenata s nižim ili višim stupnjem displazije potrebna je češća kontrola gastroenterologa.
Inhibitori protonske pumpe nisu dokazali da sprječavaju nastanak raka jednjaka. Laser treatment primjenjuje se za tretman težih displazija dok maligno oboljenje zahtijeva radikalan kirurški tretman, zračenje i sistemsku kemoterapiju. Osim toga, nedavno provedena randomizirana kontrolirana studija je pokazala da je fotodinamična terapija photofrinom statistički učinkovitija u eliminaciji displastičnog rasta nego uporaba inhibitora protonske pumpe. [10] Trenutačno ne postoji način kojim možemo odrediti kod kojeg pacijenta će se razviti rak jednjaka iako šest nedavnih studija pokazuje na tri različite genetske abnormalnosti sa 79% šanse razvoja raka jednjaka u sljedećih šest godina. [11]
Endoskopska mukozalna resekcija (EMR) se evaluira kao terapijska tehnika[12] Operacija poznata kao Nissenova fundoplikacija može smanjiti refluks iz želuca u jednjak. [13]
U određenom broju studija nesteroidni antiinflamatorni lijekovi (NSAIDS), kao što je aspirin, dokazali su da preveniraju nastanak raka jednjaka koji je povezan s Barrettovim jednjakom.[14][15] Međutim, nijedna od ovih studija nije bila randomizirana odnosno randomizirana kontrolirana studija. Ovakav je tip studije zlatni standard u utvrđivanju učinkovitosti medicinske intervencije. Osim toga, nije poznato koja je doza efikasna za prevenciju raka jednjaka.
Dodatne slike
-
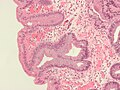
Mikroskopska slika Barrettovog jednjaka. Alcian blue stain.
Reference
- ↑ • Nepoznat parametar:
issue
• Parametarpmidnije dopušten u klasijournal
• Parametartypenije dopušten u klasijournal - ↑ • Nepoznat parametar:
issue
• Parametarpmidnije dopušten u klasijournal
• Parametartypenije dopušten u klasijournal - ↑ • Nepoznat parametar:
issue
• Parametarpmidnije dopušten u klasijournal
• Parametartypenije dopušten u klasijournal - ↑ 4,0 4,1 4,2 4,3 • Nepoznat parametar:
month
• Nepoznat parametar:issue
• Parametarpmidnije dopušten u klasijournal
• Parametartypenije dopušten u klasijournal - ↑ • Nepoznat parametar:
issue
• Parametarpmidnije dopušten u klasijournal
• Parametartypenije dopušten u klasijournal - ↑ • Nepoznat parametar:
issue
• Parametarpmidnije dopušten u klasijournal
• Parametartypenije dopušten u klasijournal - ↑ • Parametar
pmidnije dopušten u klasijournal
• Parametartypenije dopušten u klasijournal - ↑ • Parametar
pmidnije dopušten u klasijournal
• Parametartypenije dopušten u klasijournal - ↑ • Parametar
pmidnije dopušten u klasijournal
• Parametartypenije dopušten u klasijournal - ↑ • Nepoznat parametar:
issue
• Parametarpmidnije dopušten u klasijournal
• Parametartypenije dopušten u klasijournal - ↑ • Nepoznat parametar:
issue
• Parametarpmidnije dopušten u klasijournal
• Parametartypenije dopušten u klasijournal - ↑ • Nepoznat parametar:
issue
• Parametarpmidnije dopušten u klasijournal
• Parametartypenije dopušten u klasijournal - ↑ • Nepoznat parametar:
issue
• Parametarpmidnije dopušten u klasijournal
• Parametartypenije dopušten u klasijournal - ↑ • Parametar
pmidnije dopušten u klasijournal
• Parametartypenije dopušten u klasijournal - ↑ • Parametar
pmidnije dopušten u klasijournal
• Parametartypenije dopušten u klasijournal
Vanjske poveznice
- Barrett's Esophagus at National Institute of Diabetes and Digestive and Kidney Diseases (NIDDKD)
- Barrett's Info a peer-reviewed web site of information on Barrett's esophagus and its clinical management.
- Barrett's Esophagus at Johns Hopkins University
- Barrett's Esophagus Video Overview and Barrett's Esophagus Health Information at Mayo Clinic
- Barrett's Oesophagus Campaign Originally The Barrett's Oesophagus Foundation, the UK charity committed to research into prevention of adenocarcinoma of the esophagus