Tuberkuloza
| Klasifikacija i vanjske poveznice | |
| MKB-10 | Script error: The function "getExternalValue" does not exist. |
| MKB-10 | Script error: The function "getExternalValue" does not exist. |
| NSK | Script error: The function "getExternalValue" does not exist. |
| PubMed | Script error: The function "getExternalValue" does not exist. (eng.) |
| MeSH | Script error: The function "getExternalValue" does not exist. (eng.) |
| Medscape | Script error: The function "getExternalValue" does not exist. (eng.) |

Tuberkuloza (skraćeno: TBC) ili sušica je česta i u mnogim slučajevima smrtonosna zarazna bolest. Bolest uzrokuju razni spojevi mikrobakterija, obično Mycobacterium tuberculosis.[1] Tuberkuloza tipično zahvaća pluća, no može zahvatiti i druge dijelove tijela. Prenosi se kapljičnim putem, zrakom, kada bolesnici s aktivnim oblikom TBC kašlju, kišu ili pljuju.[2] U većini slučajeva, bolest je asimptomatska i latentna, ali u jednom od oko deset slučajeva napreduje u aktivnu bolest. Neliječena tuberkuloza dovodi do smrti u više od 50% bolesnika.
Klasični simptomi aktivne TBC infekcije su kronični kašalj s hemoptizom (krvavi iskašljaj), vrućicom, noćnim znojenjem i mršavljenjem. (TBC se naziva i “sušicom” jer bolesnici gube tjelesnu masu, kao da se suše.) Infekcija drugih organa izaziva niz različitih simptoma. Medicinska dijagnoza aktivne TBC postavlja se na osnovi radiološkog nalaza (obično rentgenske slike pluća), mikroskopske pretrage tjelesnih tekućina i mikrobiološkog uzgoja uzročnika u kulturi. Dijagnoza latentne TBC se zasniva na Mantouxovom testu i pretragama krvi. Liječenje tuberkuloze nije jednostavno, i sastoji se od dugotrajne primjene brojnih antibiotika. Osobe s kojima bolesnik dolazi u dodir također se podvrgavaju probiru i ako je to potrebno, liječenju. U slučajevima tuberkuloze otporne na više lijekova sve veći problem predstavlja otpornost na antibiotike. Kako bi se TBC spriječila, treba provoditi probir stanovništva na bolest i cijepljenje s bacilom Calmette–Guérin (BCG) cjepivom.
Stručnjaci smatraju da je trećina svjetskog stanovništva zaražena s M. tuberculosis,[3] a da svake sekunde dolazi do novog slučaja infekcije.[3] Procjenjuje se da je 2007. širom svijeta bilo 3,7 milijuna aktivnih slučajeva bolesti.[4] U 2010. je procijenjena pojava od 8,8 milijuna novih slučajeva, te 1,5 milijuna s ovom bolešću povezanih smrtnih slučajeva, najviše u zemljama u razvoju.[5] Apsolutni broj oboljelih od tuberkuloze od 2006. opada, a broj novih slučajeva je u padu od 2002.[5] Tuberkuloza je širom svijeta nejednako učestala. Oko 80% stanovništva u mnogim azijskim i afričkim zemljama pokazuje pozitivnu reakciju na tuberkulinski test, dok taj postotak u Sjedinjenim Državama iznosi 5-10%.[1] U zemljama u razvoju više osoba obolijeva od tuberkuloze zbog oslabljenog imunosnog sustava. U tipičnim slučajevima, to su osobe zaražene HIV-om i oboljele od AIDS-a.[6]
Znakovi i simptomi
Aktivni oblik bolesti razvija se u oko 5–10% bolesnika zaraženih tuberkulozom, a koji nisu zaraženi i HIV-om.[8] Za razliku od toga, u bolesnika zaraženih i HIV-om i tuberkulozom, aktivna se bolest razvija u 30% slučajeva.[8] Tuberkulozom se može zaraziti bilo koji dio tijela, no najčešće do zaraze dolazi u plućima (plućna tuberkuloza).[9] Do ekstrapulmonalne TBC dolazi kad se žarište infekcije nalazi izvan pluća, a ekstrapulmonalna tuberkuloza može postojati istovremeno s plućnom.[9] Opći znakovi i simptomi su vrućica, tresavica, noćno znojenje, gubitak apetita, mršavljenje i zamor.[9] Također se mogu razviti batićasti prsti.[8]
Plućna TBC
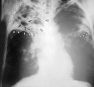
Ukoliko se infekcija tuberkulozom aktivira, u oko 90% bolesnika zahvaća pluća.[6][10] Simptomi mogu biti bol u prsištu i dugotrajni kašalj praćen iskašljajem. Oko 25% bolesnika nema nikakve simptome (odnosno, bolest je “asimptomatska”).[6] Ponekad se u iskašljaju nalazi mala količina krvi (v. iskašljavanje krvi). U rijetkim slučajevima, bolest može oštetiti stijenku plućne arterije, izazivajući obilno krvarenje koje se naziva Rasmussenova aneurizma. Tuberkuloza može prijeći u kroničnu bolest i izazvati opsežno ožiljkavanje u gornjim režnjevima pluća. Gornji režnjevi su ujedno i najčešće zahvaćeni bolešću.[9] Razlog tome je nepoznat, ali se smatra da se možda radi o tome da je strujanje zraka u gornjim režnjevima pluća izrazitije nego u donjima,[1] ili je uzrok slabiji protok limfe.[9]
Ekstrapulmonalna TBC
U 15–20% slučajeva aktivne bolesti, dolazi do rasapa izvan dišnog sustava, što uzrokuje druge oblike TBC.[11] TBC izvan dišnog sustava se naziva “ekstrapulmonalnom tuberkulozom”[12] Ekstrapulmonalna TBC se češće razvija u imunosuprimiranih osoba i u male djece. Do ekstrapulmonalne TBC dolazi u više od 50% bolesnika zaraženih HIV-om.[12] Najčešća mjesta na kojima se ekstrapulmonalna tuberkuloza pojavljuje su pleura (tuberkulozni pleuritis), središnji živčani sustav (tuberkulozni meningitis), i limfni čvorovi (škrofule na vratu). Ekstrapulmonalna tuberkuloza može zahvatiti mokraćni ili spolni sustav (urogenitalna tuberkuloza ) te kosti i zglobove (Pottova bolest kralješnice), kao i druge lokalizacije u tijelu. Kad se bolest proširi na kosti, naziva se "koštanom tuberkulozom",[13] koja predstavlja oblik osteomijelitisa.[1] Potencijalno opasniji, po tijelu prošireniji oblik TBC naziva se “diseminiranom” TBC, još poznatom i pod nazivom milijarna tuberkuloza.[9] Milijarna tuberkuloza predstavlja oko 10% slučajeva ekstrapulmonalne bolesti.[14]
Uzročnici
Mikobakterije
Glavni uzročnik TBC je Mycobacterium tuberculosis, mali aerobni nepokretljivi bacil.[9] Mnoge jedinstvene kliničke osobine ovog uzročnika posljedica su obilnog sadržaja lipida u njegovoj stijenci.[15] Do stanične diobe uzročnika dolazi svakih 16 –20 sati, što je sporo u usporedbi s drugim bakterijama, koje se obično podijele za manje od jednog sata.[16] Vanjska stijenka mikobakterija sastoji se od dvostrukog sloja lipida.[17] Bojenjem po Gramu MTBC se oboji ili vrlo slabo "Gram pozitivno" ili uopće ne, zbog obilnog sadržaja lipida i mikolične kiseline u stijenci.[18] MTBC može preživjeti dezinfekciju slabim dezinfekcijskim sredstvima, a u okolišu može preživjeti tjednima u obliku endospora. U prirodi, ova bakterija može rasti i umnožavati se samo unutar živih stanica domaćina, no M. tuberculosis se može uzgojiti i u laboratorijskim uvjetima.[19]
Pomoću boja za tkiva mikroskopskom pretragom uzorka iskašljaja, MTBC se može pronaći pomoću svjetlosnog mikroskopa. Iskašljaj je naziva i “sputum”. Budući da se MTBC može obojati određenim bojama čak i nakon obrade u kiseloj otopini, svrstava se u acidorezistentne bakterije.[1][18] Dvije najčešće korištene metode bojenja acidorezistentnih bakterija su bojenje po Ziehl–Neelsenu, pri čemu se acidorezistentne bakterije oboje jarko crveno zbog čega su uočljive na plavoj pozadini preparata[20] i bojom auramin-rodamin nakon čega se preparat pregledava pomoću fluorescentne mikroskopije.[21]
Skupina M. tuberculosis (MTBC) obuhvaća još četiri mikobakterije: Mycobacterium bovis, Mycobacterium africanum, Mycobacterium canetti, i Mycobacterium microti.[22] M. africanum nije proširen, ali je značajan uzročnik tuberkuloze u pojedinim dijelovima Afrike.[23][24] M. bovis je bio česti uzročnik tuberkuloze, ali je u razvijenim zemljama uvođenje pasterizacije mlijeka uvelike smanjilo važnost ove mikobakterije kao javnozdravstvenog problema.[1][25] M. canetti je rijetkost i čini se da je ograničen na rt Afrike, premda se nekoliko slučajeva zaraze pojavilo i u emigranata iz Afrike.[26][27] M. microti je također rijetkost i uglavnom izaziva zarazu u imunodeficijentnih osoba, no možda je i uobičajeniji nego što se misli.[28]
Druge patogene mikobakterije su Mycobacterium leprae, Mycobacterium avium, i Mycobacterium kansasii. Posljednje dvije se svrstavaju u "netuberkulozne mikobakterije" (NTBCM). NTBCM ne uzrokuju TBC niti lepru, ali uzrokuju plućnu infekciju koja jako nalikuje na TBC.[29]
Rizični čimbenici
Nekoliko je čimbenika koji stvaraju podložnost infekciji TBC. Širom svijeta, najvažniji rizični čimbenik je HIV; 13% svih bolesnika od TBC zaraženo je virusom HIV-a.[5] Ovaj je problem čest u subsaharskoj Africi, gdje je učestalost infekcije HIV-om visoka.[30][31] Tuberkuloza je usko povezana s prenapučenošću i lošom prehranom. Ova povezanost čini TBC glavnom bolešću siromaštva.[6] U velikoj opasnosti od zaraze TBC su intravenski narkomani, stanovnici i zaposlenici na mjestima gdje se skupljaju osobe podložne infekciji (primjerice, zatvori i domovi za beskućnike), siromašne osobe i one koje nemaju odgovarajuću zdravstvenu zaštitu, etničke manjine visokog rizika, djeca koja dolaze u dodir s osobama visokog rizika i zdravstveni radnici koji liječe navedene skupine.[32] Još jedan od značajnih rizičnih čimbenika je kronična plućna bolest. Silikoza povećava opasnost od zaraze oko 30 puta.[33] Pušači cigareta su u skoro dvostruko većoj opasnosti od TBC od nepušača.[34] Ostali čimbenici koji također povećavaju opasnost od zaraze tuberkulozom su alkoholizam[6] i diabetes mellitus (koji utrostručuje opasnost)[35] Sve važniji čimbenici rizika, osobito u razvijenim zemljama postaju i neki lijekovi, kao što su kortikosteroidi i infliximab (monoklonalno protutijelo protiv αTNF-a).[6] Postoji i genska sklonost[36], no znanstvenici zasad nisu utvrdili kolika je njezina važnost.[6]
Mehanizam

Prijenos
Kada bolesnici s aktivnim oblikom plućne TBC kašlju, kišu, govore, pjevaju ili pljuju, zrakom se šire zarazne kapljice, aerosol čiji je promjer 0,5 do µm. Prilikom samo jednog kihanja nastaje i do 40 000 kapljica.[37] Bolest se može prenijeti putem svake od kapljica, jer je za zarazu tuberkulozom potrebna vrlo mala doza (zaraziti se može osoba koja udahne manje od 10 bakterija).[38]
U velikoj opasnosti od zaraze su osobe koje dolaze u dugotrajni, česti ili bliski dodir s bolesnicima od TBC, a stopa zaraze je procijenjena na 22%.[39] Bolesnik s aktivnom, neliječenom tuberkulozom može godišnje zaraziti 10–15 (ili više) osoba.[3] Tipično je da samo bolesnici s aktivnom TBC mogu zaraziti druge. Smatra se da bolesnici s latentnim oblikom infekcije nisu zarazni.[1] Vjerojatnost prijenosa bolesti s jedne osobe na drugu ovisi o nekoliko čimbenika. To su: broj zaraznih kapljica koje zaražena osoba širi, prozračenost prostorija u kojima bolesnik boravi, trajanje izloženosti infekciji, virulencija soja M. tuberculosis i stanje imunosnog sustava nezaražene osobe.[40] Kako bi se spriječilo širenje infekcije, preporučuje se bolesnike s aktivnom TBC staviti u karantenu i liječiti ih tuberkulostaticima. Nakon otprilike dva tjedna učinkovitog liječenja, bolesnici koji boluju od aktivne infekcije koja nije otporna na antibiotike u pravilu prestaju biti zarazni za druge.[39] U slučaju zaraze, obično je potrebno da prođu tri do četiri tjedna da bi novozaražena osoba postala dovoljno zarazna kako bi mogla zaraziti druge.[41]
Patogeneza
Oko 90% ljudi zaraženih s M. tuberculosis imaju asimptomatski, latentni oblik TBC infekcije (ponekad zvan i LTBC).[42] Vjerojatnost da će zaraza tijekom njihova života prijeći u aktivni oblik tuberkuloze iznosi 10%.[43] U bolesnika zaraženih s HIV-om, vjerojatnost razvoja aktivne tuberkuloze iznosi skoro 10% godišnje.[43] Ako se ne primijeni učinkovito liječenje, stopa smrtnosti od aktivne TBC iznosi do 66%[3]
Infekcija s TBC započinje kad mikobakterije dospiju do plućnih alveola, gdje ulaze u alveolarne makrofage i dijele se u njihovim endosomima.[1][44] Primarno mjesto infekcije u plućima naziva se "Ghonovo žarište" i smješteno je u gornjem dijelu donjeg režnja, ili u donjem dijelu gornjeg režnja.[1] Do tuberkuloze pluća može doći i zarazom putem krvi, što se naziva Simonovo žarište. Simonovo se žarište tipično nalazi u vršku pluća.[45] Prijenosom putem krvi infekcija se može proširiti i na udaljenije organe, poput perifernih limfnih čvorova, bubrega, mozga i kostiju.[1][46] Tuberkuloza može zahvatiti sve dijelove tijela, ali iz nepoznatih razloga rijetko su zahvaćeni srce, skeletni mišići, gušterača i štitna žlijezda.[47]
Tuberkuloza je granulomatozna upala. granulomi su nakupine upalnih stanica: makrofaga, T limfocita i B limfocita, gdje limfociti okružuju zaražene makrofage. Stvaranjem granuloma tijelo nastoji spriječiti širenje mikobakterija i stvara lokalno okruženje za lakše međudjelovanje stanica imunosnog sustava. Bakterije unutar granuloma mogu postati slabije aktivne, što dovodi do latentne infekcije. Još jedna osobina granuloma kod TBC je odumiranje tkiva u središtu granuloma (nekroza). Makroskopski, granulomi s nekrotičnim središtem imaju izgled poput svježeg kravljeg sira, zbog čega se takav oblik nekroze naziva kazeozna nekroza (sirasta nekroza).[48]
Bacili tuberkuloze u krvotok mogu ući u području oštećenog tkiva. Mogu se širiti tijelom i uzrokovati višestruka žarišta infekcije, koja makroskopski imaju veličinu zrna prosa.[49] Ovaj teški oblik TBC se naziva milijarna tuberkuloza, a najčešći je u male djece i bolesnika zaraženih HIV-om.[50] Čak i uz liječenje, stopa smrtnosti bolesnika s diseminiranom TBC je visoka (oko 30%).[14][51]
U mnogih bolesnika bolest pokazuje razdoblja različite aktivnosti. Nekrozu tkiva često nadomještava zaraštavanje ožiljkom, fibroza.[48] Odumrlo tkivo biva zamijenjeno ožiljkom, a šupljine se ispunjavaju kazeoznim nekrotičnim tkivom. Za vrijeme aktivne bolesti, neke šupljine koje se zbog propadanja tkiva u sredini šire, dospijevaju do bronha pa se nekrotični materijal može iskašljati. On sadrži žive bakterije i njime se infekcija može proširiti. Liječenje odgovarajućim antibioticima usmrćuje bakterije i omogućuje cijeljenje oštećenog tkiva ožiljkom.[48]
Dijagnoza
Aktivna tuberkuloza
Dijagnozu aktivne tuberkuloze je samo na osnovi znakova i simptoma teško postaviti.[52] Dijagnozu je teško postaviti i u osoba s imunosupresijom.[53] Međutim, osobe sa znakovima bolesti pluća ili s općim simptomima trajanja duljeg od dva tjedna mogle bi bolovati od TBC.[53] Tipične početne pretrage su rendgen prsišta i višestruko nasađivanje sputuma na mikrobiološke hranjive podloge za uzgoj acidorezistentnih bacila.[53] U zemljama u razvoju se ne izvode interferon-γ release assays (IGRAs) niti tuberkulinski kožni test.[54][55] U osoba zaraženih HIV-om IGRAs ima slična ograničenja.[56][57]
Konačna dijagnoza TBC se postavlja kad se dokaže prisutnost M. tuberculosis u klinički uzetom uzorku (kao što je primjerice sputum, gnoj ili tkivo uzeto biopsijom). Kako bi u nasađenom uzorku krvi ili sputuma narastao ovaj uzročnik koji se sporo umnožava, može biti potrebno i dva do šest tjedana.[58] Zbog toga se s liječenjem često započinje prije nego što se uzgojem u kulturi dokaže postojanje uzročnika.
Test amplifikacijom nukleinskih kiselina i dokazivanje adenozin deaminaze služe za brzu dijagnostiku TBC.[52] Međutim, ove se pretrage ne preporučuju za svakodnevno korištenje, jer njihov ishod rijetko mijenja način liječenja bolesnika. Krvne pretrage za otkrivanje protutijela ne pokazuju dovoljnu specifičnost ni osjetljivost, tako da se ne preporučuju.[59]
Latentna tuberkuloza

Tuberkulinski kožni Mantoux test se često koristi za probir osoba s visokim rizikom za razvoj TBC.[53] Rezultat testa u prethodno imuniziranih osoba može biti lažno pozitivan.[60] Test može biti lažno negativan u bolesnika sa sarkoidozom, Hodgkinovim limfomom i malnutricijom. Važnija činjenica je, da ovaj test može biti lažno negativan u bolesnika s aktivnom tuberkulozom.[1] U osoba u kojih je rezultat Mantoux testa pozitivan, preporučuje se učiniti interferon gamma release assays (IGRAs) u uzorku krvi. Imunizacija na većinu mikobakterija ne utječe na rezulat IGRAs testa, tako da su njegovi rezultati u manjem broju slučajeva lažno pozitivni, međutim, imunizacija na M. szulgai, M. marinum, i M. kansasii može utjecati na rezultate testa.[61][62] Osjetljivost IGRAs testa se može povećati kad se učini uz kožni tuberkulinski test, no samo IGRAs test, bez učinjenog kožnog testa može biti i manje osjetljiv.[63]
Prevencija
Napori za prevenciju i nadzor nad tuberkulozom se oslanjaju na cijepljenje djece i otkrivanje te odgovarajuće liječenje aktivnih slučajeva bolesti.[6] Svjetska zdravstvena organizacija (SZO) je posigla određeni uspjeh primjenom poboljšanih načina liječenja, tako da je uočen mali pad broja slučajeva bolesti.[6]
Cjepiva
Od 2011. jedino postojeće cjepivo je bacil Calmette-Guérin (BCG). BCG je učinkovit kod diseminirane bolesti u djece, no zaštita koju pruža protiv zaraze plućnom TBC je nesigurna.[64] Bez obzira na to, ovo je cjepivo koje se u cijelom svijetu najviše koristi, pa je tako više od 90% sve djece na svijetu njime cijepljeno.[6] Otpornost koju ono pruža se nakon otprilike deset godina smanjuje.[6] Tuberkuloza je rijetkost u većem dijelu Kanade, Ujedinjenog Kraljevstva i Sjedinjenih Država, tako da se BCG primjenjuje samo u osoba s velikim rizikom obolijevanja.[65][66][67] Jedan od razloga da se cjepivo ne primijeni, je što ono čini tuberkulinski kožni test lažno pozitivnim, a time ovaj test postaje beskoristan za probir na tuberkulozu.[67] Trenutno se radi na razvoju novih vrsta cjepiva.[6]
Javno zdravstvo
Svjetska zdravstvena organizacija proglasila je 1993. TBC "globalnim zdravstvenim hitnim stanjem”.[6] Godine 2006. organizacija Stop TB Partnership razvila je globalni plan za zaustavljanje tuberkuloze s ciljem da se do 2015. spasi 14 milijuna života.[68] Postavljen je niz ciljeva, koje se vjerojatno do 2015. neće moći ostvariti, ponajprije zbog povećanja broja slučajeva TBC povezane s HIV-om i pojave sojeva bakterija koje pokazuju višestruku otpornost na lijekove.[6] Javnozdravstveni programi koriste sustav klasifikacije tuberkuloze razvijen od strane American Thoracic Society u suradnji s javnim zdravstvom.[69]
Liječenje
Za liječenje TBC koriste se antibiotici. Učinkovitost lijekova je teško postići zbog građe i kemijskog sastava stanične stijenke mikobakterija. Stanična stijenka onemogućava ulazak lijekova u bakterije, zbog čega mnogi antibiotici nisu djelotvorni.[70] Dva najčešće primjenjivana antibiotika su izonijazid i rifampicin, a liječenje može trajati mjesecima.[40] Za liječenje latentne TBC obično se koristi samo jedan antibiotik.[71] Aktivnu je TBC najbolje liječiti kombinacijom nekoliko antibiotika, kako bi se smanjila vjerojatnost razvoja otpornosti na antibiotik.[6] Bolesnici s latentnom infekcijom također se liječe, zbog mogućnosti razvoja aktivne TBC kasnije tijekom života.[71] SZO preporučuje tzv. direktno opserviranu terapiju, koja podrazumijeva da bolesnik uzima lijek pod neposrednim nadzorom liječnika. Cilj ovakvog postupka je smanjenje broja bolesnika koji lijek ne uzimaju na odgovarajući način.[72] Međutim, dokazi koji podupiru učinkovitost ovako primjenjivanog liječenja su slabi.[73] Ukazivanje na važnost liječenja je bitno i učinkovito.[74]
Novonastala TBC
Od 2010., za liječenje novonastale plućne tuberkuloze preporučuje se kombinacija antibiotika tijekom šest mjeseci. Prva dva mjeseca primjenjuju se rifampicin, izonijazid, pirazinamid i etambutol. Posljednja četiri mjeseca, primjenjuju se samo rifampicin i izonijazid.[6] Ako postoji jaka otpornost na izonijazid, umjesto njega se u posljednja četiri mjeseca može primjenjivati etambutol.[6]
Recidivirajuća TBC
Ako dođe do recidiva tuberkuloze, prije određivanja liječenja potrebno je testovima utvrditi na koje je antibiotike bakterija osjetljiva.[6] Tretman recidiva TBC se liječi sa pet antituberkuloznih lijekova tri mjeseca (inicijalna faza), i pet mjeseci produžena faza sa tri antituberkulozna lijeka . Ako se otkrije TBC otporna na više lijekova, preporučuje se liječenje s barem četiri učinkovita lijeka tijekom 18–24 mjeseca.[6]
Otpornost na lijekove
Do primarne otpornosti dolazi ako se osoba zarazi sa sojem TBC otpornim na lijek. Bolesnik od TBC koja je osjetljiva na lijek može razviti sekundarnu (stečenu) otpornost za vrijeme liječenja, zbog neodgovarajućeg liječenja, nepridržavanja propisanog načina uzimanja (nesuradljivosti) ili uzimanja lijeka loše kvalitete.[75] TBC otporna na lijekove je važan javnozdravstveni problem u mnogim zemljama u razvoju. Liječenje na lijekove otporne TBC je dugotrajnije, uz primjenu skupljih lijekova. Višestruko otporna TBC se definira kao ona koja je otporna na dva najučinkovitija lijeka prvog izbora: rifampicin i izonijazid. Izrazito otporna TBC je ona koja je također otporna na tri ili više od šest skupina lijekova drugog izbora.[76] Potpuno otporna TBC je otporna na sve danas postojeće lijekove. Potpuno otporna tuberkuloza po prvi je puta opažena 2003. u Italiji, no veći broj slučajeva opisan je tek 2012. [77]
Prognoza
██ bez podataka ██ ≤10 ██ ≥10–25 ██ ≥25–50 ██ ≥50–75 ██ ≥75–100 ██ ≥100–250 | ██ ≥250–500 ██ ≥500–750 ██ ≥750–1000 ██ ≥1000–2000 ██ ≥2000–3000 ██ ≥ 3000 |
Napredovanje TBC od trenutka zaraze do očite TBC nastaje kada bacilli savladaju obrambene imunosne snage i kada se započinju razmnožavati. Kod primarne tuberkuloze (oko 1 – 5% slučajeva), do ove progresije dolazi ubrzo nakon zaraze.[1] U većini slučajeva dolazi do latentne infekcije bez očitih simptoma.[1] Ovi neaktivni bacilli dovode do aktivne tuberkuloze u 5–10% latentne bolesti i to često tek mnogo godina nakon zaraze.[8]
Opasnost od reaktivacije bolesti se povećava kod imunosupresije, poput one uzrokovane HIV-om. U bolesnika istovremeno zaraženih s M. tuberculosis i HIV-om, opasnost od reaktivacije se povećava na 10% godišnje.[1] Istraživanja DNK sojeva M. tuberculosis su pokazala da je reinfekcija uzrokovana recidivirajućom TBC češća nego što se prije mislilo.[79] U područjima u kojima je TBC česta, reinfekcija bi mogla biti odgovorna za više od 50% slučajeva reaktivacije bolesti.[80] Vjerojatnost smrnog ishoda uslijed tuberkuloze smanjila se s 8% u 1995. godini na oko 4% u 2008. godini.[6]
Epidemiologija

Oko trećina svjetskog stanovništva zaražena je s M. tuberculosis. U svjetskim razmjerima, svake sekunde dolazi do novog slučaja zaraze.[3] Međutim, u većini slučajeva zaraze s M. tuberculosis ne dolazi do razvoja tuberkuloze,[82] a 90–95% infekcija ostaje asimptomatsko.[42] Procjenjuje se da je 2007. bilo 13,7 milijuna kroničnih aktivnih slučajeva bolesti.[4] U 2010. dijagnosticirano je 8,8 milijuna novih slučajeva bolesti i 1,45 milijuna smrtnih slučajeva, od čega većina u zemljama u razvoju.[5] Od 1,45 milijuna smrtnih slučajeva, oko 0,35 milijuna se zbilo u bolesnika istovremeno zaraženih HIV-om.[83]
Po učestalosti smrtnih slučajeva od zaraznih bolesti, tuberkuloza je druga po redu (nakon smrti uslijed HIV/AIDS-a).[9] Od 2005. godine apsolutni broj slučajeva ("prevalencija") tuberkuloze se smanjuje. Broj novih slučajeva tuberkuloze ("incidencija") se smanjuje od 2002. godine. [5] Osobiti napredak postignut je u Kini, gdje je smrtnost od TBC između 1990. i 2010. smanjena za oko 80%.[83] Tuberkuloza je učestalija u zemljama u razvoju. Oko 80% stanovništva mnogih zemalja Azije i Afrike pokazuje pozitivni tuberkulinski test, za razliku od SAD-a gdje je ovaj test pozitivan u samo 5–10% stanovništva.[1] Stručnjaci su se nadali potpunom nadzoru nad TBC, no nekoliko čimbenika potpuni nadzor čine malo vjerojatnim. Učinkovito je cjepivo teško napraviti, dijagnostika bolesti je skupa i dugotrajna, liječenje traje mjesecima, sve više je ljudi zaraženih HIV-om, a 1980-ih godina pojavili su se i sojevi otporni na lijekove.[6]

U 2007. zemlja s najvećom procijenjenom incidencijom TBC bio je Swaziland, s 1 200 slučajeva na 100 000 stanovnika. Najveća ukupna incidencija, s procjenom od 2 milijuna novih slučajeva je u Indiji.[4] U razvijenim je zemljama tuberkuloza manje učestala, a nalazi se pretežno u urbanim područjima. Godine 2010. stope TBC-a na 100 000 stanovnika u različitim dijelovima svijeta bile su: globalno 178, u Africi 332, u obje Amerike 36, na istočnom Sredozemlju 173, u Europi 63, u jugoistočnoj Aziji 278, a na zapadnom Pacifiku 139.[83] U Kanadi i Australiji, tuberkuloza je višestruko učestalija u domorodačkog, stanovništva, osobito u udaljenijim područjima.[85][86] U Sjedinjenim Državama, smrtnost domorodačkog stanovništva od TBC je peterostruko veća nego u doseljenika.[87]
Incidencija TBC se mijenja sa životnom dobi. U Africi, ponajprije obolijevaju djeca u dobi između 12 i 18 godina života i mladi odrasli.[88] Međutim, u zemljama s dramatičnim smanjenjem incidencije (poput Sjedinjenih Država), TBC je uglavnom bolest starijih osoba, i osoba s oslabljenim imunosnim sustavom.[1][89]
Povijest

Tuberkuloza se u ljudi pojavljuje još od antike.[6] Najraniji nedvojbeni dokaz M. tuberculosis predstavljaju znakovi bolesti u ostacima bizona od prije oko 17 000 godina.[90] Nije međutim jasno potječe li tuberkuloza od goveda, s kojih je prenesena na ljude ili se odvojila od zajedničkog pretka.[91] Znanstvenici su prije smatrali da su se ljudi zarazili s MTBC od životinja tijekom razdoblja pripitomljavanja životinja. Međutim, nakon usporedbe gena M. tuberculosis kompleksa u ljudi i onog u žvotinja, ova se teorija pokazala pogrješnom. Oba soja bacila tuberkuloze imaju zajedničkog pretka, koji je mogao zaraziti ljude još u doba neolitske revolucije.[92] Ostaci kostura pokazuju da su ljudi još u pretpovijesno doba bolovali od TBC (4000 godina pr. Kr.). Istraživači su pronašli tuberkulozne promjene na krelješnicama egipatskih mumija iz razdoblja 3000–2400 godina pr. Kr.[93] "Ftiza" je grčka riječ za "sušicu", što je tek starinski naziv za plućnu tuberkulozu.[94] Oko 460. pr.Kr. Hipokrat je utvrdio kako je ftiza najrasprostranjenija bolest onoga vremena. Bolesnici s ftizom imali su vrućice i iskašljavali su krv. Ftiza je skoro uvijek završavala smrću.[95] Genska istraživanja ukazuju kako je TBC postojala u Amerikama još oko 100. godine nove ere.[96]
Prije industrijske revolucije, narodne su priče često povezivale tuberkulozu s vampirima. Kad bi od nje umro jedan član obitelji, drugi zaraženi članovi obitelji bi pomalo mršavili, pa je narod vjerovao kako je prva oboljela osoba s TBC-om polako crpila životnu snagu iz ostalih članova obitelji.[97]
Postojanje plućne tuberkuloze kao bolesti sa stvaranjem tuberkula potvrdio je 1689. dr. Richard Morton.[98][99] Međutim, kako je TBC povezana s nizom različitih simptoma, nije shvaćeno da je to jedinstvena bolest sve do 1820-ih godina. Naziv joj je nadjenuo 1839. J. L. Schönlein.[100] U razdoblju 1838. – 1845., dr. John Croghan, vlasnik Mamutske pećine, dovodio je bolesnike u pećinu u nadi da će ih izliječiti uz pomoć stalne temperature i čistoće pećinskog zraka: pomrli su za godinu dana.[101] Prvo lječilište za liječenje TBC-a, otvorio je 1859. godine Hermann Brehmer u mjestu Sokołowsko, Poljska.[102]
Bacil koji uzrokuje tuberkulozu, Mycobacterium tuberculosis, otkrio je i opisao 24. ožujka 1882. Robert Koch. Za to je otkriće 1905. Godine dobio Nobelovu nagradu za fiziologiju ili medicinu.[103] Koch nije bio mišljenja da su kravlja (govedska) i ljudska tuberkuloza slične, zbog čega je odgođeno shvaćanje da mlijeko zaraženih krava može biti izvor infekcije. Kasnije je opasnost od ovakvog načina prijenosa zaraze dramatično smanjena izumom postupka pasterizacije. Koch je, 1890. kao "lijek" za tuberkulozu najavio ekstrakt bacila tuberkuloze u glicerinu i nazvao ga "tuberkulin". Premda "tuberkulin" nije bio učinkovit, prihvaćen je kao način probira na postojanje presimptomatske tuberkuloze.[104]
Prvi uspjeh u imunizaciji protiv tuberkuloze postigli su 1906. Albert Calmette i Camille Guérin. Koristili su oslabljeni soj govedske tuberkuloze i nazvali cjepivo BCG (bacil Calmette-Guérin) (čitaj: "be-se-že"). BCG cjepivo je po prvi puta primijenjeno na ljudima 1921. u Francuskoj,[105] ali je tek nakon Drugog svjetskog rata široko prihvaćeno SAD-u, Velikoj Britaniji i Njemačkoj.[106]
Tuberkuloza je privukla najveću pažnju javnosti u 19. i ranom 20. stoljeću kao endemska bolest siromašne gradske populacije. Godine 1815. jedan smrtni slučaj od četiri bio je uzrokovan "sušicom", a do 1918. TBC je uzrokovala jedan od šest smrtnih slučajeva u Francuskoj. Nakon zaključka znanstvenika da se radi o zaraznoj bolesti, 1880. godine, u Engleskoj je TBC stavljena na popis zaraznih bolesti koje se prijavljuju. Započeto je s kampanjama za sprječavanje pljuvanja na javnim mjestima, a zaražene siromašne osobe se “ohrabrivalo” da se liječe u lječilištima koja su nalikovala na zatvore (lječilišta za srednju i visoku klasu nudila su izvrsnu njegu i stalni liječnički nadzor).[102] Kao prednosti lječilišta navodio se povoljan učinak "svježeg zraka" i rada, no i u najboljim uvjetima 50% u njima liječenih bolesnika umiralo je u roku od 5 godina (“ca.” 1916.).[102]
U Europi je broj oboljelih od tuberkuloze počeo rasti početkom 17. stoljeća, da bi dosegao vrhunac početkom 19. stoljeća, kad je uzrokovala skoro 25% svih smrtnih slučajeva.[107] Do 1950-ih godina, smrtnost se potom smanjila za skoro 90%.[108] Napredak javnog zdravstva znakovito je smanjio učestalost tuberkuloze još i prije početka primjene streptomicina i drugih antibiotika, međutim ova bolest je ostala značajni javnozdravstveni problem. Kad je u Britaniji 1913. osnovan Medical Research Council, glavni mu je cilj bilo istraživanje tuberkuloze.[109]
Godine 1946., razvojem antibiotika streptomicina liječenje i izlječenje od tuberkuloze postalo je stvarnost. Prije njegovog uvođenja u liječenje, jedinu mogućnost liječenja (osim lječilišta) predstavljao je kirurški zahvat. "Metoda"pneumotoraksa dovodila je do kolapsa zaraženog pluća, kako bi se ono moglo "odmoriti", a tuberkulozne promjene mogle zacijeliti.[110] Nakon pojave na lijekove višestruko otpornih sojeva, kirurški zahvat je ponovno postao jedna od prihvaćenih mogućnosti liječenja infekcije s TBC. Današnji kirurški zahvati se sastoje u odstranjenju šupljina ("kaverni") iz plućnog tkiva, čime se smanjuje broj bakterija, a preostale bakterije postaju dostupnije lijekovima iz krvotoka.[111] Premda su se stručnjaci nadali potpunom iskorjenjivanju TBC (poput primjerice velikih boginja), pojava na antibiotike otpornih sojeva 1980-ih godina, smanjila je tu mogućnost. Posljedična pojava većeg broja slučajeva tuberkuloze dovela je do proglašenja globalnog hitnog stanja od strane SZO 1993. godine.[112]
Društvo i kultura
Svjetska zdravstvena organizacija i Zaklada Bill i Melinda Gates subvencioniraju izradu novog i brzog dijagnostičkog testa za primjenu u zemljama s niskim i srednjim nacionalnim dohotkom.[113][114] Od 2011. je u mnogim siromašnim područjima mikroskopska pretraga sputuma jedina dostupna dijagnostička metoda.[115]
Godine 2010., najveći ukupni broj slučajeva TBC u svijetu zabilježen je u Indiji. Jedan od razloga bili su neodgovarajući postupci s ovom bolešću u sektoru private zdravstvene zaštite. Programi kao što je Revised National Tuberculosis Control Program pomažu u smanjenju broja slučajeva TBC u osoba obuhvaćenih javnozdravstvenom zaštitom.[116][117]
Istraživanja
BCG cjepivo ima ograničenja, pa istraživanja za razvoj novih cjepiva protiv TBC još traju.[118] Nekoliko potencijalnih cjepiva su trenutno u fazi I i II kliničkih pokusa.[118] Poboljšanje učinkovitosti postojećih cjepiva pokušava se postići na dva osnovna načina. Jedan od njih se sastoji od dodavanja podjediničnog cjepiva BCG-u. Drugim načinom pokušavaju se proizvesti nova i bolja živa cjepiva.[118] Primjer podjediničnog cjepiva koje se trenutno istražuje u Južnoj Africi je MVA85A. MVA85A se zasniva na genski modificranom virusu vakcinije.[119] Postoji nada da će cjepiva imati veliku ulogu u liječenju latentne i aktivne bolesti.[120]
Kako bi se potaknulo nove pronalaske, istraživači i političari promiču nove ekonomske modele za razvoj cjepiva, uključujući nagrade, porezne olakšice i ugovore o osiguranju tržišta.[121][122] U istraživanja je uključeno nekoliko skupina, kao što je Stop TB Partnership,[123] South African Tuberculosis Vaccine Initiative i Aeras Global TB Vaccine Foundation.[124] Aeras Global TB Vaccine Foundation dobila je donaciju od više od 280 milijuna američkih $ od Zaklade Bill i Melinda Gates kako bi razvila i poboljšala cjepivo protiv tuberkuloze za primjenu u zemljama s velikim brojem oboljelih.[125][126]
Tuberkuloza u životinja
Mikobakterijama se zaražuju mnoge životinjske vrste, uključujući ptice,[127] glodavce,[128] i gmazove.[129] Mycobacterium tuberculosis je u divljih životinja rijetkost.[130] Suzbijanje govedske tuberkuloze, uzrokovane s Mycobacterium bovis u stoke i jelena na Novom Zelandu pokazalo se relativno uspješnim.[131] Slični pokušaji u Velikoj Britaniji bili su manje uspješni.[132][133]
Povezani članci
Literatura
- ↑ 1,00 1,01 1,02 1,03 1,04 1,05 1,06 1,07 1,08 1,09 1,10 1,11 1,12 1,13 1,14 1,15 Kumar V, Abbas AK, Fausto N, Mitchell RN (2007.) Robbins Basic Pathology.
- ↑ • Nepoznat parametar:
issue
• Parametartypenije dopušten u klasijournal
• Parametarurlnije dopušten u klasijournal - ↑ 3,0 3,1 3,2 3,3 3,4 • Parametar
accessdatenije dopušten u klasiweb - ↑ 4,0 4,1 4,2
• Nepoznat parametar:
chapterurl
• Parametarchapternije dopušten u klasibook
• Parametaraccessdatenije dopušten u klasibook - ↑ 5,0 5,1 5,2 5,3 5,4 The sixteenth global report on tuberculosis. 2011 1.
- ↑ 6,00 6,01 6,02 6,03 6,04 6,05 6,06 6,07 6,08 6,09 6,10 6,11 6,12 6,13 6,14 6,15 6,16 6,17 6,18 6,19 6,20 6,21 • Nepoznat parametar:
coauthors
• Nepoznat parametar:issue
• Parametarpmidnije dopušten u klasijournal
• Parametartypenije dopušten u klasijournal
• Parametardatenije dopušten u klasijournal - ↑ Tuberculosis Symptoms. eMedicineHealth 0. 15. siječanj 2009 1.
- ↑ 8,0 8,1 8,2 8,3 al.], edited by Peter G. Gibson ; section editors, Michael Abramson ... [et (2005.) Evidence-based respiratory medicine. http://books.google.ca/books?id=sDIKJ1s9wEQC&pg=PA321.
- ↑ 9,0 9,1 9,2 9,3 9,4 9,5 9,6 9,7 Dolin, [edited by] Gerald L. Mandell, John E. Bennett, Raphael (2010.) Mandell, Douglas, and Bennett's principles and practice of infectious diseases.
- ↑ Behera, D. (2010.) Textbook of pulmonary medicine. http://books.google.ca/books?id=0TbJjd9eTp0C&pg=PA457.
- ↑ Jindal, editor-in-chief SK. http://books.google.ca/books?id=EvGTw3wn-zEC&pg=PA549.
- ↑ 12,0 12,1 • Nepoznat parametar:
issue
• Parametarpmidnije dopušten u klasijournal
• Parametartypenije dopušten u klasijournal - ↑ Kabra, [edited by] Vimlesh Seth, S.K. (2006.) Essentials of tuberculosis in children. http://books.google.ca/books?id=HkH0YbyBHDQC&pg=PA249.
- ↑ 14,0 14,1 Ghosh, editors-in-chief, Thomas M. Habermann, Amit K. (2008.) Mayo Clinic internal medicine : concise textbook. http://books.google.ca/books?id=YJtodBwNxokC&pg=PA789.
- ↑
• Nepoznat parametar:
archivedate
• Nepoznat parametar:archiveurl
• Parametarchapternije dopušten u klasibook - ↑ Jindal, editor-in-chief SK. http://books.google.ca/books?id=rAT1bdnDakAC&pg=PA525.
- ↑ • Nepoznat parametar:
month
• Nepoznat parametar:pmc
• Nepoznat parametar:issue
• Parametarpmidnije dopušten u klasijournal
• Parametartypenije dopušten u klasijournal - ↑ 18,0 18,1 • Nepoznat parametar:
issue
• Parametarpmidnije dopušten u klasijournal
• Parametartypenije dopušten u klasijournal - ↑ • Nepoznat parametar:
issue
• Parametarpmidnije dopušten u klasijournal
• Parametartypenije dopušten u klasijournal - ↑ http://books.google.ca/books?id=lciNs3VQPLoC&pg=PA473.
- ↑ Piot, editors, Richard D. Semba, Martin W. Bloem; foreword by Peter (2008.) Nutrition and health in developing countries. http://books.google.ca/books?id=RhH6uSQy7a4C&pg=PA291.
- ↑ • Nepoznat parametar:
first8
• Nepoznat parametar:first6
• Nepoznat parametar:last9
• Nepoznat parametar:display-authors
• Nepoznat parametar:issue
• Nepoznat parametar:first9
• Nepoznat parametar:author-separator
• Nepoznat parametar:last7
• Nepoznat parametar:first7
• Nepoznat parametar:last6
• Nepoznat parametar:last8
• Parametarpmidnije dopušten u klasijournal
• Parametartypenije dopušten u klasijournal - ↑ • Nepoznat parametar:
first8
• Nepoznat parametar:first6
• Nepoznat parametar:last9
• Nepoznat parametar:author-separator
• Nepoznat parametar:display-authors
• Nepoznat parametar:issue
• Nepoznat parametar:first9
• Nepoznat parametar:pmc
• Nepoznat parametar:last7
• Nepoznat parametar:last6
• Nepoznat parametar:first7
• Nepoznat parametar:last8
• Parametarpmidnije dopušten u klasijournal
• Parametartypenije dopušten u klasijournal - ↑ • Nepoznat parametar:
first8
• Nepoznat parametar:first6
• Nepoznat parametar:last9
• Nepoznat parametar:author-separator
• Nepoznat parametar:display-authors
• Nepoznat parametar:issue
• Nepoznat parametar:first9
• Nepoznat parametar:pmc
• Nepoznat parametar:last7
• Nepoznat parametar:last6
• Nepoznat parametar:first7
• Nepoznat parametar:last8
• Parametarpmidnije dopušten u klasijournal
• Parametartypenije dopušten u klasijournal - ↑ • Nepoznat parametar:
issue
• Parametarpmidnije dopušten u klasijournal
• Parametartypenije dopušten u klasijournal - ↑ Acton, Q. Ashton (2011.) Mycobacterium Infections: New Insights for the Healthcare Professional. http://books.google.ca/books?id=g2iFfV6uEuAC&pg=PA1968.
- ↑ • Nepoznat parametar:
coauthors
• Nepoznat parametar:issue
• Parametarpmidnije dopušten u klasijournal
• Parametartypenije dopušten u klasijournal
• Parametardatenije dopušten u klasijournal - ↑ • Nepoznat parametar:
coauthors
• Nepoznat parametar:issue
• Parametarpmidnije dopušten u klasijournal
• Parametartypenije dopušten u klasijournal
• Parametardatenije dopušten u klasijournal - ↑ • Nepoznat parametar:
issue
• Parametarpmidnije dopušten u klasijournal
• Parametartypenije dopušten u klasijournal - ↑ • Parametar
accessdatenije dopušten u klasiweb - ↑ • Nepoznat parametar:
coauthors
• Nepoznat parametar:issue
• Parametarpmidnije dopušten u klasijournal
• Parametartypenije dopušten u klasijournal
• Parametardatenije dopušten u klasijournal - ↑ • Nepoznat parametar:
issue
• Parametarpmidnije dopušten u klasijournal
• Parametartypenije dopušten u klasijournal - ↑ • Nepoznat parametar:
month
• Nepoznat parametar:issue
• Parametarpmidnije dopušten u klasijournal
• Parametartypenije dopušten u klasijournal
• Parametarurlnije dopušten u klasijournal - ↑ • Nepoznat parametar:
coauthors
• Nepoznat parametar:issue
• Parametarpmidnije dopušten u klasijournal
• Parametartypenije dopušten u klasijournal
• Parametardatenije dopušten u klasijournal - ↑ • Nepoznat parametar:
pmc
• Nepoznat parametar:issue
• Parametarpmidnije dopušten u klasijournal
• Parametartypenije dopušten u klasijournal
• Parametardatenije dopušten u klasijournal - ↑ • Nepoznat parametar:
coauthors
• Nepoznat parametar:issue
• Parametarpmidnije dopušten u klasijournal
• Parametartypenije dopušten u klasijournal
• Parametardatenije dopušten u klasijournal - ↑ • Nepoznat parametar:
issue
• Parametarpmidnije dopušten u klasijournal
• Parametartypenije dopušten u klasijournal - ↑ • Nepoznat parametar:
issue
• Parametarpmidnije dopušten u klasijournal
• Parametartypenije dopušten u klasijournal - ↑ 39,0 39,1 • Nepoznat parametar:
issue
• Parametarpmidnije dopušten u klasijournal
• Parametartypenije dopušten u klasijournal - ↑ 40,0 40,1 • Nepoznat parametar:
pg
• Parametareditionnije dopušten u klasiweb - ↑ • Parametar
accessdatenije dopušten u klasiweb - ↑ 42,0 42,1 Skolnik, Richard (2011.) Global health 101. http://books.google.ca/books?id=sBQRpj4uWmYC&pg=PA253.
- ↑ 43,0 43,1 editors, Arch G. Mainous III, Claire Pomeroy, (2009.) Management of antimicrobials in infectious diseases: impact of antibiotic resistance. http://books.google.ca/books?id=hwVFAPLYznsC&pg=PA74.
- ↑ • Nepoznat parametar:
issue
• Parametarpmidnije dopušten u klasijournal
• Parametartypenije dopušten u klasijournal - ↑ Khan (2011.) Essence Of Paediatrics. http://books.google.ca/books?id=gERCc6KTxwoC&pg=PA401.
- ↑ • Nepoznat parametar:
issue
• Parametarpmidnije dopušten u klasijournal
• Parametartypenije dopušten u klasijournal - ↑ • Nepoznat parametar:
pmc
• Nepoznat parametar:issue
• Parametarpmidnije dopušten u klasijournal
• Parametartypenije dopušten u klasijournal
• Parametarpagenije dopušten u klasijournal - ↑ 48,0 48,1 48,2 • Nepoznat parametar:
pmc
• Nepoznat parametar:issue
• Parametarpmidnije dopušten u klasijournal
• Parametartypenije dopušten u klasijournal - ↑ Crowley, Leonard V. (2010.) An introduction to human disease: pathology and pathophysiology correlations. http://books.google.ca/books?id=TEiuWP4z_QIC&pg=PA374.
- ↑ Anthony, Harries (2005.) TB/HIV a Clinical Manual. http://books.google.ca/books?id=8dfhwKaCSxkC&pg=PA75.
- ↑ • Nepoznat parametar:
coauthors
• Nepoznat parametar:issue
• Parametarpmidnije dopušten u klasijournal
• Parametartypenije dopušten u klasijournal
• Parametardatenije dopušten u klasijournal - ↑ 52,0 52,1 • Nepoznat parametar:
coauthors
• Nepoznat parametar:issue
• Parametarpmidnije dopušten u klasijournal
• Parametartypenije dopušten u klasijournal
• Parametardatenije dopušten u klasijournal - ↑ 53,0 53,1 53,2 53,3 • Nepoznat parametar:
issue
• Parametarpmidnije dopušten u klasijournal
• Parametartypenije dopušten u klasijournal
• Parametardatenije dopušten u klasijournal - ↑ • Nepoznat parametar:
coauthors
• Parametarpmidnije dopušten u klasijournal
• Parametartypenije dopušten u klasijournal
• Parametardatenije dopušten u klasijournal - ↑ • Nepoznat parametar:
coauthors
• Nepoznat parametar:issue
• Parametarpmidnije dopušten u klasijournal
• Parametartypenije dopušten u klasijournal
• Parametardatenije dopušten u klasijournal - ↑ • Nepoznat parametar:
coauthors
• Nepoznat parametar:issue
• Parametarpmidnije dopušten u klasijournal
• Parametartypenije dopušten u klasijournal
• Parametardatenije dopušten u klasijournal - ↑ • Nepoznat parametar:
coauthors
• Nepoznat parametar:issue
• Parametarpmidnije dopušten u klasijournal
• Parametartypenije dopušten u klasijournal
• Parametardatenije dopušten u klasijournal - ↑ Diseases, Special Programme for Research & Training in Tropical (2006.) Diagnostics for tuberculosis: global demand and market potential. http://books.google.ca/books?id=CFPpcCef4yQC&pg=PA36.
- ↑ • Nepoznat parametar:
coauthors
• Nepoznat parametar:pmc
• Nepoznat parametar:issue
• Parametarpmidnije dopušten u klasijournal
• Parametartypenije dopušten u klasijournal
• Parametardatenije dopušten u klasijournal - ↑ • Nepoznat parametar:
issue
• Parametarpmidnije dopušten u klasijournal
• Parametartypenije dopušten u klasijournal - ↑ • Nepoznat parametar:
pmc
• Nepoznat parametar:issue
• Parametarpmidnije dopušten u klasijournal
• Parametartypenije dopušten u klasijournal - ↑ Jindal, editor-in-chief SK. http://books.google.ca/books?id=rAT1bdnDakAC&pg=PA544.
- ↑ • Nepoznat parametar:
coauthors
• Nepoznat parametar:issue
• Parametarpmidnije dopušten u klasijournal
• Parametartypenije dopušten u klasijournal
• Parametardatenije dopušten u klasijournal - ↑ • Nepoznat parametar:
pmc
• Nepoznat parametar:issue
• Parametarpmidnije dopušten u klasijournal
• Parametartypenije dopušten u klasijournal
• Parametardatenije dopušten u klasijournal - ↑ • Parametar
accessdatenije dopušten u klasiweb - ↑ • Nepoznat parametar:
month
• Parametaraccessdatenije dopušten u klasiweb - ↑ 67,0 67,1 • Nepoznat parametar:
pmc
• Nepoznat parametar:coauthors
• Nepoznat parametar:issue
• Parametarpmidnije dopušten u klasijournal
• Parametartypenije dopušten u klasijournal
• Parametardatenije dopušten u klasijournal - ↑ • Parametar
accessdatenije dopušten u klasiweb - ↑ Warrell, ed. by D. J. Weatherall ... [4. + 5. ed.] ed. by David A. (2005) Sections 1 - 10. http://books.google.ca/books?id=EhjX517cGVsC&pg=PA560.
- ↑ • Parametar
pmidnije dopušten u klasijournal
• Parametartypenije dopušten u klasijournal - ↑ 71,0 71,1 • Nepoznat parametar:
coauthors
• Parametarpmidnije dopušten u klasijournal
• Parametartypenije dopušten u klasijournal
• Parametardatenije dopušten u klasijournal - ↑ Arch G., III Mainous (2010.) Management of Antimicrobials in Infectious Diseases: Impact of Antibiotic Resistance. http://books.google.ca/books?id=hwVFAPLYznsC&pg=PA69.
- ↑ • Nepoznat parametar:
issue
• Parametarpmidnije dopušten u klasijournal
• Parametartypenije dopušten u klasijournal - ↑ • Nepoznat parametar:
coauthors
• Nepoznat parametar:issue
• Parametarpmidnije dopušten u klasijournal
• Parametartypenije dopušten u klasijournal
• Parametardatenije dopušten u klasijournal - ↑ • Nepoznat parametar:
issue
• Parametarpmidnije dopušten u klasijournal
• Parametartypenije dopušten u klasijournal - ↑ • Nepoznat parametar:
issue
• Parametarpmidnije dopušten u klasijournal
• Parametartypenije dopušten u klasijournal
• Parametarurlnije dopušten u klasijournal - ↑ • Parametar
accessdatenije dopušten u klasiweb - ↑ • Parametar
accessdatenije dopušten u klasiweb - ↑ • Nepoznat parametar:
first6
• Nepoznat parametar:issue
• Nepoznat parametar:last6
• Nepoznat parametar:author-separator
• Nepoznat parametar:display-authors
• Parametarpmidnije dopušten u klasijournal
• Parametartypenije dopušten u klasijournal
• Parametarpagenije dopušten u klasijournal - ↑ • Nepoznat parametar:
coauthors
• Nepoznat parametar:issue
• Parametarpmidnije dopušten u klasijournal
• Parametartypenije dopušten u klasijournal
• Parametardatenije dopušten u klasijournal - ↑
• Nepoznat parametar:
chapterurl
• Parametarchapternije dopušten u klasibook
• Parametaraccessdatenije dopušten u klasibook - ↑ • Parametar
accessdatenije dopušten u klasiweb - ↑ 83,0 83,1 83,2 • Parametar
accessdatenije dopušten u klasiweb - ↑ • Parametar
accessdatenije dopušten u klasiweb - ↑ • Nepoznat parametar:
coauthors
• Nepoznat parametar:issue
• Parametarpmidnije dopušten u klasijournal
• Parametartypenije dopušten u klasijournal
• Parametardatenije dopušten u klasijournal - ↑ Quah, Stella R.; Carrin, Guy; Buse, Kent; Kristian Heggenhougen (2009.) Health Systems Policy, Finance, and Organization. http://books.google.ca/books?id=IEXUrc0tr1wC&pg=PA424.
- ↑ Anne-Emanuelle Birn (2009.) Textbook of International Health: Global Health in a Dynamic World. http://books.google.ca/books?id=2XBB4-eYGZIC&pg=PT261.
- ↑ • Parametar
formatnije dopušten u klasiweb
• Parametaraccessdatenije dopušten u klasiweb - ↑ • Parametar
accessdatenije dopušten u klasiweb - ↑ • Nepoznat parametar:
last8
• Nepoznat parametar:first8
• Nepoznat parametar:first6
• Nepoznat parametar:issue
• Nepoznat parametar:author-separator
• Nepoznat parametar:first9
• Nepoznat parametar:display-authors
• Nepoznat parametar:month
• Nepoznat parametar:last7
• Nepoznat parametar:last6
• Nepoznat parametar:first7
• Nepoznat parametar:last9
• Parametarurlnije dopušten u klasijournal
• Parametartypenije dopušten u klasijournal
• Parametarpmidnije dopušten u klasijournal - ↑ • Nepoznat parametar:
issue
• Parametarpmidnije dopušten u klasijournal
• Parametartypenije dopušten u klasijournal - ↑ • Nepoznat parametar:
coauthors
• Nepoznat parametar:issue
• Parametarpmidnije dopušten u klasijournal
• Parametartypenije dopušten u klasijournal
• Parametardatenije dopušten u klasijournal - ↑ • Nepoznat parametar:
pmc
• Nepoznat parametar:issue
• Parametarpmidnije dopušten u klasijournal
• Parametartypenije dopušten u klasijournal - ↑ http://books.google.ca/books?id=pz2ORay2HWoC&pg=RA1-PA352.
- ↑ Hippocrates.Aphorisms., pristupljeno 7. rujna 2006.
- ↑ • Nepoznat parametar:
pmc
• Nepoznat parametar:issue
• Parametarpmidnije dopušten u klasijournal
• Parametartypenije dopušten u klasijournal - ↑ • Nepoznat parametar:
issn
• Nepoznat parametar:issue
• Nepoznat parametar:month
• Nepoznat parametar:coauthors
• Parametarpmidnije dopušten u klasijournal
• Parametartypenije dopušten u klasijournal
• Parametarurlnije dopušten u klasijournal
• Parametarformatnije dopušten u klasijournal - ↑ Léon Charles Albert Calmette na Who Named It
- ↑ • Nepoznat parametar:
month
• Nepoznat parametar:pmc
• Nepoznat parametar:issue
• Parametarpmidnije dopušten u klasijournal
• Parametartypenije dopušten u klasijournal - ↑ Zur Pathogenie der Impetigines. Auszug aus einer brieflichen Mitteilung an den Herausgeber. [Müller’s] Archiv für Anatomie, Physiologie und wissenschaftliche Medicin. 1839., str. 82.
- ↑ Kentucky: Mammoth Cave long on history. CNN. 27. veljače 2004. Pristupljeno 8. rujna 2006.
- ↑ 102,0 102,1 102,2 • Nepoznat parametar:
month
• Nepoznat parametar:pmc
• Nepoznat parametar:issue
• Parametarpmidnije dopušten u klasijournal
• Parametartypenije dopušten u klasijournal
• Parametarurlnije dopušten u klasijournal - ↑ Nobel Foundation. The Nobel Prize in Physiology or Medicine 1905., pristupljeno 7. rujna 2006.
- ↑ • Nepoznat parametar:
month
• Nepoznat parametar:pmc
• Nepoznat parametar:issue
• Parametarpmidnije dopušten u klasijournal
• Parametartypenije dopušten u klasijournal - ↑ • Nepoznat parametar:
issue
• Parametarpmidnije dopušten u klasijournal
• Parametartypenije dopušten u klasijournal - ↑ • Nepoznat parametar:
issue
• Parametarpmidnije dopušten u klasijournal
• Parametartypenije dopušten u klasijournal - ↑ Bloom, editor, Barry R. (1994) Tuberculosis : pathogenesis, protection, and control.
- ↑ Persson, Sheryl (2010) Smallpox, Syphilis and Salvation: Medical Breakthroughs That Changed the World. http://books.google.ca/books?id=-W7ch1d6JOoC&pg=PA141.
- ↑ editor, Caroline Hannaway, (2008.) Biomedicine in the twentieth century: practices, policies, and politics. http://books.google.ca/books?id=o5HBxyg5APIC&pg=PA233.
- ↑ Shields, Thomas (2009.) General thoracic surgery. http://books.google.ca/books?id=bVEEHmpU-1wC&pg=PA792.
- ↑ • Nepoznat parametar:
month
• Nepoznat parametar:issue
• Parametarpmidnije dopušten u klasijournal
• Parametartypenije dopušten u klasijournal
• Parametarurlnije dopušten u klasijournal - ↑ • Parametar
accessdatenije dopušten u klasiweb - ↑ • Nepoznat parametar:
coauthors
• Nepoznat parametar:issue
• Parametarpmidnije dopušten u klasijournal
• Parametartypenije dopušten u klasijournal
• Parametardatenije dopušten u klasijournal - ↑ • Parametar
typenije dopušten u klasinews
• Parametartitlenije dopušten u klasinews
• Parametardatenije dopušten u klasinews
• Parametarurlnije dopušten u klasinews
• Parametarworknije dopušten u klasinews - ↑ • Nepoznat parametar:
coauthors
• Nepoznat parametar:pmc
• Nepoznat parametar:issue
• Parametarpmidnije dopušten u klasijournal
• Parametartypenije dopušten u klasijournal
• Parametardatenije dopušten u klasijournal - ↑ • Nepoznat parametar:
issue
• Parametartypenije dopušten u klasijournal
• Parametarurlnije dopušten u klasijournal - ↑ • Nepoznat parametar:
issue
• Parametarpmidnije dopušten u klasijournal
• Parametartypenije dopušten u klasijournal
• Parametardatenije dopušten u klasijournal - ↑ 118,0 118,1 118,2 • Nepoznat parametar:
coauthors
• Parametarpmidnije dopušten u klasijournal
• Parametartypenije dopušten u klasijournal
• Parametardatenije dopušten u klasijournal - ↑ • Nepoznat parametar:
issue
• Parametarpmidnije dopušten u klasijournal
• Parametartypenije dopušten u klasijournal - ↑ • Nepoznat parametar:
issue
• Parametarpmidnije dopušten u klasijournal
• Parametartypenije dopušten u klasijournal - ↑ • Nepoznat parametar:
issue
• Parametartypenije dopušten u klasijournal
• Parametarurlnije dopušten u klasijournal - ↑ • Nepoznat parametar:
issue
• Parametartypenije dopušten u klasijournal
• Parametarurlnije dopušten u klasijournal - ↑
• Nepoznat parametar:
coauthors - ↑ Jong, [edited by] Jane N. Zuckerman, Elaine C. (2010) Travelers' vaccines. http://books.google.ca/books?id=BKRpWFEy66wC&pg=PA319.
- ↑ Gates Foundation Commits $82.9 Million to Develop New Tuberculosis Vaccines. 12. veljače 2004 1.
- ↑ Gates foundation gives US$280 million to fight TB. 19. rujna 2007 1.
- ↑ • Nepoznat parametar:
coauthors
• Nepoznat parametar:issue
• Parametarpmidnije dopušten u klasijournal
• Parametartypenije dopušten u klasijournal
• Parametardatenije dopušten u klasijournal - ↑ • Nepoznat parametar:
coauthors
• Nepoznat parametar:issue
• Parametarpmidnije dopušten u klasijournal
• Parametartypenije dopušten u klasijournal
• Parametardatenije dopušten u klasijournal - ↑ • Nepoznat parametar:
issue
• Parametarpmidnije dopušten u klasijournal
• Parametartypenije dopušten u klasijournal
• Parametardatenije dopušten u klasijournal - ↑ Wobeser, Gary A. (2006.) Essentials of disease in wild animals. http://books.google.ca/books?id=JgyS6fxVasYC&pg=PA170.
- ↑ • Nepoznat parametar:
coauthors
• Nepoznat parametar:issue
• Parametarpmidnije dopušten u klasijournal
• Parametartypenije dopušten u klasijournal
• Parametardatenije dopušten u klasijournal - ↑ • Nepoznat parametar:
coauthors
• Nepoznat parametar:issue
• Parametarpmidnije dopušten u klasijournal
• Parametartypenije dopušten u klasijournal
• Parametardatenije dopušten u klasijournal - ↑ • Nepoznat parametar:
coauthors
• Nepoznat parametar:issue
• Parametarpmidnije dopušten u klasijournal
• Parametartypenije dopušten u klasijournal
• Parametardatenije dopušten u klasijournal
Vanjske poveznice
Sestrinski projekti
| U Wikimedijinu spremniku nalazi se još gradiva na temu: Tuberkuloza |
Mrežna sjedišta
- (hrv.) Tuberkuloza - opći podaci, patogeneza, patologija, klinička slika, dijagnosticiranje, liječenje
| Molimo pročitajte upozorenje o korištenju medicinskih informacija. Ne provodite liječenje bez konzultiranja liječnika! |