More actions
m Bot: Automatska zamjena teksta (-{{Cite web +{{Citiranje weba) |
m Bot: Automatska zamjena teksta (-{{cite book +{{Citiranje knjige) |
||
| Redak 1: | Redak 1: | ||
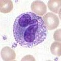
<!--'''Leukociti'''-->[[Datoteka:Red White Blood cells.jpg|mini|[[Eritrocit]]i (lijevo) i '''leukociti''' (desno)]] | <!--'''Leukociti'''-->[[Datoteka:Red White Blood cells.jpg|mini|[[Eritrocit]]i (lijevo) i '''leukociti''' (desno)]] | ||
[[Leukociti]] (''[[grčki jezik|grč.]]'' λευκός, leukós - bijeli + κύτος, kýtos - stanica, šupljina) ili '''bijele krvne stanice''' su krvne stanice imunološkog sustava čija je osnovna uloga zaštita organizma od mikroorganizama ([[bakterija]], [[virus]]a, [[gljivica]] i [[parazit]]a) te stranih tijela koji prijeđu prirodne barijere [[koža|kože]] i [[sluzokoža|sluzokože]]. Postoji pet osnovnih vrsta leukocita koji se razlikuju prema izgledu, zastupljenosti, mjestu nastanka i funkciji<ref name="isbn978-0-323-04950-4">{{ | [[Leukociti]] (''[[grčki jezik|grč.]]'' λευκός, leukós - bijeli + κύτος, kýtos - stanica, šupljina) ili '''bijele krvne stanice''' su krvne stanice imunološkog sustava čija je osnovna uloga zaštita organizma od mikroorganizama ([[bakterija]], [[virus]]a, [[gljivica]] i [[parazit]]a) te stranih tijela koji prijeđu prirodne barijere [[koža|kože]] i [[sluzokoža|sluzokože]]. Postoji pet osnovnih vrsta leukocita koji se razlikuju prema izgledu, zastupljenosti, mjestu nastanka i funkciji<ref name="isbn978-0-323-04950-4">{{Citiranje knjige |author=LaFleur-Brooks, M. |title=Exploring Medical Language: A Student-Directed Approach, 7. izdanje |publisher=izdavač: Mosby Elsevier |location=St. Louis, Missouri, USA |year=2008. |pages=398 |isbn=978-0-323-04950-4 |oclc= |doi=}}</ref>. | ||
Životni vijek leukocita je u prosjeku 3 do 5 dana, a nastaju u [[Koštana srž|koštanoj srži]] i [[limfni čvorovi|limfnim čvorovima]] i [[prsna žlijezda|prsnoj žlijezdi]]. Promjer im se kreće od 8 do 12 [[mikrometar]]a<ref>{{ | Životni vijek leukocita je u prosjeku 3 do 5 dana, a nastaju u [[Koštana srž|koštanoj srži]] i [[limfni čvorovi|limfnim čvorovima]] i [[prsna žlijezda|prsnoj žlijezdi]]. Promjer im se kreće od 8 do 12 [[mikrometar]]a<ref>{{Citiranje knjige | author = Maton, D., Hopkins, J., McLaughlin, Ch. W., Johnson, S., Warner, M. Q., LaHart, D., & Wright, J. D., Deep V. Kulkarni | authorlink = | title = Human Biology and Health | publisher = Prentice Hall | date = 1000008 | location = Englewood Cliffs, New Jersey, USA | pages = | url = | doi = | id = | isbn = 0-13-981176-1}}</ref>, a njihov je broj od 4 do 9x10<sup>9</sup> u litri [[krv]]i<ref name="alberts table">{{Citiranje weba|url=http://www.ncbi.nlm.nih.gov/books/bv.fcgi?highlight=leukocyte,functions&rid=mboc4.table.4143|title=Leukocyte functions and percentage breakdown|accessdate=14. travnja 2007.|publisher=NCBI Bookshelf|year=2005.|author=Alberts, B.|work=Molecular Biology of the Cell}}</ref>. Broj leuocita može varirati tijekom različitih fizioloških uvjeta i starenjem. | ||
| Redak 19: | Redak 19: | ||
{|class="wikitable" | {|class="wikitable" | ||
! vrsta !! izgled pod mikroskopom !! skica !! postotak <br/>kod odraslog čovjeka<br><sup> !! promjer ([[mikrometar|μm]])<ref name="isbn0-443-01657-7">{{ | ! vrsta !! izgled pod mikroskopom !! skica !! postotak <br/>kod odraslog čovjeka<br><sup> !! promjer ([[mikrometar|μm]])<ref name="isbn0-443-01657-7">{{Citiranje knjige |author=Daniels, V. G., Wheater, P. R., & Burkitt, H. G. |title=Functional histology: A text and colour atlas |publisher=Churchill Livingstone |location=Edinburgh |year=1979. |pages= |isbn=0-443-01657-7 |oclc= |doi=}}</ref> !! funkcija<ref name="alberts table"/> !! jezgra<ref name="alberts table"/> !! zrnca<ref name="alberts table"/> !! životni vijek<ref name="isbn0-443-01657-7"/> | ||
|- | |- | ||
| [[neutrofilni granulocit]] | | [[neutrofilni granulocit]] | ||
Inačica od 17. studeni 2021. u 06:08

Leukociti (grč. λευκός, leukós - bijeli + κύτος, kýtos - stanica, šupljina) ili bijele krvne stanice su krvne stanice imunološkog sustava čija je osnovna uloga zaštita organizma od mikroorganizama (bakterija, virusa, gljivica i parazita) te stranih tijela koji prijeđu prirodne barijere kože i sluzokože. Postoji pet osnovnih vrsta leukocita koji se razlikuju prema izgledu, zastupljenosti, mjestu nastanka i funkciji[1].
Životni vijek leukocita je u prosjeku 3 do 5 dana, a nastaju u koštanoj srži i limfnim čvorovima i prsnoj žlijezdi. Promjer im se kreće od 8 do 12 mikrometara[2], a njihov je broj od 4 do 9x109 u litri krvi[3]. Broj leuocita može varirati tijekom različitih fizioloških uvjeta i starenjem.
Kemijska i fizikalna svojstva
Leukociti sadrže oko 80% vode, velike količine glikogena koji služi kao izvor energije, nukleoproteida, histamin i heparin. Od fizičkih osobina najvažnije je ameboidno kretanje kojim leukociti procesom kemotaksije prelaze iz krvi u tkiva.
Građa
Oblik leukocita se razlikuje ovisno o vrsti. Svi su leukociti periferne krvi okruglog oblika. Osnovna karakteristika nekih vrsta leukocita je prisutnost specifičnih zrnaca ili granula u citoplazmi koje se boje kiselim i bazičnim bojama u optičkoj mikroskopiji, a ima i neutralnih granula. Na osnovi prisutnosti granula, leukociti se dijele na granulocite i agranulocite[4][5].
- Granulociti ili polimorfonuklearni leukociti sadrže zrnca koje se u optičkoj mikroskopiji mogu vidjeti kao obojana tjelešca u citoplazmi. Obojana zrnca sadrže niz enzima i drugih tvari s antimikrobijskim djelovanjem i imaju ulogu uništenja i razgradnje mikroorganizama koje bijela krvna stanica unese u citoplazmu procesom fagocitoze. Postoje tri vrste granulocita, neutrofilni, eozinofilni i bazofilni granulociti, koji su dobili ime po vrsti boje na koju reagiraju.
- Agranulociti ili mononuklearni leukociti su bijele krvne stanice koje pod optičkim mikroskopom prividno ne sadrže obojana zrnca u citoplazmi. U ovu skupinu spadaju limfociti, monociti i makrofagi.
Vrste leukocita
| vrsta | izgled pod mikroskopom | skica | postotak kod odraslog čovjeka |
promjer (μm)[6] | funkcija[3] | jezgra[3] | zrnca[3] | životni vijek[6] |
|---|---|---|---|---|---|---|---|---|
| neutrofilni granulocit | 62% | 10–12 | više režnjeva | blijedo ružičasta (hematoksilinsko - eozinsko bojenje) | 6 sati – nekoliko dana | |||
| eozinofilni granulocit | 2.3% | 10–12 |
|
dva režnja | crveno - narančasta (hematoksilin - eozin) | 8–12 dana (u krvotoku 4 – 5 sati) | ||
| bazofilni granulocit | 0.4% | 12–15 | dva ili tri režnja | tamno plava | od nekoliko sati do nekoliko dana | |||
| limfocit | 30% | 7–8 |
|
intenzivno obojena, decentrirana | prisutna u NK limfocitima i citotoksičnim (CD8+) T limfocitima | godinama za stanice imunološke memorije, nekoliko tjedana za ostale limfocite. | ||
| Monocit | 5.3% | 7.72–9.99[7] | Monociti migriraju iz krvotoka u tkiva i diferenciraju se u fiksne ili tkivne makrofage. | oblika bubrega | nema | nekoliko sati do nekoliko dana | ||
| Makrofag | oko 21 ponekad do 60–80 | Nastaje aktivacijom monocita. Fagocitoza i razgradnja staničnih ostataka i različitih patogena, stimuliranje limfocita i ostalih stanica imunološkog sustava koje reagiraju na patogen. | nakon aktivacije: nekoliko dana neaktiviran: nekoliko mjeseci do nekoliko godina | |||||
| Dendritička stanica | Potječe i iz limfoidne i mijeloidne linije. Osnovna im je funkcija prezentacija antigena koji aktiviraju T limfocite. | slična makrofagu. |
Stvaranje leukocita
Životni vijek leukocita je različit, ovisno o vrsti u koju spadaju. Neki leukociti koji nastaju u koštanoj srži ostaju tamo pohranjeni dok za njima ne nastane potreba. Npr. granulociti nakon što dospiju u krv žive još oko 5 dana. Glavna zadaća leukocita je obrana organizma od stranih, opasnih napadača. To su prvenstveno mikroorganizmi, ali i drugi štetni čimbenici.
Granulociti se stvaraju u jetri kod ploda, a kod djece i zdravih osoba u koštanoj srži, limfociti se stvaraju uglavnom u slezeni i limfnim čvorovima, a monociti se stvaraju u koštanoj srži.
Literatura
- ↑ Lua error in Modul:Citation/CS1 at line 4096: data for mw.loadData contains unsupported data type 'function'.
- ↑ Lua error in Modul:Citation/CS1 at line 4096: data for mw.loadData contains unsupported data type 'function'.
- ↑ 3,0 3,1 3,2 3,3 Alberts, B. (2005.). "Leukocyte functions and percentage breakdown". Molecular Biology of the Cell. NCBI Bookshelf. http://www.ncbi.nlm.nih.gov/books/bv.fcgi?highlight=leukocyte,functions&rid=mboc4.table.4143 Pristupljeno 14. travnja 2007.
- ↑ Lua error in Modul:Citation/CS1 at line 4096: data for mw.loadData contains unsupported data type 'function'.
- ↑ http://www.wisc-online.com/objects/index_tj.asp?objID=AP14704
- ↑ 6,0 6,1 Lua error in Modul:Citation/CS1 at line 4096: data for mw.loadData contains unsupported data type 'function'.
- ↑ Worthen, G. S., Downey, G. P.; Henson, P. M., Doherty, D. E.; Schwab b, 3rd; Elson, EL; Henson, PM; Worthen, GS (1990.). "Retention of leukocytes in capillaries: role of cell size and deformability". Applied Physiology svezak 69 (broj 5): str. 1767.–1778.. PMID 2272970