Giht: razlika između inačica
Bot: Automatski unos stranica |
m Bot: Automatska zamjena teksta (-{{cite book +{{Citiranje knjige) |
||
| Redak 48: | Redak 48: | ||
===Lijekovi=== | ===Lijekovi=== | ||
[[Diuretici]] utječu na napade gihta, pogoršavajući simptomatologiju. Usprkos tome, čini se da mala doza [[hidroklorotiazid]]a ne povećava rizik.<ref name=CFP09/> Drugi lijekovi povezani s pojavom gihta uključuju [[niacin]] i [[aspirin]] (acetylsalicilna kiselina).<ref name=Nature2009/> Ostali lijekovi koji mogu pogoršati simptomatologiju gihta su [[imunosupresivi]] [[ciklosporin]] pogotovo ako je u kombinacinji s hidroklorotiazidom<ref>{{ | [[Diuretici]] utječu na napade gihta, pogoršavajući simptomatologiju. Usprkos tome, čini se da mala doza [[hidroklorotiazid]]a ne povećava rizik.<ref name=CFP09/> Drugi lijekovi povezani s pojavom gihta uključuju [[niacin]] i [[aspirin]] (acetylsalicilna kiselina).<ref name=Nature2009/> Ostali lijekovi koji mogu pogoršati simptomatologiju gihta su [[imunosupresivi]] [[ciklosporin]] pogotovo ako je u kombinacinji s hidroklorotiazidom<ref>{{Citiranje knjige |editor1-first=Gary S. |editor1-last=Firestein, MD |editor2-first=Ralph C.|editor2-last=Budd, MD |editor3-first=Edward D. |editor3-last=Harris Jr., MD |editor4-first= Iain B.|editor4-last=McInnes PhD, FRCP |editor5-last=Ruddy, MD |editor6-last=Sergent, MD |title=KELLEY'S Textbook of Rheumatology |edition=8. izdanje |year=2008. |publisher=izdavač: Elsevier |isbn=978-1-4160-4842-8 |chapter=poglavlje 87: Gout and Hyperuricemia |editor-first=Shaun |editor3-given=John S.}}</ref> i [[tacrolimus]]<ref name=Lancet2010/>. | ||
==Patofiziologija== | ==Patofiziologija== | ||
| Redak 104: | Redak 104: | ||
Više je lijekova korisno u prevenciji novih napadaja gihta, uključujući [[inhibitor ksantin oksidaze]]([[alopurinol]] i [[febuksostat]] i dr.) te [[urikozurici|urikozurike]] (uključujući [[probenecid]] i [[sulfinpirazon]]). Njihova primjena obično ne počinje do tjedan ili dva poslije smirenja aktunog napadaja, zbog teoretskih mogućnosti pogoršanja akutnog napadaja,<ref name=Review08/> te se često koriste u kombinaciji s nesteroidnim antiupalnim lijekovima ili kolhicinom kroz prvih tri do šest mjeseci.<ref name=Lancet2010/> Nisu preporučeni prije nego je osoba imala barem dva napadaja gihta,<ref name=Review08/> osim u slučaju postojanja destruktivnih promjena na zglobovima, tofa, ili akutne [[uratna nefropatija|uratne nefropatije]],<ref name=German09>{{cite journal |author=Tausche AK, Jansen TL, Schröder HE, Bornstein SR, Aringer M, Müller-Ladner U |title=Gout--current diagnosis and treatment |journal=Dtsch Arztebl Int |volume=svezak 106 |issue=broj 34.–35.|pages=str. 549.–555. |year=2009. |month=kolovoz |pmid=19795010 |pmc=2754667 |doi=10.3238/arztebl.2009.0549 }}</ref> jer se lijekovi nisu pokazali učinkovitima prije toga.<ref name=Review08/> Mjere snižavanja razine mokraćne kiseline treba postpuno pojačavati sve dok serumska razina mokraćne kiseline ne padne ispod 300–360 µmol/l (5.0-6.0 mg/dl), i zatim se nastavljaju do unedogled.<ref name=Review08/><ref name=Lancet2010/> Ukoliko su ovi lijekovi u kroničnoj upotrebi za vrijeme napadaja, preporuča se prekid uzimanja<ref name=PM2010/>, a ukoliko nije moguće sniziti razinu [[mokraćna kiselina|mokraćne kiseline]] ispod 6.0 mg/dl te se ponavljano javljaju napadaji, to ukazuje na neučinkovitost liječenja ili refraktarni giht.<ref>{{cite journal|last=Ali|first=S|coauthors=Lally, EV|title=Treatment failure gout.|journal=Medicine and health, Rhode Island|date=studeni 2009.|volume=svezak 92|issue=broj 11|pages=str. 369.-371.|pmid=19999896}}</ref> Ukupno gledajući, probenecid se čini manje učinkovitim nego alopurinol.<ref name=Review08/> | Više je lijekova korisno u prevenciji novih napadaja gihta, uključujući [[inhibitor ksantin oksidaze]]([[alopurinol]] i [[febuksostat]] i dr.) te [[urikozurici|urikozurike]] (uključujući [[probenecid]] i [[sulfinpirazon]]). Njihova primjena obično ne počinje do tjedan ili dva poslije smirenja aktunog napadaja, zbog teoretskih mogućnosti pogoršanja akutnog napadaja,<ref name=Review08/> te se često koriste u kombinaciji s nesteroidnim antiupalnim lijekovima ili kolhicinom kroz prvih tri do šest mjeseci.<ref name=Lancet2010/> Nisu preporučeni prije nego je osoba imala barem dva napadaja gihta,<ref name=Review08/> osim u slučaju postojanja destruktivnih promjena na zglobovima, tofa, ili akutne [[uratna nefropatija|uratne nefropatije]],<ref name=German09>{{cite journal |author=Tausche AK, Jansen TL, Schröder HE, Bornstein SR, Aringer M, Müller-Ladner U |title=Gout--current diagnosis and treatment |journal=Dtsch Arztebl Int |volume=svezak 106 |issue=broj 34.–35.|pages=str. 549.–555. |year=2009. |month=kolovoz |pmid=19795010 |pmc=2754667 |doi=10.3238/arztebl.2009.0549 }}</ref> jer se lijekovi nisu pokazali učinkovitima prije toga.<ref name=Review08/> Mjere snižavanja razine mokraćne kiseline treba postpuno pojačavati sve dok serumska razina mokraćne kiseline ne padne ispod 300–360 µmol/l (5.0-6.0 mg/dl), i zatim se nastavljaju do unedogled.<ref name=Review08/><ref name=Lancet2010/> Ukoliko su ovi lijekovi u kroničnoj upotrebi za vrijeme napadaja, preporuča se prekid uzimanja<ref name=PM2010/>, a ukoliko nije moguće sniziti razinu [[mokraćna kiselina|mokraćne kiseline]] ispod 6.0 mg/dl te se ponavljano javljaju napadaji, to ukazuje na neučinkovitost liječenja ili refraktarni giht.<ref>{{cite journal|last=Ali|first=S|coauthors=Lally, EV|title=Treatment failure gout.|journal=Medicine and health, Rhode Island|date=studeni 2009.|volume=svezak 92|issue=broj 11|pages=str. 369.-371.|pmid=19999896}}</ref> Ukupno gledajući, probenecid se čini manje učinkovitim nego alopurinol.<ref name=Review08/> | ||
[[Urikozurici]] su lijekovi preferirani u slučaju smanjenog izlučivanja mokraćne kiseline, definiranog razinom mokraćne kiseline manjom od 800 mg u 24-satnom uzorku [[urin]]a.<ref name=agabegi2nd251>{{ | [[Urikozurici]] su lijekovi preferirani u slučaju smanjenog izlučivanja mokraćne kiseline, definiranog razinom mokraćne kiseline manjom od 800 mg u 24-satnom uzorku [[urin]]a.<ref name=agabegi2nd251>{{Citiranje knjige|author=Elizabeth D Agabegi; Agabegi, Steven S. |title=Step-Up to Medicine (Step-Up Series) |publisher=Lippincott Williams & Wilkins |location=Hagerstwon, MD |year=2008. |pages=str. 251. |isbn=0-7817-7153-6 |oclc= |url=http://books.google.ca/books?id=y13wgJyQwkEC&pg=PA251}}</ref> Ipak, oni nisu preporučeni u slučaju povijesti [[bubrežni kamenac|bubrežnih kamenaca]].<ref name=agabegi2nd251/> U slučaju 24-satne ekskrecije u urinu veće od 800 mg, što ukazuje na povećanu produkciju mokraćne kiseline, preferira se [[inhibitor ksantin oksidaze]].<ref name=agabegi2nd251/> | ||
Inhibitori ksantin oksidaze (uključujući alopurinol i [[febuksostat]]) sprječavaju stvaranje mokraćne kiseline, dugoročna je terapija sigurna i dobro podnošljiva, te se mogu koristiti u ljudi sa [[bubrežna insuficijencija|zatajenjem bubrega]] ili [[bubrežni kamenac|bubrežnim kamencima]], iako alopurinol može uzrokovati preosjetljivost u malom broju ljudi.<ref name=Review08/> U tom slučaju, preporuča se alternativni lijek, febuksostat.<ref>{{cite web|url=http://guidance.nice.org.uk/TA164/Guidance/Considerations_1 |title=Febuxostat for the management of hyperuricaemia in people with gout (TA164) Chapter 4. Consideration of the evidence |publisher=Guidance.nice.org.uk|date= |accessdate=20. kolovoza 2011.}}</ref> | Inhibitori ksantin oksidaze (uključujući alopurinol i [[febuksostat]]) sprječavaju stvaranje mokraćne kiseline, dugoročna je terapija sigurna i dobro podnošljiva, te se mogu koristiti u ljudi sa [[bubrežna insuficijencija|zatajenjem bubrega]] ili [[bubrežni kamenac|bubrežnim kamencima]], iako alopurinol može uzrokovati preosjetljivost u malom broju ljudi.<ref name=Review08/> U tom slučaju, preporuča se alternativni lijek, febuksostat.<ref>{{cite web|url=http://guidance.nice.org.uk/TA164/Guidance/Considerations_1 |title=Febuxostat for the management of hyperuricaemia in people with gout (TA164) Chapter 4. Consideration of the evidence |publisher=Guidance.nice.org.uk|date= |accessdate=20. kolovoza 2011.}}</ref> | ||
Inačica od 17. studeni 2021. u 01:17
| Klasifikacija i vanjske poveznice | |
| MKB-10 | Script error: The function "getExternalValue" does not exist. |
| MKB-10 | Script error: The function "getExternalValue" does not exist. |
| NSK | Script error: The function "getExternalValue" does not exist. |
| PubMed | Script error: The function "getExternalValue" does not exist. (eng.) |
| MeSH | Script error: The function "getExternalValue" does not exist. (eng.) |
| Medscape | Script error: The function "getExternalValue" does not exist. (eng.) |

Giht (ponekad se koristi naziv "podagra" kada uključuje nožni palac) je bolest ili zdravstveno stanje kojeg obično obilježavaju ponavljajući napadi upalnog artritisa. Manifestira se kao crven, osjetljiv, vruć i natečen zglob. U većini slučajeva (u približno 50 % slučajeva) zahvaćen je metatarzofalangealni zglob nožnog palca. Giht je metabolička bolest, koja nastaje kao posljedica trajno visokih razina mokraćne kiseline u krvi (hiperuricemija) i taloženja kristala mononatrijevog urata u zglobovima i drugim dijelovima tijela.
Može se pojaviti i u obliku nakupina poznatih pod imenom urički tofi, u obliku bubrežnih kamenaca i uratne nefropatije. Giht izazivaju povišene razine mokraćne kiseline u krvi. Mokraćna kiselina kristalizira, a kristali se talože u zglobovima, tetivama i okolnom tkivu.
Klinička slika je jasna ako se u zglobnoj tekućini nalaze karakteristični kristali. Simptome ublažava liječenje nesteroidnim protuupalnim lijekovima, steroidima ili kolhicinom.
Jednom kad se akutni napad ublaži, razine mokraćne kiseline se smanjuju promjenama u načinu života, a kod osoba koje imaju česte napade gihta alopurinol ili probenecid pružaju dugotrajnu prevenciju.
Učestalost gihta znatno se povećala zadnjih desetljeća i pogađa 1-2 % populacije zapadnog svijeta u određenoj dobi života. Vjeruje se da je do povećanja došlo zbog sve brojnijih faktora rizika kao što su metabolički sindrom, sve dulji životni vijek čovjeka i način prehrane. U povijesti je giht bio poznat kao “bolest kraljeva” ili “bolest bogataša”.
Znaci i simptomi
Giht je prisutan u više oblika, najčešće kao ponavljajući napad akutnog upalnog artritisa (crven, osjetljiv, vruć, otečen zglob) [1]. Metatarzofalangealni zglob u bazi nožnog palca[2] je najčešće zahvaćeni dio i čini gotovo polovicu slučajeva. I drugi zglobovi kao što su pete, koljena, zapešća i prsti ruke mogu biti zahvaćeni gihtom.[2] Bolovi u zglobovima obično počinju u roku od 2-4 sata najčešće tijekom noći.[2] Razlog, zašto baš noću, leži u činjenici što je tada tjelesna temperatura niža.[3] Pored bolova u zglobovima rjeđe se mogu pojaviti i drugi simptomi kao što su umor i groznica.[2][3]
Dugotrajna povišena razina mokraćne kiseline odnosno hiperuricemija može dovesti do drugih simptoma kao što su tvrde, bezbolne nakupine kristala mokraćne kiseline poznatih pod imenom tofi. Izraženi tofi mogu dovesti do kroničnog artritisa zbog erozije kostiju.[4] Povišene razine mokraćne kiseline mogu izazvati taloženje kristala u bubrezima, što opet rezultira stvaranjem bubrežnih kamenaca i, posljedično, do akutne urične nefropatije.[5]
Uzroci
Hiperuricemija je glavni uzrok gihta. To se može desiti zbog brojnih razloga uključujući način prehrane, genetsku predispoziciju i zbog slabijeg izlučivanja urata, soli mokraćne kiseline.[1] Slabi rad bubrega i slabo izlučivanje mokraćne kiseline osnovni su uzroci 90% slučajeva hiperuricemije, dok prekomjerno izlučivanje izaziva samo 10% slučajeva.[6] Oko 10% osoba sa hiperuricemijom oboli od gihta u neko doba svog života.[7] Ipak, opasnost od obolijevanja ovisi o tome koliko je hiperuricemija uznapredovala. Kad je razina mokraćne kiseline između 415 i 530 μmol/l (7 i 8.9 mg/dl), rizik je 0.5% godišnje, dok je rizik u osoba sa razinom višom od 535 μmol/l (9 mg/dL), 4.5% godišnje.[3]
Način života
Način prehrane uzrokom je gihta u 12% slučajeva[1] i snažno je povezan s uživanjem alkohola, fruktoze, zaslađenih napitaka, te mesa i prehrambenih namirnica iz mora.[4][8] Drugi uzroci uključuju fizičke traume i operativne zahvate.[6] Nedavne studije su pokazale da faktori prehrane, za koje se nekad vjerovalo da uzrokoju giht to nisu. To se odnosi na unošenje hrane bogate purinom na primjer, graha, graška, leće, špinata i čistih bjelančevina.[9][10] Čini se da uživanje kave, vitamina C i mliječnih proizvoda, a isto tako i tjelesna aktivnost smanjuju opasnost od obolijevanja.[11][12][13] Pretpostavlja se da je to djelomično zbog toga što ovi faktori utječu na smanjenje otpornosti na inzulin.[13]
Genetski faktori
Pojava gihta uvjetovana je i genetskim nasljeđem i utječe na razinu mokraćne kiseline u oko 60% slučajeva[6]. Otkriveno je da su tri gena nazvana SLC2A9, SLC22A12 i ABCG2 povezana s njime, a varijacije unutar njih mogu čak i udvostručiti opasnost od gihta.[14][15] Mutacije koje dovode do nefunkcionalnosti gena “SLC2A9” i “SLC22A12” uzrokuju nasljednu hipouricemiju smanjenjem apsorpcije urata i njihovim nesmetanim izlučivanjem.[15] Giht nadalje dovodi do komplikacija u nekoliko rijetkih genetskih poremećaja kao što su nasljedna juvenilna hiperurikemična nefropatija, cistična bolest bubrega, hiperaktivnost fosforibozilpirofosfatne sintetaze i deficit hipoksantin-guanin fosforiboziltransferaze, koja se očituje u Lesch-Nyhanovom sindromu[6]
Ostale bolesti
Giht se obično pojavljuje u kombinaciji s drugim zdravstvenim problemima. U gotovo 75 % slučajeva[2] radi se o metaboličkom sindromu, kombinaciji abdominalne pretilosti, hipertenzije, otpornosti na inzulin i dislipidemije ili nenormalne razine lipida. Druga stanja koja općenito pogoršavaju simptome gihta uključuju: policitemiju, otrovanje olovom, bubrežno zatajenje, hemolitičku anemiju, psorijazu i transplantacije organa[6][16] U slučaju rasta indeksa tjelesne mase kod muškaraca do 35 ili više, trostruko se povećava opasnost oboljenja od gihta.[10] Kronična izloženost olovu i alkoholu kontaminiranom olovom također spadaju u rizične faktore jer olovo ima štetno djelovanje na funkcije bubrega.[17] Lesch-Nyhanov sindrom je često povezan s uričnim artritisom.
Lijekovi
Diuretici utječu na napade gihta, pogoršavajući simptomatologiju. Usprkos tome, čini se da mala doza hidroklorotiazida ne povećava rizik.[18] Drugi lijekovi povezani s pojavom gihta uključuju niacin i aspirin (acetylsalicilna kiselina).[4] Ostali lijekovi koji mogu pogoršati simptomatologiju gihta su imunosupresivi ciklosporin pogotovo ako je u kombinacinji s hidroklorotiazidom[19] i tacrolimus[6].
Patofiziologija

Giht je poremećaj metabolizma purina,[6] i javlja se kad se njegov konačni produkt, mokraćna kiselina kristalizira u obliku mononatrijevog urata, te se taloži u zglobovima, tetivama i okolnom tkivu.[4] Ovi kristali potom izazivaju lokalnu imunsko potpomognutu upalnu reakciju.[4] Pri tome je interleukin 1β jedna od ključnih bjelančevina u upalnom lancu.[6] Čovjek i viši primati su tijekom evolucije izgubili enzim urikazu, koja razgrađuje mokraćnu kiselinu i upravo je to razlog da je giht postao relativno čest.[6]
Nije potpuno jasno što izaziva taloženje mokraćne kiseline. Iako može kristaliziati pri svojim normalnim vrijednostima, vjerojatije je da će se to desiti kad se njena koncentracija u krvi poveća.[4][20] Drugi čimbenici za koje se vjeruje da igraju važnu ulogu pri akutnom napadu uratnog artritisa uključuju niske temperature, nagle promjene u razini mokraćne kiseline, acidozu[21][22] hidrataciju zglobova i bjelančevina izvanstaničnog matriksa kao što su proteoglikani, kolageni i kondroitin sulfat.[6] Povećano taloženje na niskim temperaturama djelomično objašnjava zašto su najčešće zahvaćeni zglobovi stopala.[1] Brze promjene u razinama mokraćne kiseline u krvi mogu se javiti zbog više faktora što uključuje traume, operacije, antitumoralne kemoterapije, diuretika, početak ili prekid uzimanja allopurinola.[3] Blokatori kalcijevih kanala i losartan povezuju se s nižom opasnošću od pojave gihta ako ih usporedimo s drugim lijekovima protiv povišenog tlaka.[23]
Dijagnosticiranje

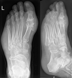
Stvaranje kristala mokraćne kiseline usko je povezano s gihtom. Giht se može dijagnosticirati i liječiti bez daljnjih pretraga ako osoba boluje od hiperuricemije i klasične podagre. Potrebno je učiniti pretragu sinovijalne tekućine, samo ako se sumnja u postavljenu dijagnozu.[3] Premda je rentgensko snimanje korisno pri dijagnosticiranju kroničnog gihta, njegova uporaba pri akutnim napadima nije od velike koristi.[6]
Sinovijalna tekućina
Konačna dijagnoza gihta temelji se na identifikaciji kristala natrijevog urata u sinovijalnoj tekućini ili tofima.[2] Ove je kristale potrebno potražiti u svim uzorcima sinovijalne tekućine uzetima iz nedijagnosticiranih upaljenih zglobova.[6] Pod polarizirajućim svjetlosnim mikroskopom, kristale je moguće prepoznati na temelju njihove specifične morfologije poput iglica, s jakim negativnim dvostrukim lomom svjetla. Ovo je komplicirani dijagnostički test, te je za njega često potreban iskusan promatrač.[24] Tekućinu je potrebno ispitati što prije nakon aspiracije, s obzirom da temperatura i pH utječu na topljivost kristala.[6]
Analiza krvi
Hiperuricemija je tipična karakteristika gihta, ali kod pola pacijenata s gihtom ona nije prisutna, a većina ljudi s povišenom razinom mokraćne kiseline nikada ne razviju giht.[2][25] Prema tome, dijagnostička važnost mjerenja razine mokraćne kiseline je ograničena.[2] Hiperuricemija je definirana kao razina urata u krvnoj plazmi veća od 420 μmol/l (7.0 mg/dl) u muškaraca, odnosno veća od 360 μmol/l (6.0 mg/dl) u žena.[26] Druge analize krvi koje se najčešće provode su broj leukocita, elektroliti, funkcija bubrega i brzina sedimentacije eritrocita (SE). Leukociti i SE mogu biti povišeni kao posljedica gihta, bez postojanja infekcije.[27][28] Dokumentiran je broj leukocita veći od 40.0×109/l (40,000/mm3).[3]
Diferencijalna dijagnoza
Najvažnija diferencijalna dijagnoza gihta je razlikovanje od septičkog artritisa.[2][6] Bitno je razmotriti tu mogućnost u onih sa znakovima infekcije, te onih čije se stanje ne popravlja s početkom liječenja.[2] Bojenje sinovijalne tekućine po Gramu i kultura stanica mogu pomoći u donošenju dijagnoze.[2] Drugi poremećaji koji se mogu slično prezentirati uključuju pseudogiht i reumatoidni artritis.[2] Uratne tofe, posebno kada se ne nalaze u zglobovima, moguće je zamijeniti s bazocelularnim karcinomom,[29] ili drugim neoplazmama.[30]
Prevencija
Promjene stila života i lijekovi mogu smanjiti razinu mokraćne kiseline. Promjene u prehrani i stilu života koje utječu na razinu mokraćne kiseline uključuju smanjen unos hrane poput mesa i morskih plodova, konzumaciju vitamina C, smanjen unos alkohola i fruktoze, te izbjegavanje pretilosti.[1] Niskokalorična dijeta u pretilih muškaraca smanjuje razinu mokraćne kiseline za 100 µmol/l (1.7 mg/dl),[18] a unos vitamina C od 1,500 mg dnevno smanjuje rizik gihta za 45%.[31] Konzumacija kave, ali ne i čaja, povezana je s nižim rizikom za razvoj gihta.[32] Giht je moguć i kao posljedica apneje u snu zbog otpuštanja purina iz stanica u manjku kisika. Liječenje apneje može smanjiti učestalost napadaja gihta.[33]
Liječenje
Početni cilj liječenja je smirenje simptoma akutnog napadaja.[34] Ponavljanje napadaja moguće je spriječiti putem drugih lijekova koji smanjuju razinu mikraćne kiseline u serumu.[34] Primjena hladnih obloga i leda kroz 20 to 30 minuta nekoliko puta dnevno smanjuje bol.[1][35] Mogućnosti liječenja kutnog napadaja uključuju nesteroidne antiupalne lijekove (NSAIDs), kolhicin i steroide,[1] a lijekovi koji sprijećavaju nove napade su alopurinol, febuksostat i probenecid. Sniženje razine mokraćne kiseline može u potpunosti izliječiti bolest.[6] Liječenje komorbiditeta je također vrlo važno.[6]
Nesteroidni protuupalni lijekovi
Nesteroidni antiupalni lijekovi su obično lijekovi prvog izbora u liječenju gihta, a niti jedan specifični lijek nije značajno više ili manje učinkovit u odnosu na druge.[1] Poboljšanje je moguće vidjeti u roku od nekoliko sati, a liječenje se preporuča nastaviti kroz jedan do dva tjedna.[1][6] Ovi lijekovi nisu preporučeni u onih sa zdravstvenim problemima poputgastrointestinalnog krvarenja, zatajenja bubrega, ili zatajenja srca.[36] Dok je indometacin povijesno najčešće upotrebljavani nesteroidni antiupalni lijek, alternativa, poput ibuprofena, može biti preferirana radi manjih neželjenih učinaka uz jednaku učinkovitost.[18] U pacijenata s povećanim rizikom za gastrične nuspojave nesteroidnih antiupalnih lijekova, moguć je dodatak inhibitora protonske pumpe.[37]
Kolhicin
Kolhicin je alternativa za one koji ne toleriraju nesteroidne protuupalne lijekove.[1] Njegove nuspojave (posebno nadražaj probavnog sustava) i relativna toksičnost ograničavaju upotrebu ovog lijeka.[38] Nadražaj probavnog sustava ovisi o dozi, te je rizik moguće smanjiti upotrebom manjih, ali i dalje učinkovitih doza lijeka.[18] Moguća je interakcija kolhicina s drugim često prepisivanim lijekovima, poput atorvastatina i eritromicina.[38]
Steroidi
Glukokortikoidi su se pokazali jednako učinkovitima kao nesteroidni antiupalni lijekovi[39], te se mogu koristiti ako postoje kontraindikacije za nesteroidne antiupalne lijekove.[1] Oni dovode do poboljšanja i kod aplikacije putem injekcije u zglob. Infekcija zgloba mora biti isključena kao dijagnoza, jer steroidi pogoršavaju ovo stanje.[1]
Peglotikaza
Peglotikaza (Krystexxa) je lijek odobren za uporabu u liječenju githa u SAD-u od 2010. godine.[40] Ovaj se lijek koristi kao izbor kod 3% ljudi koji ne toleriraju druge lijekove.[40] Peglotikaza se primjenjuje intravenoznom infuzijom svaka dva tjedna,[40] i dokazano smanjuje razinu mokraćne kiseline u ovoj populaciji.[41]
Profilaksa
Više je lijekova korisno u prevenciji novih napadaja gihta, uključujući inhibitor ksantin oksidaze(alopurinol i febuksostat i dr.) te urikozurike (uključujući probenecid i sulfinpirazon). Njihova primjena obično ne počinje do tjedan ili dva poslije smirenja aktunog napadaja, zbog teoretskih mogućnosti pogoršanja akutnog napadaja,[1] te se često koriste u kombinaciji s nesteroidnim antiupalnim lijekovima ili kolhicinom kroz prvih tri do šest mjeseci.[6] Nisu preporučeni prije nego je osoba imala barem dva napadaja gihta,[1] osim u slučaju postojanja destruktivnih promjena na zglobovima, tofa, ili akutne uratne nefropatije,[5] jer se lijekovi nisu pokazali učinkovitima prije toga.[1] Mjere snižavanja razine mokraćne kiseline treba postpuno pojačavati sve dok serumska razina mokraćne kiseline ne padne ispod 300–360 µmol/l (5.0-6.0 mg/dl), i zatim se nastavljaju do unedogled.[1][6] Ukoliko su ovi lijekovi u kroničnoj upotrebi za vrijeme napadaja, preporuča se prekid uzimanja[2], a ukoliko nije moguće sniziti razinu mokraćne kiseline ispod 6.0 mg/dl te se ponavljano javljaju napadaji, to ukazuje na neučinkovitost liječenja ili refraktarni giht.[42] Ukupno gledajući, probenecid se čini manje učinkovitim nego alopurinol.[1]
Urikozurici su lijekovi preferirani u slučaju smanjenog izlučivanja mokraćne kiseline, definiranog razinom mokraćne kiseline manjom od 800 mg u 24-satnom uzorku urina.[43] Ipak, oni nisu preporučeni u slučaju povijesti bubrežnih kamenaca.[43] U slučaju 24-satne ekskrecije u urinu veće od 800 mg, što ukazuje na povećanu produkciju mokraćne kiseline, preferira se inhibitor ksantin oksidaze.[43]
Inhibitori ksantin oksidaze (uključujući alopurinol i febuksostat) sprječavaju stvaranje mokraćne kiseline, dugoročna je terapija sigurna i dobro podnošljiva, te se mogu koristiti u ljudi sa zatajenjem bubrega ili bubrežnim kamencima, iako alopurinol može uzrokovati preosjetljivost u malom broju ljudi.[1] U tom slučaju, preporuča se alternativni lijek, febuksostat.[44]
Prognoza
Neliječeni akutni napadaj gihta obično se smiruje za pet do sedam dana. Ipak, u 60% slučajeva napadaj se ponavlja unutar jedne godine.[3] Ljudi koji pate od gihta također imaju povišen rizik za razvoj hipertenzije, šećerne bolesti, metaboličkog sindroma, te bubrežnih i kardiovaskularnih bolesti, povećavajući i njihov rizik od smrti.[6][45] To je moguće djelomično zbog povezanosti gihta s rezistencijom na inzulin i pretilosti, ali dio povišenog rizika se čini neovisan.[45]
Ukoliko nisu liječene, epizode akutnog gihta mogu se razviti u kronični giht s uništenjem zglobnih površina, deformitetima zglobova, te bezbolnim tofima.[6] Ovakvi tofi javljaju se u 30% neliječenih kroz pet godina, najčešće na pužnici uške, iznad olekranona na laktu, ili nad Ahilovom tetivom.[6] Tofe je moguće ukloniti agresivnim liječenjem. Bubrežni kamenac također često komplicira giht, a zahvaća između 10 i 40% ljudi, te se javlja kao posljedica niskog pH mokraće što potiče nakupljanje mokraćne kiseline.[6] Mogući su i drugi oblici kronične bubrežne disfunkcije.[6]
-
Noduli na prstima i heliksu uške predstavljaju tofe.
-
Tofi na koljenu.
-
Tofi na nožnim prstima, te nad vanjskim maleolom.
-
Giht kompliciran puknućem tofa (pozitivan test eksudata na kristale mokraćne kiseline).
Epidemiologija
Giht zahvaća oko 1–2% zapadne populacije u nekom dijelu njihovog života, te postaje sve češći.[1][6] Broj dijagnoza gihta se otprilike udvostručio između 1990. i 2010. godine.[4] Vjeruje se da je ovaj rast učestalosti posljedica duljeg života, promjena u dijeti, te u većoj učestalosti bolesti povezanih s gihtom, poput metaboličkog sindroma te visokog krvnog tlaka.[10] Više je faktora dovedeno u vezu s gihtom, uključujući dob, rasu, te godišnja doba. U muškaraca starijih od 30 te žena starijih od 50 godina, učestalost je 2%.[36]
U Sjedinjenim Američkim Državama giht je dvostruko češći u afroameričkih muškaraca u odnosu na europske amerikance.[46] Velika učestalost gihta javlja se u Pacifičkom otočju te Māori narodu na Novom Zelandu, a vrlo rijetko se javlja među australijskim aboriđinima, bez obzira na visoku prosječnu koncentraiciju mokraćne kiseline u serumu ove posljednje skupine ljudi.[47] Giht je postao češći u Kini, Polineziji, te u urbanoj subsaharskoj Africi.[6] Neke su studije pokazale da se napadaji gihta češće javljaju u proljeće. Ovo se povezuje s promjenama u dijeti, konzumaciji alkohola, fizičkoj aktivnosti te temperaturi vezanoj uz godišnja doba.[48]
Povijest

Riječ “giht” (eng. Gout) prvi je put upotrijebio Randolphus iz Bockinga, oko 1200. godine. Dolazi od latinske riječi gutta, što znači "kap" (tekućine).[49] Prema Oxfordovom engleskom riječniku, riječ je derivacija od humorism odnosno "pojma 'kapanja' mekog materijala iz krvi unutar i oko zglobova".[50]
Giht je poznat još od antičkih vremena. U povijesti je bio poznat pod imenom "kralj bolesti i bolest kraljeva"[6][51] te "bolest bogatih ljudi".[52] Prva dokumentacija ove bolesti dolazi iz starog Egipta, 2600. godine pr. Kr. u opisu artritisa nožnog palca. Starogrčki liječnik Hipokrat oko 400. godine pr.Kr. opisao je giht u svojim Aforizmima, primjećujući da se ne javlja u eunuha i premenopauzalnih žena.[49][53] Aulus Kornelius Celsus (30. godina) opisao je povezanost gihta s alkoholom, kasniji početak bolesti u žena, te povezanost s bubrežnim bolestima:
U 1683. godini, Thomas Sydenham, engleski liječnik, opisao je češću pojavu gihta u ranim jutarnjim satima, te u starijih muškaraca:
Nizozemski znanstvenik Antoni van Leeuwenhoek prvi je opisao mikroskopski izgled kristala mokraćne kiseline 1679. godine.[49] Godine 1848., engleski liječnik Alfred Baring Garrod zaključio je da je višak mokraćne kiseline u krvi uzrok gihtu.[56]
U drugih životinja
Giht je vrlo rijedak u većine drugih životinja zbog njihove sposobnosti produkcije urikaze, enzima koji razgrađuje mokraćnu kiselinu.[57] Ljudi i drugi čovjekoliki majmuni nemaju ovu sposobnost, zbog čeka je u njih giht češći.[3][57] Pretpostavlja se da je vrsta Tyrannosaurus rex, poznata kao "Sue", međutim, patila od gihta.[58]
Istraživanja
Trenutno se istražuje značajan broj novih lijekova za liječenje gihta, uključujući anakinru, canakinumab, i rilonacept.[59] rekombinirana urikaza (rasburikaza) je već dostupna u prodaji, ali je njena upotreba, međutim, ograničena jer izaziva autoimuni odgovor. Manje antigene inačice su trenutno u razvoju.[3]
Literatura
- ↑ 1,00 1,01 1,02 1,03 1,04 1,05 1,06 1,07 1,08 1,09 1,10 1,11 1,12 1,13 1,14 1,15 1,16 1,17 1,18 • Nepoznat parametar:
month
• Nepoznat parametar:issue
• Parametarpmidnije dopušten u klasijournal
• Parametartypenije dopušten u klasijournal - ↑ 2,00 2,01 2,02 2,03 2,04 2,05 2,06 2,07 2,08 2,09 2,10 2,11 2,12 • Nepoznat parametar:
month
• Nepoznat parametar:issue
• Parametarpmidnije dopušten u klasijournal
• Parametartypenije dopušten u klasijournal - ↑ 3,0 3,1 3,2 3,3 3,4 3,5 3,6 3,7 3,8 • Nepoznat parametar:
month
• Nepoznat parametar:issue
• Parametarpmidnije dopušten u klasijournal
• Parametartypenije dopušten u klasijournal - ↑ 4,0 4,1 4,2 4,3 4,4 4,5 4,6 • Nepoznat parametar:
month
• Nepoznat parametar:issue
• Parametarpmidnije dopušten u klasijournal
• Parametartypenije dopušten u klasijournal - ↑ 5,0 5,1 • Nepoznat parametar:
month
• Nepoznat parametar:pmc
• Nepoznat parametar:issue
• Parametarpmidnije dopušten u klasijournal
• Parametartypenije dopušten u klasijournal - ↑ 6,00 6,01 6,02 6,03 6,04 6,05 6,06 6,07 6,08 6,09 6,10 6,11 6,12 6,13 6,14 6,15 6,16 6,17 6,18 6,19 6,20 6,21 6,22 6,23 6,24 6,25 6,26 • Nepoznat parametar:
month
• Nepoznat parametar:issue
• Parametarpmidnije dopušten u klasijournal
• Parametartypenije dopušten u klasijournal - ↑ • Nepoznat parametar:
month
• Nepoznat parametar:issue
• Parametarpmidnije dopušten u klasijournal
• Parametartypenije dopušten u klasijournal - ↑ • Parametar
pmidnije dopušten u klasijournal
• Parametartypenije dopušten u klasijournal
• Parametardatenije dopušten u klasijournal - ↑ • Nepoznat parametar:
month
• Nepoznat parametar:issue
• Parametarpmidnije dopušten u klasijournal
• Parametartypenije dopušten u klasijournal - ↑ 10,0 10,1 10,2 • Nepoznat parametar:
month
• Parametarpmidnije dopušten u klasijournal
• Parametartypenije dopušten u klasijournal - ↑ • Nepoznat parametar:
month
• Nepoznat parametar:issue
• Parametarpmidnije dopušten u klasijournal
• Parametartypenije dopušten u klasijournal - ↑ • Nepoznat parametar:
month
• Nepoznat parametar:issue
• Parametarpmidnije dopušten u klasijournal
• Parametartypenije dopušten u klasijournal - ↑ 13,0 13,1 • Nepoznat parametar:
month
• Nepoznat parametar:issue
• Parametarpmidnije dopušten u klasijournal
• Parametartypenije dopušten u klasijournal - ↑ • Nepoznat parametar:
coauthors
• Nepoznat parametar:issue
• Parametarpmidnije dopušten u klasijournal
• Parametartypenije dopušten u klasijournal
• Parametardatenije dopušten u klasijournal - ↑ 15,0 15,1 • Nepoznat parametar:
month
• Parametarpmidnije dopušten u klasijournal
• Parametartypenije dopušten u klasijournal - ↑ • Nepoznat parametar:
issue
• Parametarpmidnije dopušten u klasijournal
• Parametartypenije dopušten u klasijournal - ↑ • Nepoznat parametar:
month
• Nepoznat parametar:jstor
• Nepoznat parametar:pmc
• Nepoznat parametar:issue
• Parametarpmidnije dopušten u klasijournal
• Parametartypenije dopušten u klasijournal
• Parametarpublishernije dopušten u klasijournal - ↑ 18,0 18,1 18,2 18,3 • Nepoznat parametar:
month
• Nepoznat parametar:pmc
• Nepoznat parametar:issue
• Parametarpmidnije dopušten u klasijournal
• Parametartypenije dopušten u klasijournal - ↑
• Nepoznat parametar:
editor1-last
• Nepoznat parametar:editor3-given
• Nepoznat parametar:editor3-first
• Nepoznat parametar:editor-first
• Nepoznat parametar:editor1-first
• Nepoznat parametar:editor4-first
• Nepoznat parametar:editor3-last
• Nepoznat parametar:editor6-last
• Nepoznat parametar:editor5-last
• Nepoznat parametar:editor2-first
• Nepoznat parametar:editor2-last
• Nepoznat parametar:editor4-last
• Parametarchapternije dopušten u klasibook - ↑ • Nepoznat parametar:
trans_title
• Nepoznat parametar:month
• Nepoznat parametar:issue
• Parametarpmidnije dopušten u klasijournal
• Parametartypenije dopušten u klasijournal - ↑ • Nepoznat parametar:
month
• Nepoznat parametar:issue
• Parametarpmidnije dopušten u klasijournal
• Parametartypenije dopušten u klasijournal - ↑ • Nepoznat parametar:
issue
• Parametarpmidnije dopušten u klasijournal
• Parametartypenije dopušten u klasijournal - ↑ • Nepoznat parametar:
pmc
• Parametarpmidnije dopušten u klasijournal
• Parametartypenije dopušten u klasijournal - ↑ • Nepoznat parametar:
month
• Nepoznat parametar:issue
• Parametarpmidnije dopušten u klasijournal
• Parametartypenije dopušten u klasijournal - ↑ • Nepoznat parametar:
pmc
• Nepoznat parametar:issue
• Parametarpmidnije dopušten u klasijournal
• Parametartypenije dopušten u klasijournal
• Parametarurlnije dopušten u klasijournal - ↑ • Nepoznat parametar:
month
• Nepoznat parametar:issue
• Parametarpmidnije dopušten u klasijournal
• Parametartypenije dopušten u klasijournal - ↑ Gout: Differential Diagnoses & Workup - eMedicine Rheumatology.
- ↑ Gout and Pseudogout: Differential Diagnoses & Workup - eMedicine Emergency Medicine.
- ↑ • Nepoznat parametar:
issue
• Parametarpmidnije dopušten u klasijournal
• Parametartypenije dopušten u klasijournal - ↑ • Nepoznat parametar:
month
• Nepoznat parametar:pmc
• Nepoznat parametar:issue
• Parametarpmidnije dopušten u klasijournal
• Parametartypenije dopušten u klasijournal - ↑ • Nepoznat parametar:
month
• Nepoznat parametar:pmc
• Nepoznat parametar:issue
• Parametarpmidnije dopušten u klasijournal
• Parametartypenije dopušten u klasijournal - ↑ • Nepoznat parametar:
month
• Nepoznat parametar:issue
• Parametarpmidnije dopušten u klasijournal
• Parametartypenije dopušten u klasijournal - ↑ • Nepoznat parametar:
month
• Nepoznat parametar:issue
• Parametarpmidnije dopušten u klasijournal
• Parametartypenije dopušten u klasijournal
• Parametarpagenije dopušten u klasijournal - ↑ 34,0 34,1 • Nepoznat parametar:
month
• Nepoznat parametar:pmc
• Nepoznat parametar:issue
• Parametarpmidnije dopušten u klasijournal
• Parametartypenije dopušten u klasijournal - ↑ • Nepoznat parametar:
issue
• Parametarpmidnije dopušten u klasijournal
• Parametartypenije dopušten u klasijournal - ↑ 36,0 36,1 • Nepoznat parametar:
month
• Nepoznat parametar:issue
• Parametarpmidnije dopušten u klasijournal
• Parametartypenije dopušten u klasijournal - ↑ • Nepoznat parametar:
archiveurl
• Nepoznat parametar:archivedate
• Parametaraccessdatenije dopušten u klasiweb - ↑ 38,0 38,1 Information for Healthcare Professionals: New Safety Information for Colchicine (marketed as Colcrys). U.S. Food and Drug Administration 0.
- ↑ • Nepoznat parametar:
issue
• Parametarpmidnije dopušten u klasijournal
• Parametartypenije dopušten u klasijournal - ↑ 40,0 40,1 40,2 FDA approves new drug for gout. FDA 0.
- ↑ • Nepoznat parametar:
coauthors
• Nepoznat parametar:issue
• Parametarpmidnije dopušten u klasijournal
• Parametartypenije dopušten u klasijournal
• Parametardatenije dopušten u klasijournal - ↑ • Nepoznat parametar:
coauthors
• Nepoznat parametar:issue
• Parametarpmidnije dopušten u klasijournal
• Parametartypenije dopušten u klasijournal
• Parametardatenije dopušten u klasijournal - ↑ 43,0 43,1 43,2 Elizabeth D Agabegi; Agabegi, Steven S. (2008.) Step-Up to Medicine (Step-Up Series). http://books.google.ca/books?id=y13wgJyQwkEC&pg=PA251.
- ↑ • Parametar
accessdatenije dopušten u klasiweb - ↑ 45,0 45,1 • Nepoznat parametar:
issue
• Parametarpmidnije dopušten u klasijournal
• Parametartypenije dopušten u klasijournal - ↑ • Nepoznat parametar:
archivedate
• Nepoznat parametar:archiveurl
• Parametaraccessdatenije dopušten u klasiweb - ↑ • Nepoznat parametar:
month
• Nepoznat parametar:pmc
• Nepoznat parametar:issue
• Parametarpmidnije dopušten u klasijournal
• Parametartypenije dopušten u klasijournal
• Parametarurlnije dopušten u klasijournal - ↑ • Nepoznat parametar:
month
• Nepoznat parametar:issue
• Parametarpmidnije dopušten u klasijournal
• Parametartypenije dopušten u klasijournal - ↑ 49,0 49,1 49,2 49,3 • Nepoznat parametar:
issue
• Nepoznat parametar:coauthors
• Nepoznat parametar:archiveurl
• Nepoznat parametar:archivedate
• Parametarpmidnije dopušten u klasijournal
• Parametartypenije dopušten u klasijournal
• Parametarurlnije dopušten u klasijournal
• Parametaraccessdatenije dopušten u klasijournal - ↑ • Parametar
accessdatenije dopušten u klasiweb - ↑ Kubitz possibly has gout.The Disease Of Kings - Forbes.com. Forbes 0.
- ↑ Rich Man's Disease - definition of Rich Man's Disease in the Medical dictionary - by the Free Online Medical Dictionary, Thesaurus and Encyclopedia.
- ↑ • Parametar
accessdatenije dopušten u klasiweb - ↑ LacusCurtius • Celsus — On Medicine — Book IV.
- ↑ • Parametar
accessdatenije dopušten u klasiweb - ↑ • Nepoznat parametar:
month
• Nepoznat parametar:issue
• Parametarpmidnije dopušten u klasijournal
• Parametartypenije dopušten u klasijournal
• Parametarurlnije dopušten u klasijournal - ↑ 57,0 57,1 • Nepoznat parametar:
month
• Nepoznat parametar:issue
• Parametarpmidnije dopušten u klasijournal
• Parametartypenije dopušten u klasijournal - ↑ • Nepoznat parametar:
issue
• Nepoznat parametar:coauthors
• Parametarpmidnije dopušten u klasijournal
• Parametartypenije dopušten u klasijournal
• Parametarpagenije dopušten u klasijournal
• Parametarurlnije dopušten u klasijournal - ↑ • Nepoznat parametar:
archivedate
• Nepoznat parametar:archiveurl